SPRYD4 Antibody - BSA Free
Novus Biologicals, part of Bio-Techne | Catalog # NBP2-30992
Key Product Details
Species Reactivity
Human
Applications
Immunohistochemistry, Immunohistochemistry-Paraffin, Western Blot, Immunocytochemistry/ Immunofluorescence
Label
Unconjugated
Antibody Source
Polyclonal Rabbit IgG
Format
BSA Free
Concentration
Concentrations vary lot to lot. See vial label for concentration. If unlisted please contact technical services.
Product Specifications
Immunogen
This antibody was developed against a recombinant protein corresponding to amino acids: FARSLRLCRWGAKRLGVASTEAQRGVSFKLEEKTAHSSLALFRDDTGVKYGLVGLEPTKVALNVERFREWAVVLADTAVTSGRHY
Reactivity Notes
Immunogen displays the following percentage of sequence identity for non-tested species: Mouse (81%), Rat (81%)
Clonality
Polyclonal
Host
Rabbit
Isotype
IgG
Description
Novus Biologicals Rabbit SPRYD4 Antibody - BSA Free (NBP2-30992) is a polyclonal antibody validated for use in IHC, WB and ICC/IF. All Novus Biologicals antibodies are covered by our 100% guarantee.
Scientific Data Images for SPRYD4 Antibody - BSA Free
Western Blot: SPRYD4 Antibody [NBP2-30992]
Western Blot: SPRYD4 Antibody [NBP2-30992] - Lane 1: Marker [kDa] 250, 130, 95, 72, 55, 36, 28, 17, 10. Lane 2: Human cell line RT-4. Lane 3: Human cell line U-251MG sp. Lane 4: Human plasma (IgG/HSA depleted). Lane 5: Human liver tissueImmunocytochemistry/ Immunofluorescence: SPRYD4 Antibody [NBP2-30992]
Immunocytochemistry/Immunofluorescence: SPRYD4 Antibody [NBP2-30992] - Immunofluorescent staining of human cell line MCF7 shows localization to nucleoplasm.Immunohistochemistry: SPRYD4 Antibody [NBP2-30992]
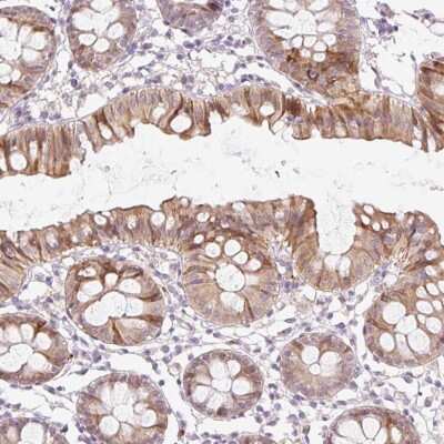
Immunohistochemistry: SPRYD4 Antibody [NBP2-30992] - Staining of human colon shows moderate cytoplasmic positivity in glandular cells.Applications for SPRYD4 Antibody - BSA Free
Application
Recommended Usage
Immunocytochemistry/ Immunofluorescence
0.25-2 ug/ml
Immunohistochemistry
1:50 - 1:200
Immunohistochemistry-Paraffin
1:50 - 1:200
Western Blot
0.04-0.4 ug/ml
Application Notes
For IHC-Paraffin, HIER pH 6 retrieval is recommended. ICC/IF, Fixation Permeabilization: Use PFA/Triton X-100.
Formulation, Preparation, and Storage
Purification
Affinity purified
Formulation
PBS (pH 7.2) and 40% Glycerol
Format
BSA Free
Preservative
0.02% Sodium Azide
Concentration
Concentrations vary lot to lot. See vial label for concentration. If unlisted please contact technical services.
Shipping
The product is shipped with polar packs. Upon receipt, store it immediately at the temperature recommended below.
Stability & Storage
Store at 4C short term. Aliquot and store at -20C long term. Avoid freeze-thaw cycles.
Background: SPRYD4
Alternate Names
DKFZp686N0877, SPRY domain containing 4, SPRY domain-containing protein 4
Gene Symbol
SPRYD4
UniProt
Additional SPRYD4 Products
Product Documents for SPRYD4 Antibody - BSA Free
Product Specific Notices for SPRYD4 Antibody - BSA Free
This product is for research use only and is not approved for use in humans or in clinical diagnosis. Primary Antibodies are guaranteed for 1 year from date of receipt.
Loading...
Loading...
Loading...
Loading...