Skip to main content

SOX6 Antibody (CL5690) - BSA Free

Novus Biologicals, part of Bio-Techne | Catalog # NBP2-61423

Novus Biologicals, part of Bio-Techne
Catalog #
Availability
Size / Price
Qty
Loading...
NBP2-61423-25ul
NBP2-61423

Key Product Details

Validated by

Orthogonal Validation

Species Reactivity

Human

Applications

Immunohistochemistry, Immunohistochemistry-Paraffin, Immunocytochemistry/ Immunofluorescence

Label

Unconjugated

Antibody Source

Monoclonal Mouse IgG2B Clone # CL5690

Format

BSA Free

Concentration

Concentrations vary lot to lot. See vial label for concentration. If unlisted please contact technical services.

Product Specifications

Immunogen

This antibody was developed using a synthetic peptide derived from P35712, with the exact immunogen sequence remaining proprietary.

Reactivity Notes

Mouse (84%), Rat (89%).

Clonality

Monoclonal

Host

Mouse

Isotype

IgG2B

Description

Novus Biologicals Mouse SOX6 Antibody (CL5690) - BSA Free (NBP2-61423) is a monoclonal antibody validated for use in IHC and ICC/IF. All Novus Biologicals antibodies are covered by our 100% guarantee.

Scientific Data Images for SOX6 Antibody (CL5690) - BSA Free

SOX6 Antibody (CL5690)

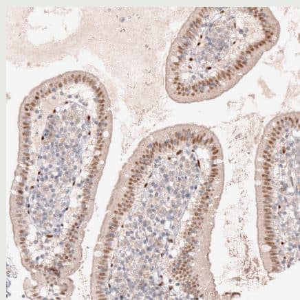
Immunohistochemistry-Paraffin: SOX6 Antibody (CL5690) [NBP2-61423] -

Immunohistochemistry-Paraffin: SOX6 Antibody (CL5690) [NBP2-61423] - Analysis in human small intestine and tonsil tissues using NBP2-61423 antibody. Corresponding SOX6 RNA-seq data are presented for the same tissues.
Immunocytochemistry/ Immunofluorescence: SOX6 Antibody (CL5690) [NBP2-61423]

Immunocytochemistry/ Immunofluorescence: SOX6 Antibody (CL5690) [NBP2-61423]

Immunocytochemistry/Immunofluorescence: SOX6 Antibody (CL5690) [NBP2-61423] - Staining of CACO-2 cells using the Anti-SOX6 monoclonal antibody, showing specific staining in the nucleoplasm in green. Microtubule- and nuclear probes are visualized in red and blue, respectively (where available). Antibody staining is shown in green.
Immunohistochemistry-Paraffin: SOX6 Antibody (CL5690) [NBP2-61423]

Immunohistochemistry-Paraffin: SOX6 Antibody (CL5690) [NBP2-61423]

Immunohistochemistry-Paraffin: SOX6 Antibody (CL5690) [NBP2-61423] - Staining of human tonsil shows no nuclear immunoreactivity in lymphoid cells as expected (negative control).

Applications for SOX6 Antibody (CL5690) - BSA Free

Application
Recommended Usage

Immunocytochemistry/ Immunofluorescence

2-10 ug/ml

Immunohistochemistry

1:200 - 1:500

Immunohistochemistry-Paraffin

1:200 - 1:500
Application Notes
For IHC-Paraffin, HIER pH 6 retrieval is recommended. ICC/IF Fixation Permeabilization: PFA/Triton X-100

Reviewed Applications

Read 1 review rated 3 using NBP2-61423 in the following applications:

Formulation, Preparation, and Storage

Purification

Protein A purified

Formulation

PBS (pH 7.2) and 40% Glycerol

Format

BSA Free

Preservative

0.02% Sodium Azide

Concentration

Concentrations vary lot to lot. See vial label for concentration. If unlisted please contact technical services.

Shipping

The product is shipped with polar packs. Upon receipt, store it immediately at the temperature recommended below.

Stability & Storage

Store at 4C short term. Aliquot and store at -20C long term. Avoid freeze-thaw cycles.

Background: SOX6

Sox genes comprise a family of genes that are related to the mammalian sex determining gene SRY. These genes similarly contain sequences that encode for the HMG-box domain, which is responsible for the sequence-specific DNA-binding activity. Sox genes encode putative transcriptional regulators implicated in the decision of cell fates during development and the control of diverse developmental processes. The highly complex group of Sox genes cluster at a minimum of 40 different loci that rapidly diverged in various animal lineages. At present 30 Sox genes have been identified, and members of this family have been shown to be conserved during evolution and to play key roles during animal development. Some are involved in human diseases, including sex reversal.

Long Name

SRY-related HMG-box 6

Alternate Names

SOXD

Gene Symbol

SOX6

Additional SOX6 Products

Product Documents for SOX6 Antibody (CL5690) - BSA Free

Certificate of Analysis

To download a Certificate of Analysis, please enter a lot number in the search box below.

Product Specific Notices for SOX6 Antibody (CL5690) - BSA Free

This product is for research use only and is not approved for use in humans or in clinical diagnosis. Primary Antibodies are guaranteed for 1 year from date of receipt.

Loading...
Loading...
Loading...
Loading...