SOX11 Antibody (CL0143)
Novus Biologicals, part of Bio-Techne | Catalog # NBP3-52090
Recombinant Monoclonal Antibody
Key Product Details
Species Reactivity
Human
Applications
Immunohistochemistry, Immunohistochemistry-Paraffin, Western Blot
Label
Unconjugated
Antibody Source
Recombinant Monoclonal Mouse IgG2A Clone # CL0143
Concentration
1 mg/ml
Product Specifications
Immunogen
This antibody was developed using a recombinant protein derived from P35716, with the exact immunogen sequence remaining proprietary.
Clonality
Monoclonal
Host
Mouse
Isotype
IgG2A
Scientific Data Images for SOX11 Antibody (CL0143)
Immunohistochemistry: SOX11 Antibody (CL0143) [NBP3-52090]
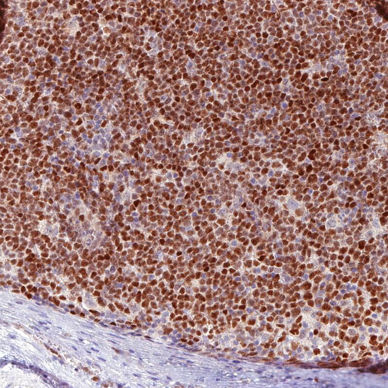
Staining of human mantle cell lymphoma shows moderate to strong nuclear positivity in tumor cells.Immunohistochemistry: SOX11 Antibody (CL0143) [NBP3-52090]
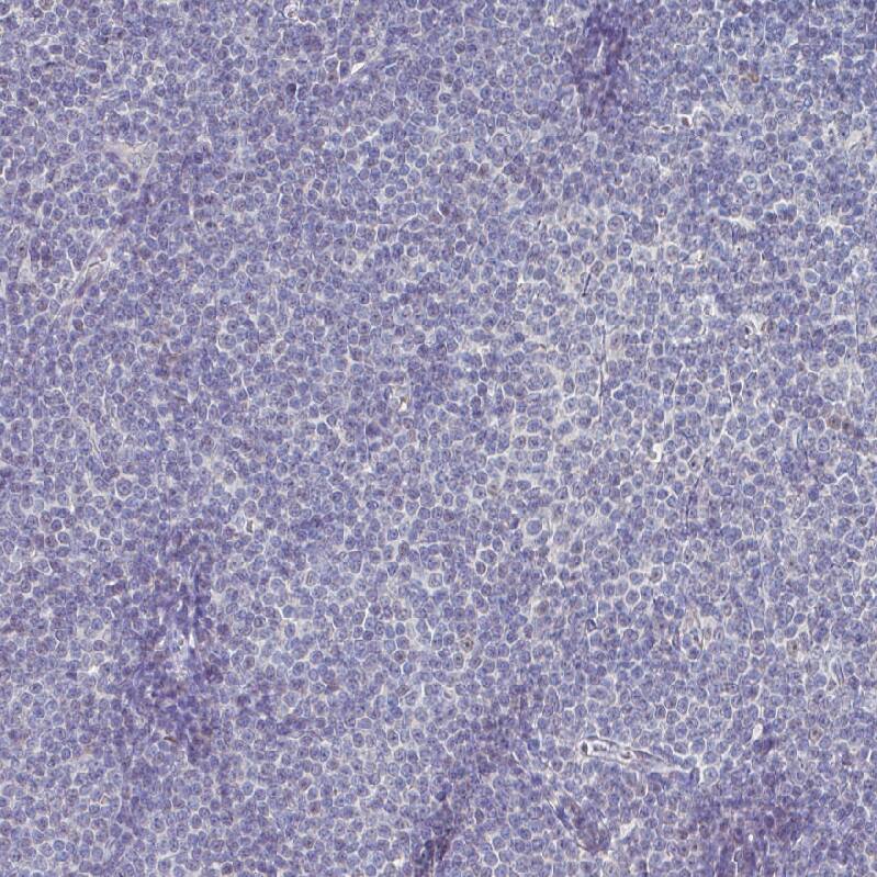
Staining of human chronic lymphocytic leukemia shows no nuclear positivity in tumor cells as expected.Western Blot: SOX11 Antibody (CL0143) [NBP3-52090]
Analysis in human brain tissue.Applications for SOX11 Antibody (CL0143)
Application
Recommended Usage
Immunohistochemistry
1:50-1:200
Immunohistochemistry-Paraffin
1:50-1:200
Western Blot
1 ug/ml
Application Notes
For IHC-Paraffin, HIER pH 6 retrieval is recommended.
Formulation, Preparation, and Storage
Purification
Protein A purified
Formulation
PBS, pH 7.2, 40% glycerol
Preservative
0.02% Sodium Azide
Concentration
1 mg/ml
Shipping
The product is shipped with polar packs. Upon receipt, store it immediately at the temperature recommended below.
Stability & Storage
Store at 4C short term. Aliquot and store at -20C long term. Avoid freeze-thaw cycles.
Background: SOX11
Long Name
Transcription Factor SRY (Sex Determining Region Y)-box 11
Alternate Names
SRY (sex determining region Y)-box 11, SRY (sex-determining region Y)-box 11, SRY-related HMG-box gene 11, transcription factor SOX-11
Gene Symbol
SOX11
Additional SOX11 Products
Product Documents for SOX11 Antibody (CL0143)
Product Specific Notices for SOX11 Antibody (CL0143)
This product is for research use only and is not approved for use in humans or in clinical diagnosis. Primary Antibodies are guaranteed for 1 year from date of receipt.
Loading...
Loading...
Loading...
Loading...