Skip to main content

SPESP1 Antibody - BSA Free

Novus Biologicals, part of Bio-Techne | Catalog # NBP2-48994

Novus Biologicals, part of Bio-Techne
Catalog #
Availability
Size / Price
Qty
Loading...
NBP2-48994-25ul
NBP2-48994

Key Product Details

Validated by

Orthogonal Validation, Independent Antibodies

Species Reactivity

Human

Applications

Immunohistochemistry, Immunohistochemistry-Paraffin, Western Blot

Label

Unconjugated

Antibody Source

Polyclonal Rabbit IgG

Format

BSA Free

Concentration

Concentrations vary lot to lot. See vial label for concentration. If unlisted please contact technical services.

Product Specifications

Immunogen

This antibody was developed against a recombinant protein corresponding to amino acids: KQTEAPRMLPVVTESSTSPYVTSYKSPVTTLDKSTGIGISTESEDVPQLSGETAIEKPEEFGKHPESWNNDDILKKILDINSQVQQALLSDTSNPA

Clonality

Polyclonal

Host

Rabbit

Isotype

IgG

Description

Novus Biologicals Rabbit SPESP1 Antibody - BSA Free (NBP2-48994) is a polyclonal antibody validated for use in IHC and WB. All Novus Biologicals antibodies are covered by our 100% guarantee.

Scientific Data Images for SPESP1 Antibody - BSA Free

Western Blot: SPESP1 Antibody [NBP2-48994]

Western Blot: SPESP1 Antibody [NBP2-48994]

Western Blot: SPESP1 Antibody [NBP2-48994] - Analysis using Anti-SPESP1 antibody NBP2-48994 (A) shows similar pattern to independent antibody NBP2-13370 (B).
Immunohistochemistry-Paraffin: SPESP1 Antibody [NBP2-48994]

Immunohistochemistry-Paraffin: SPESP1 Antibody [NBP2-48994]

Immunohistochemistry-Paraffin: SPESP1 Antibody [NBP2-48994] - Staining of human lymph node.
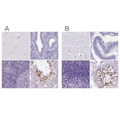
Immunohistochemistry-Paraffin: SPESP1 Antibody [NBP2-48994]

Immunohistochemistry-Paraffin: SPESP1 Antibody [NBP2-48994]

Immunohistochemistry-Paraffin: SPESP1 Antibody [NBP2-48994] - Staining of human endometrium shows low expression as expected.

Applications for SPESP1 Antibody - BSA Free

Application
Recommended Usage

Immunohistochemistry

1:2500 - 1:5000

Immunohistochemistry-Paraffin

1:2500 - 1:5000

Western Blot

0.04-0.4 ug/ml
Application Notes
For IHC-Paraffin, HIER pH 6 retrieval is recommended.

Formulation, Preparation, and Storage

Purification

Affinity purified

Formulation

PBS (pH 7.2) and 40% Glycerol

Format

BSA Free

Preservative

0.02% Sodium Azide

Concentration

Concentrations vary lot to lot. See vial label for concentration. If unlisted please contact technical services.

Shipping

The product is shipped with polar packs. Upon receipt, store it immediately at the temperature recommended below.

Stability & Storage

Store at 4C short term. Aliquot and store at -20C long term. Avoid freeze-thaw cycles.

Background: SPESP1

Alternate Names

ESP, Glycosylated 38 kDa sperm protein C-7/8, MGC24663, sperm equatorial segment protein 1, SP-ESPEquatorial segment protein

Gene Symbol

SPESP1

Additional SPESP1 Products

Product Documents for SPESP1 Antibody - BSA Free

Certificate of Analysis

To download a Certificate of Analysis, please enter a lot number in the search box below.

Product Specific Notices for SPESP1 Antibody - BSA Free

This product is for research use only and is not approved for use in humans or in clinical diagnosis. Primary Antibodies are guaranteed for 1 year from date of receipt.

Loading...
Loading...
Loading...
Loading...