Skip to main content

SPECC1L Antibody - BSA Free

Novus Biologicals, part of Bio-Techne | Catalog # NBP2-98024

Novus Biologicals, part of Bio-Techne

Key Product Details

Species Reactivity

Human

Applications

Immunohistochemistry-Paraffin

Label

Unconjugated

Antibody Source

Polyclonal Rabbit IgG

Format

BSA Free

Concentration

Please see the vial label for concentration. If unlisted please contact technical services.

Product Specifications

Immunogen

Produced in rabbits immunized with E. coli-derived Human SPECC1L fragment.

Clonality

Polyclonal

Host

Rabbit

Isotype

IgG

Description

This antibody can be stored at 2C to 8C for one month without detectable loss of activity. Antibody products are stable for twelve months from date of receipt when stored at -20C to -80C. Avoid repeated freeze-thaw cycles.

Scientific Data Images for SPECC1L Antibody - BSA Free

Immunohistochemistry-Paraffin: SPECC1L Antibody [NBP2-98024]

Immunohistochemistry-Paraffin: SPECC1L Antibody [NBP2-98024]

Immunohistochemistry-Paraffin: SPECC1L Antibody [NBP2-98024] - Immunochemical staining of human SPECC1L in human kidney with rabbit polyclonal antibody at 1:100 dilution, formalin-fixed paraffin embedded sections.
Immunohistochemistry-Paraffin: SPECC1L Antibody [NBP2-98024]

Immunohistochemistry-Paraffin: SPECC1L Antibody [NBP2-98024]

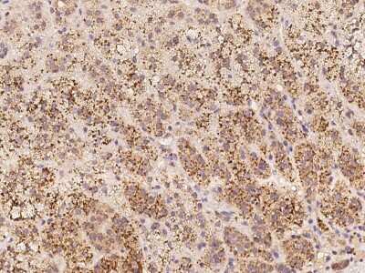
Immunohistochemistry-Paraffin: SPECC1L Antibody [NBP2-98024] - Immunochemical staining of human SPECC1L in human adrenal gland with rabbit polyclonal antibody at 1:100 dilution, formalin-fixed paraffin embedded sections.

Applications for SPECC1L Antibody - BSA Free

Application
Recommended Usage

Immunohistochemistry-Paraffin

1:50-1:200

Formulation, Preparation, and Storage

Purification

Antigen and protein A Affinity-purified

Formulation

PBS

Format

BSA Free

Preservative

0.03% Proclin 300

Concentration

Please see the vial label for concentration. If unlisted please contact technical services.

Shipping

The product is shipped with polar packs. Upon receipt, store it immediately at the temperature recommended below.

Stability & Storage

Store at 4C short term. Aliquot and store at -20C long term. Avoid freeze-thaw cycles.

Background: SPECC1L

Alternate Names

Cytokinesis And Spindle Organization A, Cytospin A, CYTSA, GBBB2, KIAA0376, OBLFC1, Renal Carcinoma Antigen NY-REN-22, SPECC1-Like, SPECC1-Like Protein, Sperm Antigen With Calponin Homology And Coiled-Coil Domains 1-Like

Gene Symbol

SPECC1L

Additional SPECC1L Products

Product Documents for SPECC1L Antibody - BSA Free

Certificate of Analysis

To download a Certificate of Analysis, please enter a lot number in the search box below.

Product Specific Notices for SPECC1L Antibody - BSA Free

This product is for research use only and is not approved for use in humans or in clinical diagnosis. Primary Antibodies are guaranteed for 1 year from date of receipt.

Loading...
Loading...
Loading...
Loading...