Skip to main content

Spermatogensis associated protein 1 Antibody - BSA Free

Novus Biologicals, part of Bio-Techne | Catalog # NBP2-41142

Novus Biologicals, part of Bio-Techne

Key Product Details

Species Reactivity

Human, Mouse

Applications

Immunohistochemistry, Immunohistochemistry-Paraffin, Western Blot, ELISA, Immunocytochemistry/ Immunofluorescence

Label

Unconjugated

Antibody Source

Polyclonal Rabbit IgG

Format

BSA Free

Concentration

1 mg/ml

Product Specifications

Immunogen

Antibody was raised against an 18 amino acid synthetic peptide near the carboxy terminus of human SPATA1. The immunogen is located within amino acids 300 - 350 of SPATA1. Amino Acid Squence: AYNGWKKKYLETKKVTAS

Specificity

At least two isoforms of SPATA1 are known to exist; this antibody will detect only the longest isoforms. SPATA1 antibody is predicted to not cross-react with other SPATA family members.

Clonality

Polyclonal

Host

Rabbit

Isotype

IgG

Description

Novus Biologicals Rabbit Spermatogensis associated protein 1 Antibody - BSA Free (NBP2-41142) is a polyclonal antibody validated for use in IHC, WB, ELISA and ICC/IF. All Novus Biologicals antibodies are covered by our 100% guarantee.

Scientific Data Images for Spermatogensis associated protein 1 Antibody - BSA Free

Western Blot: Spermatogensis associated protein 1 AntibodyBSA Free [NBP2-41142]

Western Blot: Spermatogensis associated protein 1 AntibodyBSA Free [NBP2-41142]

Western Blot: Spermatogensis associated protein 1 Antibody [NBP2-41142] - Western blot analysis of SPATA1 in A20 cell lysate with SPATA1 antibody at (A) 1 and (B) 2 ug/mL.
Spermatogensis associated protein 1 Antibody - BSA Free

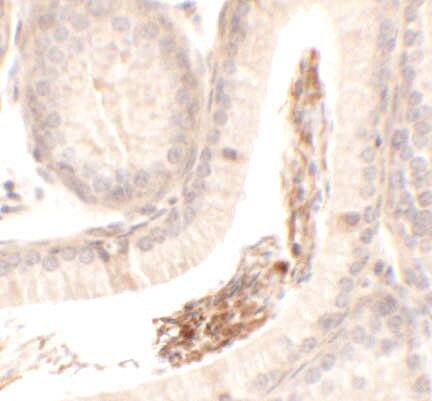
Immunohistochemistry: Spermatogensis associated protein 1 Antibody - BSA Free [NBP2-41142] -

Immunohistochemistry: Spermatogensis associated protein 1 Antibody - BSA Free [NBP2-41142] - Immunohistochemistry of Spermatogensis associated protein 1 in mouse testis tissue with Spermatogensis associated protein 1 antibody at 2.5 u/mL.
Spermatogensis associated protein 1 Antibody - BSA Free

Immunocytochemistry/ Immunofluorescence: Spermatogensis associated protein 1 Antibody - BSA Free [NBP2-41142] -

Immunocytochemistry/ Immunofluorescence: Spermatogensis associated protein 1 Antibody - BSA Free [NBP2-41142] - Immunofluorescence of Spermatogensis associated protein 1 in mouse testis tissue with Spermatogensis associated protein 1 antibody at 20 u/mL.

Applications for Spermatogensis associated protein 1 Antibody - BSA Free

Application
Recommended Usage

Immunocytochemistry/ Immunofluorescence

20 ug/ml

Immunohistochemistry

2.5 ug/mL

Immunohistochemistry-Paraffin

2.5 ug/ml

Western Blot

1-2 ug/ml

Formulation, Preparation, and Storage

Purification

Peptide affinity purified

Formulation

PBS

Format

BSA Free

Preservative

0.02% Sodium Azide

Concentration

1 mg/ml

Shipping

The product is shipped with polar packs. Upon receipt, store it immediately at the temperature recommended below.

Stability & Storage

Store at 4C short term. Aliquot and store at -20C long term. Avoid freeze-thaw cycles.

Background: Spermatogensis associated protein 1

Alternate Names

SP-2, SPAP1, SPATA1 spermatogenesis associated 1

Gene Symbol

SPATA1

Additional Spermatogensis associated protein 1 Products

Product Documents for Spermatogensis associated protein 1 Antibody - BSA Free

Certificate of Analysis

To download a Certificate of Analysis, please enter a lot number in the search box below.

Product Specific Notices for Spermatogensis associated protein 1 Antibody - BSA Free

This product is for research use only and is not approved for use in humans or in clinical diagnosis. Primary Antibodies are guaranteed for 1 year from date of receipt.

Loading...
Loading...
Loading...
Loading...