SPINT4 Antibody - BSA Free
Novus Biologicals, part of Bio-Techne | Catalog # NBP2-62613
Key Product Details
Validated by
Orthogonal Validation
Species Reactivity
Human
Applications
Immunohistochemistry, Immunohistochemistry-Paraffin
Label
Unconjugated
Antibody Source
Polyclonal Rabbit IgG
Format
BSA Free
Concentration
Concentrations vary lot to lot. See vial label for concentration. If unlisted please contact technical services.
Product Specifications
Immunogen
This antibody was developed against a recombinant protein corresponding to amino acids: KICGDLKDPCKLDMNFGSCYEVHFRYFYNRTSKRCETFVFSGCNGNLNNFKLK
Clonality
Polyclonal
Host
Rabbit
Isotype
IgG
Description
Novus Biologicals Rabbit SPINT4 Antibody - BSA Free (NBP2-62613) is a polyclonal antibody validated for use in IHC. All Novus Biologicals antibodies are covered by our 100% guarantee.
Scientific Data Images for SPINT4 Antibody - BSA Free
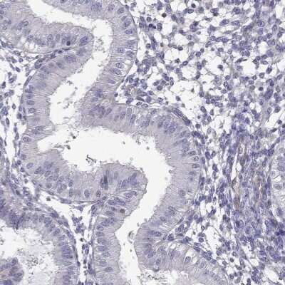
Immunohistochemistry-Paraffin: SPINT4 Antibody [NBP2-62613]
Immunohistochemistry-Paraffin: SPINT4 Antibody [NBP2-62613] - Staining of human epididymis shows high expression.Immunohistochemistry-Paraffin: SPINT4 Antibody [NBP2-62613]
Immunohistochemistry-Paraffin: SPINT4 Antibody [NBP2-62613] - Staining of human endometrium shows low expression as expected.Applications for SPINT4 Antibody - BSA Free
Application
Recommended Usage
Immunohistochemistry
1:20 - 1:50
Immunohistochemistry-Paraffin
1:20 - 1:50
Application Notes
For IHC-Paraffin, HIER pH 6 retrieval is recommended.
Reviewed Applications
Read 1 review rated 1 using NBP2-62613 in the following applications:
Formulation, Preparation, and Storage
Purification
Affinity purified
Formulation
PBS (pH 7.2) and 40% Glycerol
Format
BSA Free
Preservative
0.02% Sodium Azide
Concentration
Concentrations vary lot to lot. See vial label for concentration. If unlisted please contact technical services.
Shipping
The product is shipped with polar packs. Upon receipt, store it immediately at the temperature recommended below.
Stability & Storage
Store at 4C short term. Aliquot and store at -20C long term. Avoid freeze-thaw cycles.
Background: SPINT4
Alternate Names
C20orf137, Chromosome 20 Open Reading Frame 137, DJ601O1.1, Kunitz-Type Protease Inhibitor 4, Serine Peptidase Inhibitor, Kunitz Type 4, Serine Protease Inhibitor, Kunitz Type 4, SPINT3
Gene Symbol
SPINT4
Additional SPINT4 Products
Product Documents for SPINT4 Antibody - BSA Free
Product Specific Notices for SPINT4 Antibody - BSA Free
This product is for research use only and is not approved for use in humans or in clinical diagnosis. Primary Antibodies are guaranteed for 1 year from date of receipt.
Loading...
Loading...
Loading...
Loading...