Skip to main content

SPARC Antibody (OSTN/8528R)

Novus Biologicals, part of Bio-Techne | Catalog # NBP3-20673

Recombinant Monoclonal Antibody
Novus Biologicals, part of Bio-Techne
Catalog #
Availability
Size / Price
Qty
Loading...
NBP3-20673-100ug
NBP3-20673-20ug
Conjugate
Catalog #

Key Product Details

Species Reactivity

Human

Applications

Immunohistochemistry-Paraffin

Label

Unconjugated

Antibody Source

Recombinant Monoclonal Rabbit IgG Kappa Clone # OSTN/8528R

Concentration

0.2 mg/ml

Product Specifications

Immunogen

Recombinant fragment (around aa1-200) of human SPARC protein (exact sequence is proprietary)

Localization

Secreted. Basement membrane.

Clonality

Monoclonal

Host

Rabbit

Isotype

IgG Kappa

Description

Positive Controls: Human placenta, lymph node or spleen. JEG3 or A549 cell lysates.

Antibody with azide store at 2 to 8C. Antibody without azide store at -20 to -80C. Non-hazardous. No MSDS required.

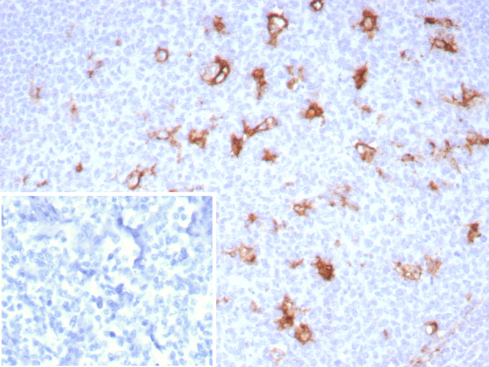
Scientific Data Images for SPARC Antibody (OSTN/8528R)

SPARC Antibody (OSTN/8528R)

SPARC Antibody (OSTN/8528R)

Formalin-fixed, paraffin-embedded human tonsil stained with SPARC antibody (OSTN/8528R). Inset: PBS instead of primary antibody; secondary only negative control.

Applications for SPARC Antibody (OSTN/8528R)

Application
Recommended Usage

Immunohistochemistry-Paraffin

1-2 ug/ml
Application Notes
Immunohistochemistry (Formalin-fixed): 1-2ug/ml for 30 minutes. at RT. Staining of formalin-fixed tissues requires heating tissue sections in 10mM Tris with 1mM EDTA, pH 9.0, for 45 min at 95C followed by cooling at RT for 20 minutes.

Optimal dilution for a specific application should be determined.

Formulation, Preparation, and Storage

Purification

Protein A or G purified

Formulation

10mM PBS with 0.05% BSA

Preservative

0.05% Sodium Azide

Concentration

0.2 mg/ml

Shipping

The product is shipped with polar packs. Upon receipt, store it immediately at the temperature recommended below.

Stability & Storage

Store at 4C. Do not freeze.

Background: SPARC

Appears to regulate cell growth through interactions with the extracellular matrix and cytokines. Binds calcium and copper, several types of collagen, albumin, thrombospondin, PDGF and cell membranes. There are two calcium binding sites; an acidic domain that binds 5 to 8 Ca(2+) with a low affinity and an EF-hand loop that binds a Ca(2+) ion with a high affinity.

Long Name

Secreted Protein Acidic and Rich in Cysteine

Alternate Names

BM-40, Osteonectin

Gene Symbol

SPARC

Additional SPARC Products

Product Documents for SPARC Antibody (OSTN/8528R)

Certificate of Analysis

To download a Certificate of Analysis, please enter a lot number in the search box below.

Product Specific Notices for SPARC Antibody (OSTN/8528R)

This product is for research use only and is not approved for use in humans or in clinical diagnosis. Primary Antibodies are guaranteed for 1 year from date of receipt.

Loading...
Loading...
Loading...
Loading...