Skip to main content

SPNS1 Antibody - BSA Free

Novus Biologicals, part of Bio-Techne | Catalog # NBP1-92440

Novus Biologicals, part of Bio-Techne
Catalog #
Availability
Size / Price
Qty
Loading...
NBP1-92440
NBP1-92440-25ul

Key Product Details

Validated by

Orthogonal Validation, Independent Antibodies

Species Reactivity

Human

Applications

Immunohistochemistry, Immunohistochemistry-Paraffin

Label

Unconjugated

Antibody Source

Polyclonal Rabbit IgG

Format

BSA Free

Concentration

Concentrations vary lot to lot. See vial label for concentration. If unlisted please contact technical services.

Product Specifications

Immunogen

This antibody was developed against Recombinant Protein corresponding to amino acids: MAGSDTAPFLSQADDPDDGPVPGTPGLPGSTGNPKSEEPEVPDQEGLQRITGLSPGRS

Reactivity Notes

Immunogen displays the following percentage of sequence identity for non-tested species: Mouse (84%), Rat (84%)

Clonality

Polyclonal

Host

Rabbit

Isotype

IgG

Scientific Data Images for SPNS1 Antibody - BSA Free

Immunohistochemistry-Paraffin: SPNS1 Antibody [NBP1-92440]

Immunohistochemistry-Paraffin: SPNS1 Antibody [NBP1-92440]

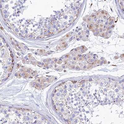
Immunohistochemistry-Paraffin: SPNS1 Antibody [NBP1-92440] - Staining of human lung, pancreas, placenta and testis using Anti-SPNS1 antibody NBP1-92440 (A) shows similar protein distribution across tissues to independent antibody NBP1-92441 (B).
Immunohistochemistry-Paraffin: SPNS1 Antibody [NBP1-92440]

Immunohistochemistry-Paraffin: SPNS1 Antibody [NBP1-92440]

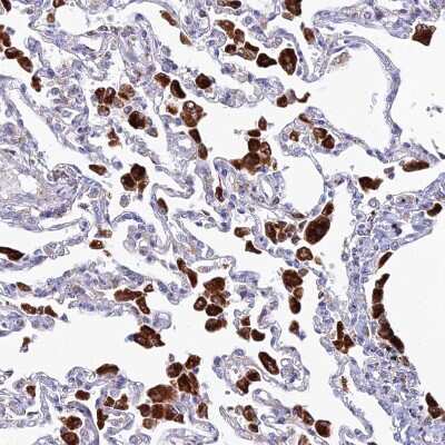
Immunohistochemistry-Paraffin: SPNS1 Antibody [NBP1-92440] - Staining of human lung shows strong granular cytoplasmic positivity in macrophages.
Immunohistochemistry-Paraffin: SPNS1 Antibody [NBP1-92440]

Immunohistochemistry-Paraffin: SPNS1 Antibody [NBP1-92440]

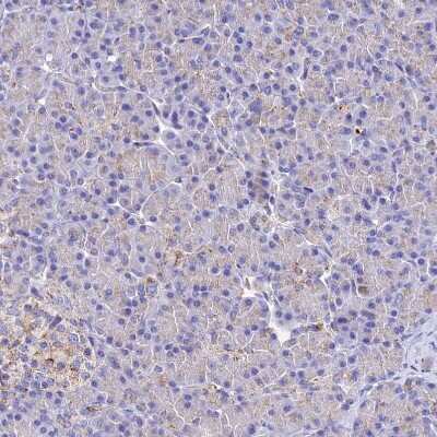
Immunohistochemistry-Paraffin: SPNS1 Antibody [NBP1-92440] - Staining of human pancreas shows very weak positivity in exocrine glandular cells as expected.

Applications for SPNS1 Antibody - BSA Free

Application
Recommended Usage

Immunohistochemistry

1:50 - 1:200

Immunohistochemistry-Paraffin

1:50 - 1:200
Application Notes
For IHC-Paraffin, HIER pH 6 retrieval is recommended.

Formulation, Preparation, and Storage

Purification

Affinity purified

Formulation

PBS (pH 7.2) and 40% Glycerol

Format

BSA Free

Preservative

0.02% Sodium Azide

Concentration

Concentrations vary lot to lot. See vial label for concentration. If unlisted please contact technical services.

Shipping

The product is shipped with polar packs. Upon receipt, store it immediately at the temperature recommended below.

Stability & Storage

Store at 4C short term. Aliquot and store at -20C long term. Avoid freeze-thaw cycles.

Background: SPNS1

SPNS1 is a human ortholog of the Drosophila melanogaster spin gene. Many orthologs have been identified in a number of species from nematodes to humans. In drosophila the Spin protein may function in mediating apoptotic signals conveyed from follicle cells to nurse cells or from glia to neurons. The accumulation of lipofuscin-like materials in spin mutant neurons further implies the possible function of the spin gene in regulating lysosomal turnover in nerve cells. SPNS1 may be involved in necrotic or autophagic cell death.

Alternate Names

FLJ38358, HSpin1Spinster-like protein 1, LAT, PP2030, protein spinster homolog 1, SPIN1nrs, SPINL, spinster homolog 1 (Drosophila)

Gene Symbol

SPNS1

Additional SPNS1 Products

Product Documents for SPNS1 Antibody - BSA Free

Certificate of Analysis

To download a Certificate of Analysis, please enter a lot number in the search box below.

Product Specific Notices for SPNS1 Antibody - BSA Free

This product is for research use only and is not approved for use in humans or in clinical diagnosis. Primary Antibodies are guaranteed for 1 year from date of receipt.

Loading...
Loading...
Loading...
Loading...