Skip to main content

SPOCD1 Antibody - BSA Free

Novus Biologicals, part of Bio-Techne | Catalog # NBP2-38187

Novus Biologicals, part of Bio-Techne
Catalog #
Availability
Size / Price
Qty
Loading...
NBP2-38187
NBP2-38187-25ul

Key Product Details

Validated by

Orthogonal Validation

Species Reactivity

Human

Applications

Immunohistochemistry, Immunohistochemistry-Paraffin

Label

Unconjugated

Antibody Source

Polyclonal Rabbit IgG

Format

BSA Free

Concentration

Concentrations vary lot to lot. See vial label for concentration. If unlisted please contact technical services.

Product Specifications

Immunogen

This antibody was developed against a recombinant protein corresponding to amino acids: RGRLEQGLAAPADTCASSREPLGGLSSSLDTEASRACSGPFMEQRRSKGTKNLKKGPVPCAQDRGTDRSSDNSHQDRPEEPSPGGCPRLEEVKIPHGVKLVCYLG

Clonality

Polyclonal

Host

Rabbit

Isotype

IgG

Description

Novus Biologicals Rabbit SPOCD1 Antibody - BSA Free (NBP2-38187) is a polyclonal antibody validated for use in IHC. All Novus Biologicals antibodies are covered by our 100% guarantee.

Scientific Data Images for SPOCD1 Antibody - BSA Free

Immunohistochemistry-Paraffin: SPOCD1 Antibody [NBP2-38187]

Immunohistochemistry-Paraffin: SPOCD1 Antibody [NBP2-38187]

Immunohistochemistry-Paraffin: SPOCD1 Antibody [NBP2-38187] - Staining of human testis shows high expression.
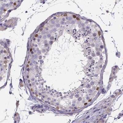
Immunohistochemistry: SPOCD1 Antibody [NBP2-38187]

Immunohistochemistry: SPOCD1 Antibody [NBP2-38187]

Immunohistochemistry: SPOCD1 Antibody [NBP2-38187] - Staining of human testis shows strong nuclear positivity in a subset of cells in seminiferous ducts.
Immunohistochemistry-Paraffin: SPOCD1 Antibody [NBP2-38187]

Immunohistochemistry-Paraffin: SPOCD1 Antibody [NBP2-38187]

Immunohistochemistry-Paraffin: SPOCD1 Antibody [NBP2-38187] - Staining of human endometrium shows low expression as expected.

Applications for SPOCD1 Antibody - BSA Free

Application
Recommended Usage

Immunohistochemistry

1:200 - 1:500

Immunohistochemistry-Paraffin

1:200 - 1:500
Application Notes
For IHC-Paraffin, HIER pH 6 retrieval is recommended.

Formulation, Preparation, and Storage

Purification

Affinity purified

Formulation

PBS (pH 7.2) and 40% Glycerol

Format

BSA Free

Preservative

0.02% Sodium Azide

Concentration

Concentrations vary lot to lot. See vial label for concentration. If unlisted please contact technical services.

Shipping

The product is shipped with polar packs. Upon receipt, store it immediately at the temperature recommended below.

Stability & Storage

Store at 4C short term. Aliquot and store at -20C long term. Avoid freeze-thaw cycles.

Background: SPOCD1

Alternate Names

FLJ39908, SPOC domain containing 1

Gene Symbol

SPOCD1

UniProt

Additional SPOCD1 Products

Product Documents for SPOCD1 Antibody - BSA Free

Certificate of Analysis

To download a Certificate of Analysis, please enter a lot number in the search box below.

Product Specific Notices for SPOCD1 Antibody - BSA Free

This product is for research use only and is not approved for use in humans or in clinical diagnosis. Primary Antibodies are guaranteed for 1 year from date of receipt.

Loading...
Loading...
Loading...
Loading...