Skip to main content

SPIDR Antibody - BSA Free

Novus Biologicals, part of Bio-Techne | Catalog # NBP1-91044

Novus Biologicals, part of Bio-Techne
Catalog #
Availability
Size / Price
Qty
Loading...
NBP1-91044
NBP1-91044-25ul

Key Product Details

Species Reactivity

Human

Applications

Immunohistochemistry, Immunohistochemistry-Paraffin

Label

Unconjugated

Antibody Source

Polyclonal Rabbit IgG

Format

BSA Free

Concentration

Concentrations vary lot to lot. See vial label for concentration. If unlisted please contact technical services.

Product Specifications

Immunogen

This antibody was developed against Recombinant Protein corresponding to amino acids: ENSAKKKLLRGGLAERLNGLQNRERSAISLWRHQCISYQKTLSGRKSGVLTVKILELHEECAMQVAMCEQLLGSPATSSSQSVAPR

Clonality

Polyclonal

Host

Rabbit

Isotype

IgG

Scientific Data Images for SPIDR Antibody - BSA Free

Immunohistochemistry-Paraffin: SPIDR Antibody [NBP1-91044]

Immunohistochemistry-Paraffin: SPIDR Antibody [NBP1-91044]

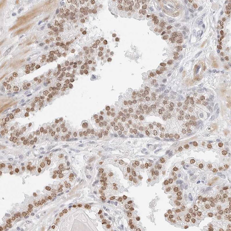
Immunohistochemistry-Paraffin: KIAA0146 Antibody [NBP1-91044] - Staining of human breast shows strong nuclear positivity in glandular cells.
SPIDR Antibody - BSA Free Immunohistochemistry: SPIDR Antibody - BSA Free [NBP1-91044]

Immunohistochemistry: SPIDR Antibody - BSA Free [NBP1-91044]

Staining of human breast shows strong nuclear positivity in glandular cells.
SPIDR Antibody - BSA Free Immunohistochemistry: SPIDR Antibody - BSA Free [NBP1-91044]

Immunohistochemistry: SPIDR Antibody - BSA Free [NBP1-91044]

Staining of human fallopian tube shows moderate nuclear positivity in glandular cells.

Applications for SPIDR Antibody - BSA Free

Application
Recommended Usage

Immunohistochemistry

1:200 - 1:500

Immunohistochemistry-Paraffin

1:200 - 1:500
Application Notes
For IHC-Paraffin, HIER pH 6 retrieval is recommended. Immunocytochemistry/Immunofluorescence Fixation Permeabilization: Use PFA/Triton X-100.

Formulation, Preparation, and Storage

Purification

Affinity purified

Formulation

PBS (pH 7.2) and 40% Glycerol

Format

BSA Free

Preservative

0.02% Sodium Azide

Concentration

Concentrations vary lot to lot. See vial label for concentration. If unlisted please contact technical services.

Shipping

The product is shipped with polar packs. Upon receipt, store it immediately at the temperature recommended below.

Stability & Storage

Store at 4C short term. Aliquot and store at -20C long term. Avoid freeze-thaw cycles.

Background: SPIDR

Alternate Names

FLJ35017, KIAA0146

Gene Symbol

KIAA0146

Additional SPIDR Products

Product Documents for SPIDR Antibody - BSA Free

Certificate of Analysis

To download a Certificate of Analysis, please enter a lot number in the search box below.

Product Specific Notices for SPIDR Antibody - BSA Free

This product is for research use only and is not approved for use in humans or in clinical diagnosis. Primary Antibodies are guaranteed for 1 year from date of receipt.

Loading...
Loading...
Loading...
Loading...