Skip to main content

Sodium Potassium ATPase Alpha 3 Antibody (XVIF9-G10) - BSA Free

Novus Biologicals, part of Bio-Techne | Catalog # NB300-540

Novus Biologicals, part of Bio-Techne
Catalog #
Availability
Size / Price
Qty
Loading...
NB300-540SS
NB300-540

Key Product Details

Species Reactivity

Validated:

Human, Mouse, Rat, Bovine, Canine, Guinea Pig, Primate, Rabbit, Sheep

Cited:

Human, Mouse

Applications

Validated:

Immunohistochemistry, Immunohistochemistry-Paraffin, Immunohistochemistry-Frozen, Western Blot, Block/Neutralize, Flow Cytometry, Immunocytochemistry/ Immunofluorescence, Simple Western, Single Cell Western

Cited:

Immunohistochemistry-Frozen, Western Blot, Flow Cytometry, Immunocytochemistry/ Immunofluorescence, IF/IHC

Label

Unconjugated

Antibody Source

Monoclonal Mouse IgG1 Clone # XVIF9-G10

Format

BSA Free

Concentration

1 mg/ml

Product Specifications

Immunogen

Canine cardiac microsomes.

Reactivity Notes

Please note that this antibody is reactive to Mouse and derived from the same host, Mouse. Additional Mouse on Mouse blocking steps may be required for IHC and ICC experiments. Please contact Technical Support for more information.

Specificity

Detects sodium / potassium ATPase. This is specific for the alpha-3 subunit.

Marker

Plasma Membrane Marker

Clonality

Monoclonal

Host

Mouse

Isotype

IgG1

Theoretical MW

111.749 kDa.
Disclaimer note: The observed molecular weight of the protein may vary from the listed predicted molecular weight due to post translational modifications, post translation cleavages, relative charges, and other experimental factors.

Description

Novus Biologicals Mouse Sodium Potassium ATPase Alpha 3 Antibody (XVIF9-G10) - BSA Free (NB300-540) is a monoclonal antibody validated for use in IHC, WB, Flow, ICC/IF and Simple Western. Anti-Sodium Potassium ATPase Alpha 3 Antibody: Cited in 18 publications. All Novus Biologicals antibodies are covered by our 100% guarantee.

Scientific Data Images for Sodium Potassium ATPase Alpha 3 Antibody (XVIF9-G10) - BSA Free

Immunocytochemistry/ Immunofluorescence: Sodium Potassium ATPase Alpha 3 Antibody (XVIF9-G10) - BSA Free [NB300-540]

Immunocytochemistry/ Immunofluorescence: Sodium Potassium ATPase Alpha 3 Antibody (XVIF9-G10) - BSA Free [NB300-540]

Immunocytochemistry/Immunofluorescence: Sodium Potassium ATPase Alpha 3 Antibody (XVIF9-G10) [NB300-540] - Sodium/Potassium ATPase alpha-3 staining (green), F-Actin staining with Phalloidin (red) and nuclei with DAPI (blue) in U251 glioma cells is shown. Cells were grown on chamber slides and fixed with formaldehyde prior to staining. Cells were probed without (control) or with or an antibody recognizing Sodium/Potassium ATPase alpha-3 at a dilution of 1:20 over night at 4C, washed with PBS and incubated with a DyLight-488 conjugated.
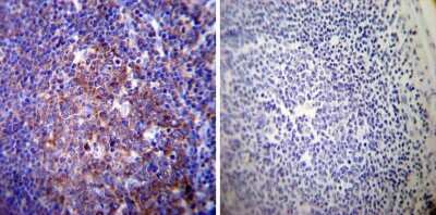
Immunohistochemistry-Paraffin: Sodium Potassium ATPase Alpha 3 Antibody (XVIF9-G10) - BSA Free [NB300-540]

Immunohistochemistry-Paraffin: Sodium Potassium ATPase Alpha 3 Antibody (XVIF9-G10) - BSA Free [NB300-540]

Immunohistochemistry-Paraffin: Sodium Potassium ATPase Alpha 3 Antibody (XVIF9-G10) [NB300-540] - Both normal and cancer biopsies of deparaffinized Human prostate carcinoma tissues.
Immunocytochemistry/ Immunofluorescence: Sodium Potassium ATPase Alpha 3 Antibody (XVIF9-G10) - BSA Free [NB300-540]

Immunocytochemistry/ Immunofluorescence: Sodium Potassium ATPase Alpha 3 Antibody (XVIF9-G10) - BSA Free [NB300-540]

