SPATA5L1 Antibody - BSA Free
Novus Biologicals, part of Bio-Techne | Catalog # NBP1-92430
Key Product Details
Species Reactivity
Human
Applications
Immunohistochemistry, Immunohistochemistry-Paraffin, Immunocytochemistry/ Immunofluorescence
Label
Unconjugated
Antibody Source
Polyclonal Rabbit IgG
Format
BSA Free
Concentration
Concentrations vary lot to lot. See vial label for concentration. If unlisted please contact technical services.
Product Specifications
Immunogen
This antibody was developed against Recombinant Protein corresponding to amino acids: TSCHCSFVSVSGADLFSPFVGDSEKVLSQIFRQARASTPAILFLDEIDSILGARSASKTGCDVQERVLSVLLNELDGVGLKTIERRGSKSSQQEFQEV
Reactivity Notes
Immunogen displays the following percentage of sequence identity for non-tested species: Rat (81%)
Clonality
Polyclonal
Host
Rabbit
Isotype
IgG
Scientific Data Images for SPATA5L1 Antibody - BSA Free
Immunocytochemistry/ Immunofluorescence: SPATA5L1 Antibody [NBP1-92430]
Immunocytochemistry/Immunofluorescence: SPATA5L1 Antibody [NBP1-92430] - Staining of human cell line U-2 OS shows localization to nucleoplasm. Antibody staining is shown in green.Immunohistochemistry-Paraffin: SPATA5L1 Antibody [NBP1-92430]
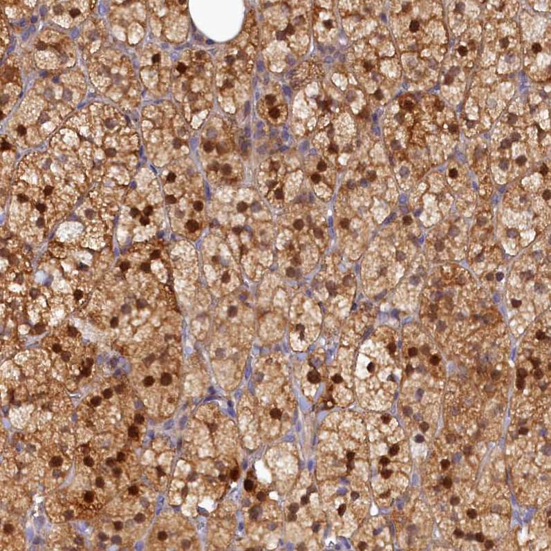
Immunohistochemistry-Paraffin: SPATA5L1 Antibody [NBP1-92430] - Staining of human adrenal gland shows moderate to strong nuclear and cytoplasmic positivity in glandular cells.Immunohistochemistry: SPATA5L1 Antibody - BSA Free [NBP1-92430]
Staining of human kidney shows moderate nuclear positivity in a small subset of cells in tubules.Applications for SPATA5L1 Antibody - BSA Free
Application
Recommended Usage
Immunocytochemistry/ Immunofluorescence
0.25-2 ug/ml
Immunohistochemistry
1:50 - 1:200
Immunohistochemistry-Paraffin
1:50 - 1:200
Application Notes
For IHC-Paraffin, HIER pH 6 retrieval is recommended. ICC/IF, Fixation Permeabilization: Use PFA/Triton X-100.
Formulation, Preparation, and Storage
Purification
Affinity purified
Formulation
PBS (pH 7.2) and 40% Glycerol
Format
BSA Free
Preservative
0.02% Sodium Azide
Concentration
Concentrations vary lot to lot. See vial label for concentration. If unlisted please contact technical services.
Shipping
The product is shipped with polar packs. Upon receipt, store it immediately at the temperature recommended below.
Stability & Storage
Store at 4C short term. Aliquot and store at -20C long term. Avoid freeze-thaw cycles.
Background: SPATA5L1
Alternate Names
EC 1.1.1.100, EC 3.4.24, FLJ12286, MGC5347, spermatogenesis associated 5-like 1, spermatogenesis-associated protein 5-like protein 1
Gene Symbol
SPATA5L1
Additional SPATA5L1 Products
Product Documents for SPATA5L1 Antibody - BSA Free
Product Specific Notices for SPATA5L1 Antibody - BSA Free
This product is for research use only and is not approved for use in humans or in clinical diagnosis. Primary Antibodies are guaranteed for 1 year from date of receipt.
Loading...
Loading...
Loading...
Loading...