Skip to main content

SPNS1 Antibody - BSA Free

Novus Biologicals, part of Bio-Techne | Catalog # NBP2-41252

Novus Biologicals, part of Bio-Techne

Key Product Details

Species Reactivity

Human

Applications

Immunohistochemistry, Immunohistochemistry-Paraffin, Western Blot, ELISA, Immunocytochemistry/ Immunofluorescence

Label

Unconjugated

Antibody Source

Polyclonal Rabbit IgG

Format

BSA Free

Concentration

1 mg/ml

Product Specifications

Immunogen

Antibody was raised against an 18 amino acid peptide near the amino terminus of human SPINSTER. The immunogen is located within the first 50 amino acids of SPINSTER. Amino Acid Squence: STGNPKSEEPEVPDQEGL

Reactivity Notes

Immunogen displays the following percentage of sequence identity for non-tested species: Bovine (83%), Rat (81%), Mouse (81%)

Specificity

SPINSTER antibody is human specific. At least four isoforms of SPINSTER are known to exist. This antibody is predicted to not cross-react with other members of the spinster family of proteins.

Clonality

Polyclonal

Host

Rabbit

Isotype

IgG

Theoretical MW

56 kDa.
Disclaimer note: The observed molecular weight of the protein may vary from the listed predicted molecular weight due to post translational modifications, post translation cleavages, relative charges, and other experimental factors.

Description

Novus Biologicals Rabbit SPNS1 Antibody - BSA Free (NBP2-41252) is a polyclonal antibody validated for use in IHC, WB, ELISA and ICC/IF. All Novus Biologicals antibodies are covered by our 100% guarantee.

Scientific Data Images for SPNS1 Antibody - BSA Free

Western Blot: SPNS1 AntibodyBSA Free [NBP2-41252]

Western Blot: SPNS1 AntibodyBSA Free [NBP2-41252]

Western Blot: SPNS1 Antibody [NBP2-41252] - Analysis of SPINSTER in HepG2 cell lysate with SPINSTER antibody at (A) 1 and (B) 2 ug/ml.
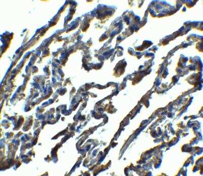
Immunohistochemistry-Paraffin: SPNS1 Antibody - BSA Free [NBP2-41252]

Immunohistochemistry-Paraffin: SPNS1 Antibody - BSA Free [NBP2-41252]

Immunohistochemistry-Paraffin: SPNS1 Antibody [NBP2-41252] - Human lung tissue at 2.5 ug/ml.
SPNS1 Antibody - BSA Free

Immunocytochemistry/ Immunofluorescence: SPNS1 Antibody - BSA Free [NBP2-41252] -

Immunocytochemistry/ Immunofluorescence: SPNS1 Antibody - BSA Free [NBP2-41252] - Immunofluorescence of SPNS1 in human lung tissue with SPNS1 antibody at 20 ug/ml.

Applications for SPNS1 Antibody - BSA Free

Application
Recommended Usage

Immunocytochemistry/ Immunofluorescence

20 ug/ml

Immunohistochemistry

2.5 ug/ml

Immunohistochemistry-Paraffin

2.5 ug/ml

Western Blot

1-2 ug/ml

Formulation, Preparation, and Storage

Purification

Peptide affinity purified

Formulation

PBS

Format

BSA Free

Preservative

0.02% Sodium Azide

Concentration

1 mg/ml

Shipping

The product is shipped with polar packs. Upon receipt, store it immediately at the temperature recommended below.

Stability & Storage

Store at 4C short term. Aliquot and store at -20C long term. Avoid freeze-thaw cycles.

Background: SPNS1

SPNS1 is a human ortholog of the Drosophila melanogaster spin gene. Many orthologs have been identified in a number of species from nematodes to humans. In drosophila the Spin protein may function in mediating apoptotic signals conveyed from follicle cells to nurse cells or from glia to neurons. The accumulation of lipofuscin-like materials in spin mutant neurons further implies the possible function of the spin gene in regulating lysosomal turnover in nerve cells. SPNS1 may be involved in necrotic or autophagic cell death.

Alternate Names

FLJ38358, HSpin1Spinster-like protein 1, LAT, PP2030, protein spinster homolog 1, SPIN1nrs, SPINL, spinster homolog 1 (Drosophila)

Gene Symbol

SPNS1

Additional SPNS1 Products

Product Documents for SPNS1 Antibody - BSA Free

Certificate of Analysis

To download a Certificate of Analysis, please enter a lot number in the search box below.

Product Specific Notices for SPNS1 Antibody - BSA Free

This product is for research use only and is not approved for use in humans or in clinical diagnosis. Primary Antibodies are guaranteed for 1 year from date of receipt.

Loading...
Loading...
Loading...
Loading...