Skip to main content

Spectrin beta 1 Antibody - BSA Free

Novus Biologicals, part of Bio-Techne | Catalog # NBP1-87596

Novus Biologicals, part of Bio-Techne
Catalog #
Availability
Size / Price
Qty
Loading...
NBP1-87596-25ul
NBP1-87596

Key Product Details

Species Reactivity

Validated:

Human

Cited:

Human

Applications

Immunohistochemistry, Immunohistochemistry-Paraffin, Immunocytochemistry/ Immunofluorescence

Label

Unconjugated

Antibody Source

Polyclonal Rabbit IgG

Format

BSA Free

Concentration

Concentrations vary lot to lot. See vial label for concentration. If unlisted please contact technical services.

Product Specifications

Immunogen

This antibody was developed against Recombinant Protein corresponding to amino acids: ESTKDLGRDLAGIIAIQRKLSGLERDVAAIQARVDALERESQQLMDSHPEQKEDIGQRQKHLEELWQGLQQSLQGQEDLLGEVSQLQAFLQDLDDFQAWLSITQKAVASEDMPESL

Reactivity Notes

Immunogen displays the following percentage of sequence identity for non-tested species: Mouse (81%)

Clonality

Polyclonal

Host

Rabbit

Isotype

IgG

Scientific Data Images for Spectrin beta 1 Antibody - BSA Free

Immunocytochemistry/ Immunofluorescence: Spectrin beta 1 Antibody [NBP1-87596]

Immunocytochemistry/ Immunofluorescence: Spectrin beta 1 Antibody [NBP1-87596]

Immunocytochemistry/Immunofluorescence: Spectrin beta 1 Antibody [NBP1-87596] - Staining of human cell line U-2 OS shows localization to cytosol & the Golgi apparatus.
Immunohistochemistry-Paraffin: Spectrin beta 1 Antibody [NBP1-87596]

Immunohistochemistry-Paraffin: Spectrin beta 1 Antibody [NBP1-87596]

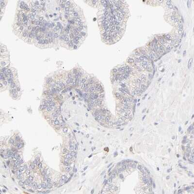
Immunohistochemistry-Paraffin: Spectrin beta 1 Antibody [NBP1-87596] - Analysis in human skeletal muscle and liver tissues using NBP1-87596 antibody. Corresponding Spectrin beta 1 RNA-seq data are presented for the same tissues.
Immunohistochemistry: Spectrin beta 1 Antibody [NBP1-87596]

Immunohistochemistry: Spectrin beta 1 Antibody [NBP1-87596]

Immunohistochemistry: Spectrin beta 1 Antibody [NBP1-87596] - Staining of human bone marrow shows strong cytoplasmic positivity in bone marrow poietic cells.

Applications for Spectrin beta 1 Antibody - BSA Free

Application
Recommended Usage

Immunocytochemistry/ Immunofluorescence

0.25-2 ug/ml

Immunohistochemistry

1:500 - 1:1000

Immunohistochemistry-Paraffin

1:500 - 1:1000
Application Notes
For IHC-Paraffin, HIER pH 6 retrieval is recommended. ICC/IF, PFA/Triton X-100.

Formulation, Preparation, and Storage

Purification

Affinity purified

Formulation

PBS (pH 7.2) and 40% Glycerol

Format

BSA Free

Preservative

0.02% Sodium Azide

Concentration

Concentrations vary lot to lot. See vial label for concentration. If unlisted please contact technical services.

Shipping

The product is shipped with polar packs. Upon receipt, store it immediately at the temperature recommended below.

Stability & Storage

Store at 4C short term. Aliquot and store at -20C long term. Avoid freeze-thaw cycles.

Background: Spectrin beta 1

Spectrin (Sp), the most abundant of the erythrocyte membrane skeleton proteins, helps these cells maintain their characteristic biconcave shape while remaining flexible and elastic. Erythrocyte Sp is a heterodimer composed of a 280 kDa alpha subunit and a 246 kDa beta subunit which associate in a side-to-side, antiparallel configuration to form a 100 nm rod-like structure. Sp in other tissues may be composed of distinct but homologous alpha and beta subunits, sometimes referred to as fodrin. A newly introduced nomenclature designates the Sp subunits of the erythrocyte as alpha-1 and beta-1, and the fodrin subunits as alpha-2 and beta-2. Alternatively spliced forms of each are designated as epsilon-1, epsilon-2, etc. (e.g. beta-1 epsilon-1).

Alternate Names

beta-I spectrin, EL3, erythrocyte, HS2, HSPTB1, membrane cytoskeletal protein, spectrin, beta, erythrocytic, SPTB1

Gene Symbol

SPTB

Additional Spectrin beta 1 Products

Product Documents for Spectrin beta 1 Antibody - BSA Free

Certificate of Analysis

To download a Certificate of Analysis, please enter a lot number in the search box below.

Product Specific Notices for Spectrin beta 1 Antibody - BSA Free

This product is for research use only and is not approved for use in humans or in clinical diagnosis. Primary Antibodies are guaranteed for 1 year from date of receipt.

Loading...
Loading...
Loading...
Loading...