Skip to main content

SPACA1 Antibody - BSA Free

Novus Biologicals, part of Bio-Techne | Catalog # NBP1-80792

Novus Biologicals, part of Bio-Techne
Catalog #
Availability
Size / Price
Qty
Loading...
NBP1-80792
NBP1-80792-25ul

Key Product Details

Validated by

Orthogonal Validation, Independent Antibodies

Species Reactivity

Validated:

Human

Cited:

Human

Applications

Validated:

Immunohistochemistry, Immunohistochemistry-Paraffin, Western Blot

Cited:

Western Blot

Label

Unconjugated

Antibody Source

Polyclonal Rabbit IgG

Format

BSA Free

Concentration

Concentrations vary lot to lot. See vial label for concentration. If unlisted please contact technical services.

Product Specifications

Immunogen

This antibody was developed against Recombinant Protein corresponding to amino acids: REVILTNGCPGGESKCVVRVEECRGPTDCGWGKPISESLESVRLACIHTSPLNRFKYMWKL

Reactivity Notes

Immunogen displays the following percentage of sequence identity for non-tested species: Mouse (85%), Rat (89%)

Clonality

Polyclonal

Host

Rabbit

Isotype

IgG

Scientific Data Images for SPACA1 Antibody - BSA Free

Immunohistochemistry-Paraffin: SPACA1 Antibody [NBP1-80792]

Immunohistochemistry-Paraffin: SPACA1 Antibody [NBP1-80792]

Immunohistochemistry-Paraffin: SPACA1 Antibody [NBP1-80792] - Staining in human testis and endometrium tissues using anti-SPACA1 antibody. Corresponding SPACA1 RNA-seq data are presented for the same tissues.
Immunohistochemistry-Paraffin: SPACA1 Antibody [NBP1-80792]

Immunohistochemistry-Paraffin: SPACA1 Antibody [NBP1-80792]

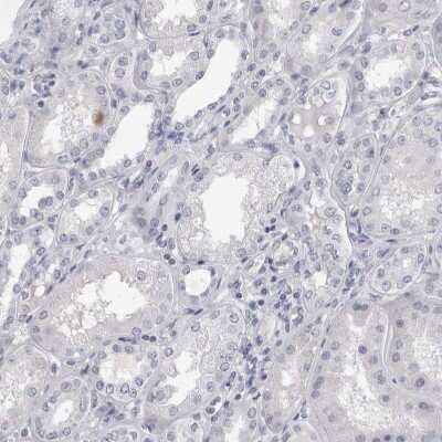
Immunohistochemistry-Paraffin: SPACA1 Antibody [NBP1-80792] - Staining of human cerebral cortex, kidney, liver and testis using Anti-SPACA1 antibody NBP1-80792 (A) shows similar protein distribution across tissues to independent antibody NBP2-38506 (B).
Western Blot: SPACA1 Antibody [NBP1-80792]

Western Blot: SPACA1 Antibody [NBP1-80792]

Western Blot: SPACA1 Antibody [NBP1-80792] - Analysis in control (vector only transfected HEK293T lysate) and SPACA1 over-expression lysate (Co-expressed with a C-terminal myc-DDK tag (3.1 kDa) in mammalian HEK293T cells).

Applications for SPACA1 Antibody - BSA Free

Application
Recommended Usage

Immunohistochemistry

1:200 - 1:500

Immunohistochemistry-Paraffin

1:200 - 1:500

Western Blot

0.04-0.4 ug/ml
Application Notes
For IHC-Paraffin, HIER pH 6 retrieval is recommended.

Formulation, Preparation, and Storage

Purification

Affinity purified

Formulation

PBS (pH 7.2) and 40% Glycerol

Format

BSA Free

Preservative

0.02% Sodium Azide

Concentration

Concentrations vary lot to lot. See vial label for concentration. If unlisted please contact technical services.

Shipping

The product is shipped with polar packs. Upon receipt, store it immediately at the temperature recommended below.

Stability & Storage

Store at 4C short term. Aliquot and store at -20C long term. Avoid freeze-thaw cycles.

Background: SPACA1

Alternate Names

MGC32952, SAMP32, sperm acrosomal membrane-associated protein 32, sperm acrosome associated 1, sperm acrosome membrane-associated protein 1

Entrez Gene IDs

81833 (Human)

Gene Symbol

SPACA1

UniProt

Additional SPACA1 Products

Product Documents for SPACA1 Antibody - BSA Free

Certificate of Analysis

To download a Certificate of Analysis, please enter a lot number in the search box below.

Product Specific Notices for SPACA1 Antibody - BSA Free

This product is for research use only and is not approved for use in humans or in clinical diagnosis. Primary Antibodies are guaranteed for 1 year from date of receipt.

Loading...
Loading...
Loading...
Loading...