Immunocytochemistry/Immunofluorescence: Sodium Potassium ATPase Alpha 3 Antibody (XVIF9-G10) [NB300-540] - Analysis of Sodium/Potassium ATPase alpha-3 using Sodium/Potassium ATPase alpha-3 Monoclonal antibody (XVIF9-G10) shows staining in C6 glioma cells. Sodium/Potassium ATPase alpha-3 staining (green), F-Actin staining with Phalloidin (red) and nuclei with DAPI (blue) is shown. Cells were grown on chamber slides and fixed with formaldehyde prior to staining. Cells were probed without (control) or with or an antibody recognizing Sodium/Potassium ATPase alpha-3 at a dilution of 1:20 over night at 4C, washed with PBS and incubated with a DyLight-488 conjugated.

Applications for Sodium Potassium ATPase Alpha 3 Antibody (XVIF9-G10) - BSA Free

Application
Recommended Usage

Flow Cytometry

1 ug / 10^6 cells

Immunocytochemistry/ Immunofluorescence

5 ug/mL

Immunohistochemistry

1:10 - 1:500

Immunohistochemistry-Frozen

3 ug/mL

Immunohistochemistry-Paraffin

1:10 - 1:500

Simple Western

1:100

Single Cell Western

100 ug/mL

Western Blot

1 ug/mL
Application Notes
May be useful in WB, IF, and IHC-Fr. WB: Detects an approx. 110 kDa protein representing the alpha-3 subunit of the sodium/potassium ATPase from canine skeletal muscle extract. IHC: Staining of sodium / potassium ATPase in rat retina yields a pattern consistent with plasma membrane localization.

In Simple Western only 10 - 15 uL of the recommended dilution is used per data point.
See Simple Western Antibody Database for Simple Western validation: Tested in Human Brain lysate 0.5 mg/mL, separated by Size, antibody dilution of 1:100, apparent MW was 136 kDa. Separated by Size-Wes, Sally Sue/Peggy Sue.
Single Cell Western validated using live primary humna cortical neurons.

Reviewed Applications

Read 2 reviews rated 4 using NB300-540 in the following applications:

Formulation, Preparation, and Storage

Purification

Protein A purified

Formulation

0.02 M potassium phosphate (pH 7.2), 0.15 M NaCl

Format

BSA Free

Preservative

0.05% Sodium Azide

Concentration

1 mg/ml

Shipping

The product is shipped with polar packs. Upon receipt, store it immediately at the temperature recommended below.

Stability & Storage

Store at -20C. Avoid freeze-thaw cycles.

Background: Sodium Potassium ATPase Alpha 3

The sodium/potassium ATPase is an integral membrane enzyme found in all cells of higher organisms and is responsible for the ATP-dependent transport of sodium and potassium across the cell membrane. This membrane-bound enzyme is related to a number of other ATPases including sarcoplasmic and endoplasmic reticulum calcium ATPase (SERCA) and plasma membrane calcium ATPase (PMCA). The sodium/potassium ATPase consists of a large, multipass, transmembrane catalytic subunit, termed the alpha subunit, and an associated smaller glycoprotein, termed the beta subunit. Studies indicate that there are three isoforms of the alpha subunit (alpha 1, alpha 2, alpha 3) and two isoforms of the beta subunit (beta 1 and beta 2) encoded by two multigene families. The different isoforms of the sodium/potassium ATPase exhibit tissue-specific and developmental patterns of expression. The alpha 1 and beta mRNAs are present in all cell types examined, whereas the alpha 2 and alpha 3 mRNAs exhibit a more restricted pattern of cell-specific expression. The alpha-3 subunit has been found in neuronal and to skeletal and cardiac muscle, lung and stomach tissues.

Long Name

Sodium/potassium-transporting ATPase subunit alpha-3

Alternate Names

ATP1A3

Entrez Gene IDs

478 (Human); 232975 (Mouse); 24213 (Rat)

Gene Symbol

ATP1A3

UniProt

Additional Sodium Potassium ATPase Alpha 3 Products

Product Documents for Sodium Potassium ATPase Alpha 3 Antibody (XVIF9-G10) - BSA Free

Certificate of Analysis

To download a Certificate of Analysis, please enter a lot number in the search box below.

Product Specific Notices for Sodium Potassium ATPase Alpha 3 Antibody (XVIF9-G10) - BSA Free

This product is for research use only and is not approved for use in humans or in clinical diagnosis. Primary Antibodies are guaranteed for 1 year from date of receipt.

Loading...
Loading...
Loading...
Loading...
Loading...