Skip to main content

SPATA32 Antibody - BSA Free

Novus Biologicals, part of Bio-Techne | Catalog # NBP1-93913

Novus Biologicals, part of Bio-Techne
Catalog #
Availability
Size / Price
Qty
Loading...
NBP1-93913
NBP1-93913-25ul

Key Product Details

Species Reactivity

Human

Applications

Immunohistochemistry, Immunohistochemistry-Paraffin

Label

Unconjugated

Antibody Source

Polyclonal Rabbit IgG

Format

BSA Free

Concentration

Concentrations vary lot to lot. See vial label for concentration. If unlisted please contact technical services.

Product Specifications

Immunogen

This antibody was developed against Recombinant Protein corresponding to amino acids: SVHSNMGLPTPQTFRPWSLNSNCRSFTEENHVSACHHSISAQTSKHLFWANKLIQASEHSLQRAINMQLNNGSAGQPIRSPL

Clonality

Polyclonal

Host

Rabbit

Isotype

IgG

Description

Novus Biologicals Rabbit SPATA32 Antibody - BSA Free (NBP1-93913) is a polyclonal antibody validated for use in IHC. All Novus Biologicals antibodies are covered by our 100% guarantee.

Scientific Data Images for SPATA32 Antibody - BSA Free

Immunohistochemistry-Paraffin: SPATA32 Antibody [NBP1-93913]

Immunohistochemistry-Paraffin: SPATA32 Antibody [NBP1-93913]

Immunohistochemistry-Paraffin: C17orf46 Antibody [NBP1-93913] - Staining of human testis shows strong cytoplasmic positivity in spermatozoa.
Immunohistochemistry-Paraffin: SPATA32 Antibody [NBP1-93913]

Immunohistochemistry-Paraffin: SPATA32 Antibody [NBP1-93913]

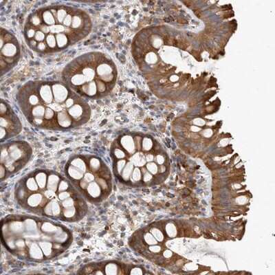
Immunohistochemistry-Paraffin: C17orf46 Antibody [NBP1-93913] - Staining of human colon shows strong cytoplasmic positivity in glandular cells.

Applications for SPATA32 Antibody - BSA Free

Application
Recommended Usage

Immunohistochemistry

1:500 - 1:1000

Immunohistochemistry-Paraffin

1:500 - 1:1000
Application Notes
For IHC-Paraffin, HIER pH 6 retrieval is recommended.

Formulation, Preparation, and Storage

Purification

Affinity purified

Formulation

PBS (pH 7.2) and 40% Glycerol

Format

BSA Free

Preservative

0.02% Sodium Azide

Concentration

Concentrations vary lot to lot. See vial label for concentration. If unlisted please contact technical services.

Shipping

The product is shipped with polar packs. Upon receipt, store it immediately at the temperature recommended below.

Stability & Storage

Store at 4C short term. Aliquot and store at -20C long term. Avoid freeze-thaw cycles.

Background: SPATA32

Alternate Names

AEP2, C17orf46, chromosome 17 open reading frame 46, FLJ25414, hypothetical protein LOC124783, spermatogenesis associated 32, TEX34, VAD1.2

Gene Symbol

SPATA32

Additional SPATA32 Products

Product Documents for SPATA32 Antibody - BSA Free

Certificate of Analysis

To download a Certificate of Analysis, please enter a lot number in the search box below.

Product Specific Notices for SPATA32 Antibody - BSA Free

This product is for research use only and is not approved for use in humans or in clinical diagnosis. Primary Antibodies are guaranteed for 1 year from date of receipt.

Loading...
Loading...
Loading...
Loading...