Skip to main content

SPRY2 Antibody - BSA Free

Novus Biologicals, part of Bio-Techne | Catalog # NBP2-13158

Novus Biologicals, part of Bio-Techne
Catalog #
Availability
Size / Price
Qty
Loading...
NBP2-13158

Key Product Details

Species Reactivity

Human

Applications

Immunohistochemistry, Immunohistochemistry-Paraffin, Western Blot, ELISA, Immunocytochemistry/ Immunofluorescence

Label

Unconjugated

Antibody Source

Polyclonal Rabbit IgG

Format

BSA Free

Concentration

Please see the vial label for concentration. If unlisted please contact technical services.

Product Specifications

Immunogen

SPRY2 Antibody was purified from monospecific rabbit antiserum prepared via repeated immunizations with peptide corresponding to an internal region of human sprouty-2. (Uniprot: O43597)

Reactivity Notes

A BLAST analysis was used to suggest reactivity with SPRY2 from human, monkey, and orangutan based on a 100% homology with the immunizing sequence. Cross-reactivity with Sprouty2 from other sources has not been determined.

Clonality

Polyclonal

Host

Rabbit

Isotype

IgG

Description

This antibody was affinity purified from monospecific antiserum by immunoaffinity chromatography

Store vial at -20C prior to opening. Aliquot contents and freeze at -20C or below for extended storage. Avoid cycles of freezing and thawing. Centrifuge product if not completely clear after standing at room temperature. This product is stable for several weeks at 4C as an undiluted liquid. Dilute only prior to immediate use.

Scientific Data Images for SPRY2 Antibody - BSA Free

Immunohistochemistry: SPRY2 Antibody [NBP2-13158]

Immunohistochemistry: SPRY2 Antibody [NBP2-13158]

Immunohistochemistry: SPRY2 Antibody [NBP2-13158] - Tissue: liver. Fixation: formalin fixed paraffin embedded. Primary antibody: Anti-sprouty 2 at 10 ug/mL for 1 h at RT. Secondary antibody: Peroxidase rabbit secondary antibody at 1:10,000 for 45 min at RT. Staining: Sprouty-2 as precipitated red signal with hematoxylin purple nuclear counterstain.
Immunohistochemistry-Paraffin: SPRY2 Antibody [NBP2-13158]

Immunohistochemistry-Paraffin: SPRY2 Antibody [NBP2-13158]

Immunohistochemistry-Paraffin: SPRY2 Antibody [NBP2-13158] - Immunohistochemistry-Paraffin: Sprouty 2 - Tissue: human kidney clear cell tumor. Fixation: formalin fixed, paraffin embedded. Antigen retrieval: yes. Primary antibody: Sprouty2 antibody at 1:250. Secondary antibody: alexafluor 488 secondary at 1:500 overnight at 4C. Localization: nucleus and cytoplasm. Staining: green = sprouty2, Blue = dapi, red= vhl.
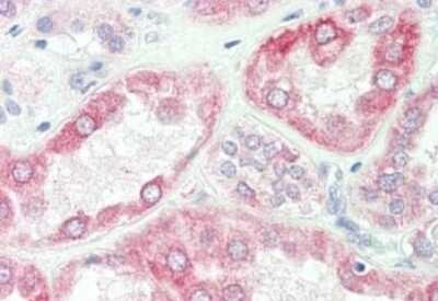
Immunohistochemistry: SPRY2 Antibody [NBP2-13158]

Immunohistochemistry: SPRY2 Antibody [NBP2-13158]

Immunohistochemistry: SPRY2 Antibody [NBP2-13158] - Tissue: kidney. Fixation: formalin fixed paraffin embedded. Primary antibody: Anti-sprouty 2 at 10 ug/mL for 1 h at RT. Secondary antibody: Peroxidase rabbit secondary antibody at 1:10,000 for 45 min at RT. Staining: Sprouty-2 as precipitated red signal with hematoxylin purple nuclear counterstain.

Applications for SPRY2 Antibody - BSA Free

Application
Recommended Usage

ELISA

1:100-1:2000

Immunocytochemistry/ Immunofluorescence

1:10-1:500

Immunohistochemistry

10 ug/ml

Immunohistochemistry-Paraffin

10 ug/ml

Western Blot

1:500-1:5000
Application Notes
This product has been tested by ELISA, Immunofluorescence, Immunohistochemistry, and is suitable for western blotting. Specific conditions for reactivity should be optimized by the end user.

Formulation, Preparation, and Storage

Purification

Immunogen affinity purified

Formulation

0.02 M Potassium Phosphate, 0.15 M Sodium Chloride, pH 7.2

Format

BSA Free

Preservative

0.01% Sodium Azide

Concentration

Please see the vial label for concentration. If unlisted please contact technical services.

Shipping

The product is shipped with polar packs. Upon receipt, store it immediately at the temperature recommended below.

Stability & Storage

Store at -20C short term. Aliquot and store at -80C long term. Avoid freeze-thaw cycles.

Background: SPRY2

prouty was originally identified as an inhibitor of Drosophila epidermal growth factor (EGF) and fibroblast growth factor (FGF) receptor signaling during tracheal development. Four isoforms of mammalian sprouty are known (Spry1-Spry4). The role of the mammalian analogs has not been clearly elucidated although it is believed that human Sprouty-2 (hSpry2) may be an inhibitor of cellular migration and proliferation. Spry2 and Spry4 show considerable sequence homology between human and mouse at the C-terminus of the protein. Significant sequence divergence occurs at the N-terminus. Spry2 appears to be abundant in brain, lung and heart tissue, with lesser amounts found in kidney and skeletal muscle.

Long Name

Sprouty Homolog 2

Alternate Names

sprouty 2

Gene Symbol

SPRY2

UniProt

Additional SPRY2 Products

Product Documents for SPRY2 Antibody - BSA Free

Certificate of Analysis

To download a Certificate of Analysis, please enter a lot number in the search box below.

Product Specific Notices for SPRY2 Antibody - BSA Free

This product is for research use only and is not approved for use in humans or in clinical diagnosis. Primary Antibodies are guaranteed for 1 year from date of receipt.

Loading...
Loading...
Loading...
Loading...