Skip to main content

Somatostatin R5/SSTR5 Antibody (4O6N5)

Novus Biologicals, part of Bio-Techne | Catalog # NBP3-16682

Recombinant Monoclonal Antibody
Novus Biologicals, part of Bio-Techne
Catalog #
Availability
Size / Price
Qty
Loading...
NBP3-16682-100ul
NBP3-16682-20ul

Key Product Details

Species Reactivity

Human, Mouse, Rat

Applications

Immunohistochemistry, Immunohistochemistry-Paraffin, Western Blot, ELISA

Label

Unconjugated

Antibody Source

Recombinant Monoclonal Rabbit IgG Clone # 4O6N5 expressed in HEK293

Concentration

Please see the vial label for concentration. If unlisted please contact technical services.

Product Specifications

Immunogen

A synthetic peptide corresponding to a sequence within amino acids 1-100 of human Somatostatin R5/SSTR5 (P35346). MEPLFPASTPSWNASSPGAASGGGDNRTLVGPAPSAGARAVLVPVLYLLVCAAGLGGNTLVIYVVLRFAKMKTVTNIYILNLAVADVLYMLGLPFLATQN

Clonality

Monoclonal

Host

Rabbit

Isotype

IgG

Theoretical MW

39 kDa.
Disclaimer note: The observed molecular weight of the protein may vary from the listed predicted molecular weight due to post translational modifications, post translation cleavages, relative charges, and other experimental factors.

Description

Novus Biologicals Rabbit Somatostatin R5/SSTR5 Antibody (4O6N5) (NBP3-16682) is a recombinant monoclonal antibody validated for use in IHC, WB and ELISA. All Novus Biologicals antibodies are covered by our 100% guarantee.

Scientific Data Images for Somatostatin R5/SSTR5 Antibody (4O6N5)

Western Blot: Somatostatin R5/SSTR5 Antibody (4O6N5) [NBP3-16682]

Western Blot: Somatostatin R5/SSTR5 Antibody (4O6N5) [NBP3-16682]

Western Blot: Somatostatin R5/SSTR5 Antibody (4O6N5) [NBP3-16682] - Analysis of extracts of various cell lines, using Somatostatin R5/SSTR5 Rabbit mAb (NBP3-16682) at 1:1000 dilution. Secondary antibody: HRP Goat Anti-Rabbit IgG (H+L) at 1:10000 dilution. Lysates/proteins: 25ug per lane. Blocking buffer: 3% nonfat dry milk in TBST. Detection: ECL Basic Kit. Exposure time: 3s.
Somatostatin R5/SSTR5 Antibody (4O6N5)

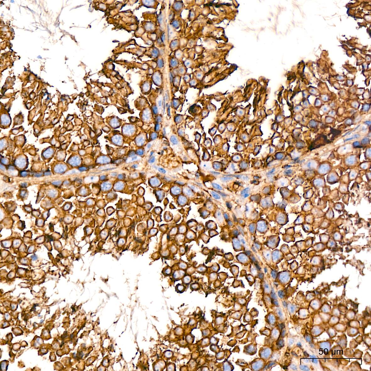
Immunohistochemistry: Somatostatin R5/SSTR5 Antibody (4O6N5) [NBP3-16682] -

Immunohistochemistry: Somatostatin R5/SSTR5 Antibody (4O6N5) [NBP3-16682] - Immunohistochemistry analysis of Somatostatin R5/SSTR5 in paraffin-embedded human liver cancer tissue using Somatostatin R5/SSTR5 Rabbit mAb at a dilution of 1:800 (40x lens). High pressure antigen retrieval was performed with 0.01 M citrate buffer (pH 6.0) prior to IHC staining.
Somatostatin R5/SSTR5 Antibody (4O6N5)

Immunohistochemistry: Somatostatin R5/SSTR5 Antibody (4O6N5) [NBP3-16682] -

Immunohistochemistry: Somatostatin R5/SSTR5 Antibody (4O6N5) [NBP3-16682] - Immunohistochemistry analysis of Somatostatin R5/SSTR5 in paraffin-embedded rat spleen tissue using Somatostatin R5/SSTR5 Rabbit mAb at a dilution of 1:800 (40x lens). High pressure antigen retrieval was performed with 0.01 M citrate buffer (pH 6.0) prior to IHC staining.

Applications for Somatostatin R5/SSTR5 Antibody (4O6N5)

Application
Recommended Usage

Immunohistochemistry

1:500 - 1:1000

Immunohistochemistry-Paraffin

1:500 - 1:1000

Western Blot

1:500 - 1:2000

Formulation, Preparation, and Storage

Purification

Affinity purified

Formulation

PBS (pH 7.3), 50% glycerol, 0.05% BSA

Preservative

0.02% Sodium Azide

Concentration

Please see the vial label for concentration. If unlisted please contact technical services.

Shipping

The product is shipped with polar packs. Upon receipt, store it immediately at the temperature recommended below.

Stability & Storage

Store at -20C. Avoid freeze-thaw cycles.

Background: Somatostatin R5/SSTR5

Official Gene Symbol: SSTR5 Gen Bank Accession Number: NP_001044 Gene ID: 6755 (human) Gene Map Locus: 16p13.3 (human) Somatostatin is a multifunctional protein affecting exocrine and endocrine protein secretion, neurotransmission, and neuronal modulation and regulating cell proliferation. All these functions of Somatostatin are executed through a class of GPCR protein family members called somatostatin receptor. Till date, 6 classes of somatostatin receptors have been discovered out of which SSTR5, 364A.A protein, is a receptor subtype expressed predominantly in the pituitary and hypothalamus region of brain. Studies revealed that SSTR5 contains seven transmembrane regions and undergoes homodimerization and also heterodimerizes with SSTR1. Although the specific functions of SSTR5 are still elusive, the studies indicate that it complements SSTR2 regulation of ACTH secretion. Polymorphisms in SSTR5 gene have been observed in patients with acromegaly.

Long Name

Somatostatin Receptor Type 5

Alternate Names

SomatostatinR5, SST5, SSTR5

Gene Symbol

SSTR5

Additional Somatostatin R5/SSTR5 Products

Product Documents for Somatostatin R5/SSTR5 Antibody (4O6N5)

Certificate of Analysis

To download a Certificate of Analysis, please enter a lot number in the search box below.

Product Specific Notices for Somatostatin R5/SSTR5 Antibody (4O6N5)

This product is for research use only and is not approved for use in humans or in clinical diagnosis. Primary Antibodies are guaranteed for 1 year from date of receipt.

Loading...
Loading...
Loading...
Loading...