Skip to main content

SPINK2 Antibody - BSA Free

Novus Biologicals, part of Bio-Techne | Catalog # NBP1-83133

Novus Biologicals, part of Bio-Techne
Catalog #
Availability
Size / Price
Qty
Loading...
NBP1-83133
NBP1-83133-25ul

Key Product Details

Validated by

Orthogonal Validation

Species Reactivity

Human

Applications

Immunohistochemistry, Immunohistochemistry-Paraffin

Label

Unconjugated

Antibody Source

Polyclonal Rabbit IgG

Format

BSA Free

Concentration

Concentrations vary lot to lot. See vial label for concentration. If unlisted please contact technical services.

Product Specifications

Immunogen

This antibody was developed against Recombinant Protein corresponding to amino acids: KYRTPNCSQYRLPGCPRHFNPVCGSDMSTYANECTLCMKIREGGHNIKIIRNGPC

Clonality

Polyclonal

Host

Rabbit

Isotype

IgG

Scientific Data Images for SPINK2 Antibody - BSA Free

Immunohistochemistry-Paraffin: SPINK2 Antibody [NBP1-83133]

Immunohistochemistry-Paraffin: SPINK2 Antibody [NBP1-83133]

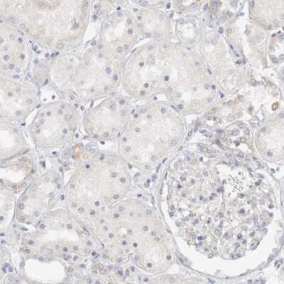
Immunohistochemistry-Paraffin: SPINK2 Antibody [NBP1-83133] - Analysis in human epididymis and kidney tissues. Corresponding SPINK2 RNA-seq data are presented for the same tissues.
Immunohistochemistry-Paraffin: SPINK2 Antibody [NBP1-83133]

Immunohistochemistry-Paraffin: SPINK2 Antibody [NBP1-83133]

Immunohistochemistry-Paraffin: SPINK2 Antibody [NBP1-83133] - Staining of human liver shows no cytoplasmic positivity in hepatocytes as expected.
Immunohistochemistry-Paraffin: SPINK2 Antibody [NBP1-83133]

Immunohistochemistry-Paraffin: SPINK2 Antibody [NBP1-83133]

Immunohistochemistry-Paraffin: SPINK2 Antibody [NBP1-83133] - Staining of human epididymis shows strong cytoplasmic positivity in glandular cells.

Applications for SPINK2 Antibody - BSA Free

Application
Recommended Usage

Immunohistochemistry

1:200 - 1:500

Immunohistochemistry-Paraffin

1:200 - 1:500
Application Notes
For IHC-Paraffin, HIER pH 6 retrieval is recommended.

Formulation, Preparation, and Storage

Purification

Affinity purified

Formulation

PBS (pH 7.2) and 40% Glycerol

Format

BSA Free

Preservative

0.02% Sodium Azide

Concentration

Concentrations vary lot to lot. See vial label for concentration. If unlisted please contact technical services.

Shipping

The product is shipped with polar packs. Upon receipt, store it immediately at the temperature recommended below.

Stability & Storage

Store at 4C short term. Aliquot and store at -20C long term. Avoid freeze-thaw cycles.

Background: SPINK2

Strong inhibitor of acrosin in male and/or female genital tract. Also inhibits trypsin

Alternate Names

Acrosin-trypsin inhibitor, Kazal type 2 (acrosin-trypsin inhibitor), serine peptidase inhibitor, Kazal type 2 (acrosin-trypsin inhibitor), serine protease inhibitor Kazal-type 2, serine protease inhibitor, Kazal type, 2 (acrosin-trypsin inhibitor)

Gene Symbol

SPINK2

Additional SPINK2 Products

Product Documents for SPINK2 Antibody - BSA Free

Certificate of Analysis

To download a Certificate of Analysis, please enter a lot number in the search box below.

Product Specific Notices for SPINK2 Antibody - BSA Free

This product is for research use only and is not approved for use in humans or in clinical diagnosis. Primary Antibodies are guaranteed for 1 year from date of receipt.

Loading...
Loading...
Loading...
Loading...