Skip to main content

SPATA18 Antibody - BSA Free

Novus Biologicals, part of Bio-Techne | Catalog # NBP1-81984

Novus Biologicals, part of Bio-Techne
Catalog #
Availability
Size / Price
Qty
Loading...
NBP1-81984-25ul
NBP1-81984

Key Product Details

Validated by

Orthogonal Validation

Species Reactivity

Validated:

Human

Cited:

Human

Applications

Validated:

Immunohistochemistry, Immunohistochemistry-Paraffin, Western Blot

Cited:

Western Blot

Label

Unconjugated

Antibody Source

Polyclonal Rabbit IgG

Format

BSA Free

Concentration

Concentrations vary lot to lot. See vial label for concentration. If unlisted please contact technical services.

Product Specifications

Immunogen

This antibody was developed against Recombinant Protein corresponding to amino acids: AENLKRLVSNETLRTLQEKLDFWLKEYNTNTCDQNLNHCLELIEQVAKVQGQLFGILTAAAQEGGRNDGVETIKSR

Clonality

Polyclonal

Host

Rabbit

Isotype

IgG

Theoretical MW

61 kDa.
Disclaimer note: The observed molecular weight of the protein may vary from the listed predicted molecular weight due to post translational modifications, post translation cleavages, relative charges, and other experimental factors.

Scientific Data Images for SPATA18 Antibody - BSA Free

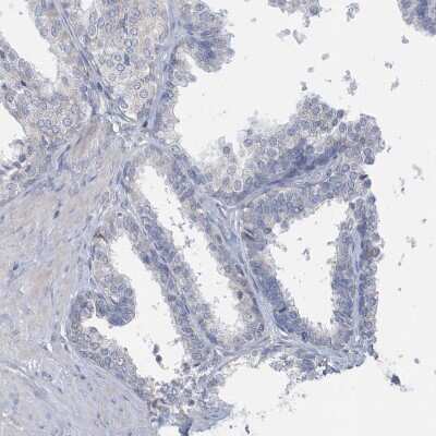
Immunohistochemistry-Paraffin: SPATA18 Antibody [NBP1-81984]

Immunohistochemistry-Paraffin: SPATA18 Antibody [NBP1-81984]

Immunohistochemistry-Paraffin: SPATA18 Antibody [NBP1-81984] - Analysis in human fallopian tube and prostate tissues using NBP1-81984 antibody. Corresponding SPATA18 RNA-seq data are presented for the same tissues.
Immunohistochemistry-Paraffin: SPATA18 Antibody [NBP1-81984]

Immunohistochemistry-Paraffin: SPATA18 Antibody [NBP1-81984]

Immunohistochemistry-Paraffin: SPATA18 Antibody [NBP1-81984] - Staining of human fallopian tube shows strong positivity in cilia in glandular cells.
Immunohistochemistry-Paraffin: SPATA18 Antibody [NBP1-81984]

Immunohistochemistry-Paraffin: SPATA18 Antibody [NBP1-81984]

Immunohistochemistry-Paraffin: SPATA18 Antibody [NBP1-81984] - Staining of human lymph node shows no positivity in non-germinal center cells as expected.

Applications for SPATA18 Antibody - BSA Free

Application
Recommended Usage

Immunohistochemistry

1:200 - 1:500

Immunohistochemistry-Paraffin

1:200 - 1:500

Western Blot

Reported in scientific literature (PMID: 25691661)
Application Notes
For IHC-Paraffin, HIER pH 6 retrieval is recommended.

Formulation, Preparation, and Storage

Purification

Affinity purified

Formulation

PBS (pH 7.2) and 40% Glycerol

Format

BSA Free

Preservative

0.02% Sodium Azide

Concentration

Concentrations vary lot to lot. See vial label for concentration. If unlisted please contact technical services.

Shipping

The product is shipped with polar packs. Upon receipt, store it immediately at the temperature recommended below.

Stability & Storage

Store at 4C short term. Aliquot and store at -20C long term. Avoid freeze-thaw cycles.

Background: SPATA18

Potential role in spermatogenesis, especially in cell differentiation from late elongate spematids to maturespermatozoa

Alternate Names

FLJ32906, Mieap, mitochondria-eating protein, spermatogenesis associated 18 homolog (rat), Spermatogenesis-associated protein 18, SPETEX1

Entrez Gene IDs

132671 (Human)

Gene Symbol

SPATA18

UniProt

Additional SPATA18 Products

Product Documents for SPATA18 Antibody - BSA Free

Certificate of Analysis

To download a Certificate of Analysis, please enter a lot number in the search box below.

Product Specific Notices for SPATA18 Antibody - BSA Free

This product is for research use only and is not approved for use in humans or in clinical diagnosis. Primary Antibodies are guaranteed for 1 year from date of receipt.

Loading...
Loading...
Loading...
Loading...