Skip to main content

SPR Antibody - BSA Free

Novus Biologicals, part of Bio-Techne | Catalog # NBP3-16662

Novus Biologicals, part of Bio-Techne
Catalog #
Availability
Size / Price
Qty
Loading...
NBP3-16662-100ul
NBP3-16662-20ul

Key Product Details

Species Reactivity

Human, Mouse, Rat

Applications

Western Blot, ELISA

Label

Unconjugated

Antibody Source

Polyclonal Rabbit IgG

Format

BSA Free

Concentration

Please see the vial label for concentration. If unlisted please contact technical services.

Product Specifications

Immunogen

A synthetic peptide corresponding to a sequence within amino acids 200-261 of human SPR (P35270). PLDTDMQQLARETSVDPDMRKGLQELKAKGKLVDCKVSAQKLLSLLEKDEFKSGAHVDFYDK

Clonality

Polyclonal

Host

Rabbit

Isotype

IgG

Theoretical MW

28 kDa.
Disclaimer note: The observed molecular weight of the protein may vary from the listed predicted molecular weight due to post translational modifications, post translation cleavages, relative charges, and other experimental factors.

Description

Novus Biologicals Rabbit SPR Antibody - BSA Free (NBP3-16662) is a polyclonal antibody validated for use in WB and ELISA. All Novus Biologicals antibodies are covered by our 100% guarantee.

Scientific Data Images for SPR Antibody - BSA Free

SPR Antibody - BSA Free

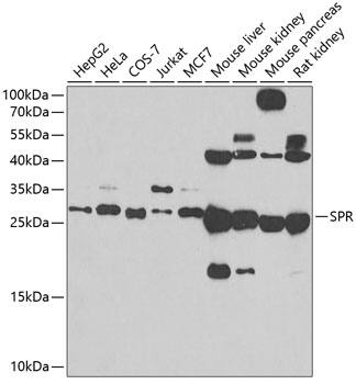
Western Blot: SPR Antibody [NBP3-16662] -

Western Blot: SPR Antibody [NBP3-16662] - Analysis of various lysates using SPR Rabbit pAb (A11694) at 1:1000 dilution.Secondary antibody: HRP Goat Anti-Rabbit IgG (H+L) at 1:10000 dilution.Lysates/proteins: 25ug per lane.Blocking buffer: 3% nonfat dry milk in TBST.Detection: ECL Basic Kit. Exposure time: 3s.
SPR Antibody - BSA Free

Western Blot: SPR Antibody - BSA Free [NBP3-16662] -

Western Blot: SPR Antibody - BSA Free [NBP3-16662] - Western blot analysis of various lysates using SPR Rabbit pAb at 1:500 dilution.
Secondary antibody: HRP Goat Anti-Rabbit IgG (H+L) at 1:10000 dilution.
Lysates/proteins: 25ug per lane.
Blocking buffer: 3% nonfat dry milk in TBST.
Detection: ECL Basic Kit.
Exposure time: 90s.

Applications for SPR Antibody - BSA Free

Application
Recommended Usage

Western Blot

1:500 - 1:2000

Formulation, Preparation, and Storage

Purification

Affinity purified

Formulation

PBS (pH 7.3), 50% glycerol

Format

BSA Free

Preservative

0.02% Sodium Azide

Concentration

Please see the vial label for concentration. If unlisted please contact technical services.

Shipping

The product is shipped with polar packs. Upon receipt, store it immediately at the temperature recommended below.

Stability & Storage

Store at -20C. Avoid freeze-thaw cycles.

Background: SPR

SPR encodes an aldo-keto reductase that catalyzes the NADPH-dependent reduction of pteridine derivatives and is important in the biosynthesis of tetrahydrobiopterin (BH4). Mutations in this gene result in DOPA-responsive dystonia due to sepiaterin reductase deficiency. A pseudogene has been identified on chromosome 1.

Long Name

Sepiapterin Reductase

Alternate Names

EC 1.1.1.153, Gm10328, SDR38C1

Gene Symbol

SPR

Additional SPR Products

Product Documents for SPR Antibody - BSA Free

Certificate of Analysis

To download a Certificate of Analysis, please enter a lot number in the search box below.

Product Specific Notices for SPR Antibody - BSA Free

This product is for research use only and is not approved for use in humans or in clinical diagnosis. Primary Antibodies are guaranteed for 1 year from date of receipt.

Loading...
Loading...
Loading...
Loading...