SPACA1 Antibody - BSA Free
Novus Biologicals, part of Bio-Techne | Catalog # NBP2-38506
Key Product Details
Validated by
Orthogonal Validation, Independent Antibodies
Species Reactivity
Human
Applications
Immunohistochemistry, Immunohistochemistry-Paraffin
Label
Unconjugated
Antibody Source
Polyclonal Rabbit IgG
Format
BSA Free
Concentration
Concentrations vary lot to lot. See vial label for concentration. If unlisted please contact technical services.
Product Specifications
Immunogen
This antibody was developed against a recombinant protein corresponding to amino acids: LRQDQQSIILVNDSAILEVRKESHPLAFECDTLDNNEIVATIKFTVYTSSELQMRRSSLPA
Clonality
Polyclonal
Host
Rabbit
Isotype
IgG
Description
Novus Biologicals Rabbit SPACA1 Antibody - BSA Free (NBP2-38506) is a polyclonal antibody validated for use in IHC. All Novus Biologicals antibodies are covered by our 100% guarantee.
Scientific Data Images for SPACA1 Antibody - BSA Free
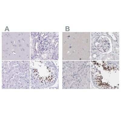
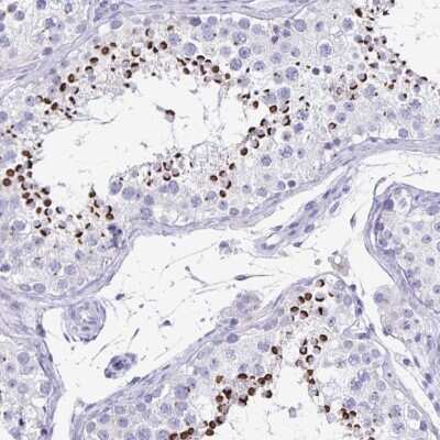
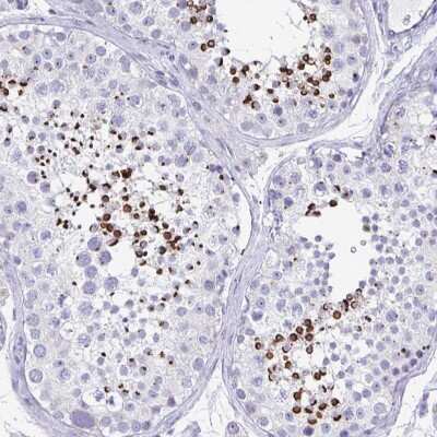
Immunohistochemistry-Paraffin: SPACA1 Antibody [NBP2-38506]
Immunohistochemistry-Paraffin: SPACA1 Antibody [NBP2-38506] - Staining of human Liver shows no positivity in hepatocytes as expected.Immunohistochemistry: SPACA1 Antibody [NBP2-38506]
Immunohistochemistry: SPACA1 Antibody [NBP2-38506] - Staining of human testis shows strong cytoplasmic positivity in subset of cells in seminiferus ducts.Immunohistochemistry-Paraffin: SPACA1 Antibody [NBP2-38506]
Immunohistochemistry-Paraffin: SPACA1 Antibody [NBP2-38506] - Staining of human endometrium shows low expression as expected.Applications for SPACA1 Antibody - BSA Free
Application
Recommended Usage
Immunohistochemistry
1:200 - 1:500
Immunohistochemistry-Paraffin
1:200 - 1:500
Application Notes
For IHC-Paraffin, HIER pH 6 retrieval is recommended.
Formulation, Preparation, and Storage
Purification
Affinity purified
Formulation
PBS (pH 7.2) and 40% Glycerol
Format
BSA Free
Preservative
0.02% Sodium Azide
Concentration
Concentrations vary lot to lot. See vial label for concentration. If unlisted please contact technical services.
Shipping
The product is shipped with polar packs. Upon receipt, store it immediately at the temperature recommended below.
Stability & Storage
Store at 4C short term. Aliquot and store at -20C long term. Avoid freeze-thaw cycles.
Background: SPACA1
Alternate Names
MGC32952, SAMP32, sperm acrosomal membrane-associated protein 32, sperm acrosome associated 1, sperm acrosome membrane-associated protein 1
Gene Symbol
SPACA1
UniProt
Additional SPACA1 Products
Product Documents for SPACA1 Antibody - BSA Free
Product Specific Notices for SPACA1 Antibody - BSA Free
This product is for research use only and is not approved for use in humans or in clinical diagnosis. Primary Antibodies are guaranteed for 1 year from date of receipt.
Loading...
Loading...
Loading...
Loading...