Skip to main content

SP110 Antibody - BSA Free

Novus Biologicals, part of Bio-Techne | Catalog # NBP1-77316

Novus Biologicals, part of Bio-Techne

Key Product Details

Species Reactivity

Human, Mouse, Rat

Applications

Immunohistochemistry, Immunohistochemistry-Paraffin, Western Blot, ELISA, Immunocytochemistry/ Immunofluorescence

Label

Unconjugated

Antibody Source

Polyclonal Rabbit IgG

Format

BSA Free

Concentration

1 mg/ml

Product Specifications

Immunogen

Antibody was raised against a 15 amino acid synthetic peptide near the carboxy terminus of the human IPR1. The immunogen is located within amino acids 470 - 520 of IPR1. Amino Acid Squence: CIRNEDGTWLTPNEF

Clonality

Polyclonal

Host

Rabbit

Isotype

IgG

Description

Novus Biologicals Rabbit SP110 Antibody - BSA Free (NBP1-77316) is a polyclonal antibody validated for use in IHC, WB, ELISA and ICC/IF. All Novus Biologicals antibodies are covered by our 100% guarantee.

Scientific Data Images for SP110 Antibody - BSA Free

Western Blot: SP110 AntibodyBSA Free [NBP1-77316]

Western Blot: SP110 AntibodyBSA Free [NBP1-77316]

Western Blot: SP110 Antibody [NBP1-77316] - Hela cell lysate with SP110 antibody at (A) 0.5, (B) 1, and (C) 2 ug/ml.
SP110 Antibody - BSA Free

Immunocytochemistry/ Immunofluorescence: SP110 Antibody - BSA Free [NBP1-77316] -

Immunocytochemistry/ Immunofluorescence: SP110 Antibody - BSA Free [NBP1-77316] - Immunofluorescence of SP110 in Human Brain cells with SP110 antibody at 50 u/mL.
SP110 Antibody - BSA Free

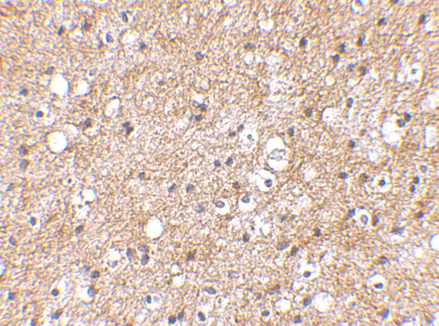
Immunohistochemistry: SP110 Antibody - BSA Free [NBP1-77316] -

Immunohistochemistry: SP110 Antibody - BSA Free [NBP1-77316] - Immunohistochemical staining of human brain tissue using SP110 antibody at 2.5 ug/mL.

Applications for SP110 Antibody - BSA Free

Application
Recommended Usage

ELISA

1:100-1:2000

Immunocytochemistry/ Immunofluorescence

20 ug/ml

Immunohistochemistry

2.5 ug/ml

Immunohistochemistry-Paraffin

2.5 ug/ml

Western Blot

0.5-2 ug/ml

Formulation, Preparation, and Storage

Purification

Peptide affinity purified

Formulation

PBS

Format

BSA Free

Preservative

0.02% Sodium Azide

Concentration

1 mg/ml

Shipping

The product is shipped with polar packs. Upon receipt, store it immediately at the temperature recommended below.

Stability & Storage

Store at 4C short term. Aliquot and store at -20C long term. Avoid freeze-thaw cycles.

Background: SP110

Susceptibility to tuberculosis (TB) in mice has recently been attributed to the IPR1 gene. IPR1 is a member of the SP100/SP140 family of nuclear body proteins and encodes a leukocyte-specific nuclear body component. The protein can function as an activator of gene transcription and may serve as a nuclear hormone receptor coactivator. Alternative splicing has been observed for this gene and three transcript variants, encoding distinct isoforms, have been identified. SP110 is the closest homolog of the IPR1 protein in humans. The IPR1/Sp110 gene product might play a role in integrating signals generated by intracellular pathogens with mechanisms controlling innate immunity, cell death, and pathogenesis. IPR1/Sp110 is up-regulated after infection with M. tuberculosis and required by Anaplasma phagocytophilum for infection of human promyelocytic cells. Defects in Sp110 are a cause of severely impaired resistance to infection by M. tuberculosis.

Alternate Names

FLJ22835, IFI41, IFI75, interferon-induced protein 41, 30kD, Interferon-induced protein 41/75, interferon-induced protein 75, 52kD, IPR1, phosphoprotein 41, phosphoprotein 75, SP110 nuclear body protein, Speckled 110 kDa, Transcriptional coactivator Sp110, VODI

Gene Symbol

SP110

Additional SP110 Products

Product Documents for SP110 Antibody - BSA Free

Certificate of Analysis

To download a Certificate of Analysis, please enter a lot number in the search box below.

Product Specific Notices for SP110 Antibody - BSA Free

This product is for research use only and is not approved for use in humans or in clinical diagnosis. Primary Antibodies are guaranteed for 1 year from date of receipt.

Loading...
Loading...
Loading...
Loading...