Skip to main content

SPRY4 Antibody - BSA Free

Novus Biologicals, part of Bio-Techne | Catalog # NB100-2032

Novus Biologicals, part of Bio-Techne
Catalog #
Availability
Size / Price
Qty
Loading...
NB100-2032

Key Product Details

Species Reactivity

Human, Mouse

Applications

Immunohistochemistry, Immunohistochemistry-Paraffin, Western Blot, ELISA, Immunocytochemistry/ Immunofluorescence

Label

Unconjugated

Antibody Source

Polyclonal Rabbit IgG

Format

BSA Free

Concentration

Please see the vial label for concentration. If unlisted please contact technical services.

Product Specifications

Immunogen

This affinity purified SPRY4 Antibody was prepared from whole rabbit serum produced by repeated immunizations with a synthetic peptide corresponding to a C-Terminal region near amino acids 275-299 of Human SPRY4 protein. (Uniprot: Q9C004)

Reactivity Notes

A BLAST analysis was used to suggest reactivity with this protein from human and chimpanzee based on 100% homology for the immunogen sequence. Cross reactivity is expected with SPRY4.

Localization

Cytoplasmic

Clonality

Polyclonal

Host

Rabbit

Isotype

IgG

Description

This affinity purified antibody is directed against human SPRY4 protein. The product was affinity purified from monospecific antiserum by immunoaffinity purification

Store vial at -20C prior to opening. Aliquot contents and freeze at -20C or below for extended storage. Avoid cycles of freezing and thawing. Centrifuge product if not completely clear after standing at room temperature. This product is stable for several weeks at 4C as an undiluted liquid. Dilute only prior to immediate use.

Scientific Data Images for SPRY4 Antibody - BSA Free

Western Blot: SPRY4 Antibody [NB100-2032]

Western Blot: SPRY4 Antibody [NB100-2032]

Western Blot: SPRY4 Antibody [NB100-2032] - Lane 1: HeLa. Lane 2: SW13. Lane 3: C2C12. Load: 30 ug per lane. Primary antibody: Sprouty 4 antibody at 1:100 for overnight at 4C. Secondary antibody: IRDye800 rabbit secondary antibody at 1:5,000 for 45 min at RT. Block: 5% BLOTTO overnight at 4C. Predicted/Observed size: a doublet band 35 kDa corresponding to human Sprouty-4. Other band(s): none.
Immunohistochemistry-Paraffin: SPRY4 Antibody [NB100-2032]

Immunohistochemistry-Paraffin: SPRY4 Antibody [NB100-2032]

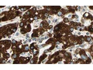
Immunohistochemistry-Paraffin: SPRY4 Antibody [NB100-2032] - Tissue: human liver tissue. Fixation: formalin fixed paraffin embedded. Antigen retrieval: not required. Primary antibody: Sprouty-4 antibody at 2.5ug/mL for 1 h at RT. Secondary antibody: Peroxidase rabbit secondary antibody at 1:10,000 for 45 min at RT. Localization: Sprouty-4 is cytoplasmic. Staining: Sprouty-4 as precipitated brown with blue nuclear counterstain.
Immunohistochemistry-Paraffin: SPRY4 Antibody [NB100-2032]

Immunohistochemistry-Paraffin: SPRY4 Antibody [NB100-2032]

Immunohistochemistry-Paraffin: SPRY4 Antibody [NB100-2032] - Tissue: human heart tissue. Fixation: formalin fixed paraffin embedded. Antigen retrieval: not required. Primary antibody: Sprouty-4 antibody at 2.5ug/mL for 1 h at RT. Secondary antibody: Peroxidase rabbit secondary antibody at 1:10,000 for 45 min at RT. Localization: Sprouty-4 is cytoplasmic. Staining: Sprouty-4 as precipitated red signal with hematoxylin purple nuclear counterstain.

Applications for SPRY4 Antibody - BSA Free

Application
Recommended Usage

ELISA

1:3000-1:12000

Immunocytochemistry/ Immunofluorescence

0.25-2 ug/ml

Immunohistochemistry

1 ug/ml-10 ug/ml

Immunohistochemistry-Paraffin

2.5mg/ml

Western Blot

1:100-1:1000
Application Notes
This affinity purified antibody has been tested for use in ELISA, immunohistochemistry and western blot. Specific conditions for reactivity should be optimized by the end user. Expect a band (maybe a doublet) ~35 kDa in size corresponding to Sprouty-4 by western blotting in the appropriate cell lysate or extract. Some non-specific banding may be observed using this antibody.

Formulation, Preparation, and Storage

Purification

Immunogen affinity purified

Formulation

0.02 M Potassium Phosphate, 0.15 M Sodium Chloride, pH 7.2

Format

BSA Free

Preservative

0.01% Sodium Azide

Concentration

Please see the vial label for concentration. If unlisted please contact technical services.

Shipping

The product is shipped with polar packs. Upon receipt, store it immediately at the temperature recommended below.

Stability & Storage

Store at -20C short term. Aliquot and store at -80C long term. Avoid freeze-thaw cycles.

Background: SPRY4

Sprouty-4 (also known as SPRY4) is an inhibitor of the insulin receptor and EGFR-transduced mitogen-activated protein kinase (MAPK) signaling pathway downstream of FGF and EGF receptor tyrosine kinase activation. It is positioned upstream of RAS activation and impairs the formation of active GTP-RAS. SPRY4 is widely expressed, with different isoforms. The protein consists of 322 amino acids, with a cysteine-rich region, Src homology 3 binding regions, proline-rich regions, and a PEST sequence. It is expressed predominantly in the cytoplasm. Northern results show bands across most tissues, with strongest expression in heart, brain, placenta, lung, and intestine.

Long Name

Sprouty Homolog 4

Alternate Names

protein sprouty homolog 4, sprouty homolog 4 (Drosophila), Spry-4

Entrez Gene IDs

24066 (Mouse)

Gene Symbol

SPRY4

UniProt

Additional SPRY4 Products

Product Documents for SPRY4 Antibody - BSA Free

Certificate of Analysis

To download a Certificate of Analysis, please enter a lot number in the search box below.

Product Specific Notices for SPRY4 Antibody - BSA Free

This product is for research use only and is not approved for use in humans or in clinical diagnosis. Primary Antibodies are guaranteed for 1 year from date of receipt.

Loading...
Loading...
Loading...
Loading...