Skip to main content

SPARC Antibody - BSA Free

Novus Biologicals, part of Bio-Techne | Catalog # NBP1-80972

Novus Biologicals, part of Bio-Techne
Catalog #
Availability
Size / Price
Qty
Loading...
NBP1-80972
NBP1-80972-25ul

Key Product Details

Validated by

Orthogonal Validation, Independent Antibodies

Species Reactivity

Validated:

Human, Mouse

Cited:

Mouse

Predicted:

Rat (96%). Backed by our 100% Guarantee.

Applications

Validated:

Immunohistochemistry, Immunohistochemistry-Paraffin, Western Blot, Immunocytochemistry/ Immunofluorescence

Cited:

Western Blot

Label

Unconjugated

Antibody Source

Polyclonal Rabbit IgG

Format

BSA Free

Concentration

Concentrations vary lot to lot. See vial label for concentration. If unlisted please contact technical services.

Product Specifications

Immunogen

This antibody was developed against Recombinant Protein corresponding to amino acids: VLVTLYERDEDNNLLTEKQKLRVKKIHENEKRLEAGDHPVELLARDFEKNYNMYIFPVHWQFGQLDQHPIDGYLSHTELAPLRAPLIPMEHCTTRFFETCDLDNDKYIALDEWAGCFGIKQKDIDKDL

Reactivity Notes

Mouse reactivity reported from a verified customer review.

Clonality

Polyclonal

Host

Rabbit

Isotype

IgG

Theoretical MW

35 kDa.
Disclaimer note: The observed molecular weight of the protein may vary from the listed predicted molecular weight due to post translational modifications, post translation cleavages, relative charges, and other experimental factors.

Description

Novus Biologicals Rabbit SPARC Antibody - BSA Free (NBP1-80972) is a polyclonal antibody validated for use in IHC, WB and ICC/IF. Anti-SPARC Antibody: Cited in 4 publications. All Novus Biologicals antibodies are covered by our 100% guarantee.

Scientific Data Images for SPARC Antibody - BSA Free

Western Blot: SPARC Antibody [NBP1-80972]

Western Blot: SPARC Antibody [NBP1-80972]

Western Blot: SPARC Antibody [NBP1-80972] - Analysis in human cell lines U2OS and HeLa. Corresponding RNA-seq data are presented for the same cell lines. Loading control: Anti-HSP90B1.
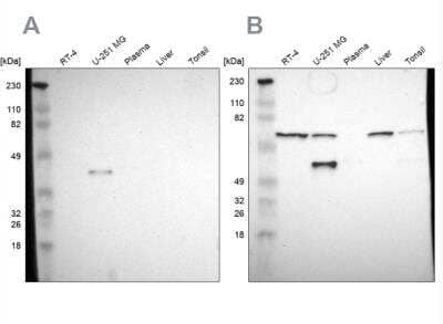
Western Blot: SPARC Antibody [NBP1-80972]

Western Blot: SPARC Antibody [NBP1-80972]

Western Blot: SPARC Antibody [NBP1-80972] - Analysis using Anti-SPARC antibody NBP1-80972 (A) shows similar pattern to independent antibody NBP1-80971 (B).
Immunocytochemistry/ Immunofluorescence: SPARC Antibody [NBP1-80972]

Immunocytochemistry/ Immunofluorescence: SPARC Antibody [NBP1-80972]

Immunocytochemistry/Immunofluorescence: SPARC Antibody [NBP1-80972] - Staining SPARC in MG63 cells using anti-SPARC antibody. Cell were fixed in 4% Paraformaldehyde (20 min, RT); and permeabilized in 0,2% Triton (15 min, RT). Image from verified customer review.

Applications for SPARC Antibody - BSA Free

Application
Recommended Usage

Immunocytochemistry/ Immunofluorescence

Validated from a verified customer review

Immunohistochemistry

1:200 - 1:500

Immunohistochemistry-Paraffin

1:200-1:500

Western Blot

0.04 - 0.4 ug/ml
Application Notes
For IHC-Paraffin, HIER pH 6 retrieval is recommended.

Reviewed Applications

Read 2 reviews rated 5 using NBP1-80972 in the following applications:

Formulation, Preparation, and Storage

Purification

Affinity purified

Formulation

PBS (pH 7.2) and 40% Glycerol

Format

BSA Free

Preservative

0.02% Sodium Azide

Concentration

Concentrations vary lot to lot. See vial label for concentration. If unlisted please contact technical services.

Shipping

The product is shipped with polar packs. Upon receipt, store it immediately at the temperature recommended below.

Stability & Storage

Store at 4C short term. Aliquot and store at -20C long term. Avoid freeze-thaw cycles.

Background: SPARC

Appears to regulate cell growth through interactions with the extracellular matrix and cytokines. Binds calcium and copper, several types of collagen, albumin, thrombospondin, PDGF and cell membranes. There are two calcium binding sites; an acidic domain that binds 5 to 8 Ca(2+) with a low affinity and an EF-hand loop that binds a Ca(2+) ion with a high affinity.

Long Name

Secreted Protein Acidic and Rich in Cysteine

Alternate Names

BM-40, Osteonectin

Entrez Gene IDs

6678 (Human)

Gene Symbol

SPARC

UniProt

Additional SPARC Products

Product Documents for SPARC Antibody - BSA Free

Certificate of Analysis

To download a Certificate of Analysis, please enter a lot number in the search box below.

Product Specific Notices for SPARC Antibody - BSA Free

This product is for research use only and is not approved for use in humans or in clinical diagnosis. Primary Antibodies are guaranteed for 1 year from date of receipt.

Loading...
Loading...
Loading...
Loading...