Skip to main content

Sperm Flagellar 2 Antibody - BSA Free

Novus Biologicals, part of Bio-Techne | Catalog # NBP2-38461

Novus Biologicals, part of Bio-Techne
Catalog #
Availability
Size / Price
Qty
Loading...
NBP2-38461
NBP2-38461-25ul

Key Product Details

Validated by

Orthogonal Validation, Independent Antibodies

Species Reactivity

Validated:

Human

Predicted:

Rat (91%). Backed by our 100% Guarantee.

Applications

Immunohistochemistry, Immunohistochemistry-Paraffin

Label

Unconjugated

Antibody Source

Polyclonal Rabbit IgG

Format

BSA Free

Concentration

Concentrations vary lot to lot. See vial label for concentration. If unlisted please contact technical services.

Product Specifications

Immunogen

This antibody was developed against a recombinant protein corresponding to amino acids: LGTITFEQYMQAGLWFTGDEDIKIPENPLEPLPFNRQEHLIEFFFRLFADYEKDPPQLDYTQMLLYFACHPDTVEGVYRALSVAVGTHVFQQVKA

Reactivity Notes

Immunogen displays the following percentage of sequence identity for non-tested species: Mouse (88%)

Clonality

Polyclonal

Host

Rabbit

Isotype

IgG

Description

Novus Biologicals Rabbit Sperm Flagellar 2 Antibody - BSA Free (NBP2-38461) is a polyclonal antibody validated for use in IHC. All Novus Biologicals antibodies are covered by our 100% guarantee.

Scientific Data Images for Sperm Flagellar 2 Antibody - BSA Free

Immunohistochemistry-Paraffin: Sperm Flagellar 2 Antibody [NBP2-38461]

Immunohistochemistry-Paraffin: Sperm Flagellar 2 Antibody [NBP2-38461]

Immunohistochemistry-Paraffin: Sperm Flagellar 2 Antibody [NBP2-38461] - Staining of human liver shows no positivity in hepatocytes as expected.
Immunohistochemistry-Paraffin: Sperm Flagellar 2 Antibody [NBP2-38461]

Immunohistochemistry-Paraffin: Sperm Flagellar 2 Antibody [NBP2-38461]

Immunohistochemistry-Paraffin: Sperm Flagellar 2 Antibody [NBP2-38461] - Staining of human fallopian tube shows high expression.
Immunohistochemistry-Paraffin: Sperm Flagellar 2 Antibody [NBP2-38461]

Immunohistochemistry-Paraffin: Sperm Flagellar 2 Antibody [NBP2-38461]

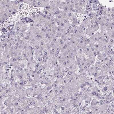
Immunohistochemistry-Paraffin: Sperm Flagellar 2 Antibody [NBP2-38461] - Staining of human liver shows low expression as expected.

Applications for Sperm Flagellar 2 Antibody - BSA Free

Application
Recommended Usage

Immunohistochemistry

1:2500 - 1:5000

Immunohistochemistry-Paraffin

1:2500 - 1:5000
Application Notes
For IHC-Paraffin, HIER pH 6 retrieval is recommended.

Formulation, Preparation, and Storage

Purification

Affinity purified

Formulation

PBS (pH 7.2) and 40% Glycerol

Format

BSA Free

Preservative

0.02% Sodium Azide

Concentration

Concentrations vary lot to lot. See vial label for concentration. If unlisted please contact technical services.

Shipping

The product is shipped with polar packs. Upon receipt, store it immediately at the temperature recommended below.

Stability & Storage

Store at 4C short term. Aliquot and store at -20C long term. Avoid freeze-thaw cycles.

Background: Sperm Flagellar 2

The SPEF2 gene encodes a sperm flagellar protein 2 that exists in four isoforms. Isoform 1 is 1,822 amino acids long at 209 kDA, isoform 2 is 1,818 amino acids long at 209 kDA, isoform 3 is 514 amino acids long at 61 kDA, and isoform 4 is 619 amino acids long at 70 kDA. The protein encoded by the SPEF2 gene is thought to be critical to correct axoneme development. This gene interacts with genes APOA1 and IGHA1. SPEF2 has been linked to diseases such as primary ciliary dyskinesia and infertility.

Alternate Names

cancer/testis antigen 122, CT122, FLJ23164, FLJ23577, FLJ25395, KIAA1770, KPL2MGC102842, Protein KPL2, sperm flagellar 2, sperm flagellar protein 2

Gene Symbol

SPEF2

UniProt

Additional Sperm Flagellar 2 Products

Product Documents for Sperm Flagellar 2 Antibody - BSA Free

Certificate of Analysis

To download a Certificate of Analysis, please enter a lot number in the search box below.

Product Specific Notices for Sperm Flagellar 2 Antibody - BSA Free

This product is for research use only and is not approved for use in humans or in clinical diagnosis. Primary Antibodies are guaranteed for 1 year from date of receipt.

Loading...
Loading...
Loading...
Loading...