Skip to main content

SOD3/EC-SOD Antibody - BSA Free

Novus Biologicals, part of Bio-Techne | Catalog # NBP2-38493

Novus Biologicals, part of Bio-Techne
Catalog #
Availability
Size / Price
Qty
Loading...
NBP2-38493-25ul
NBP2-38493

Key Product Details

Species Reactivity

Human

Applications

Immunohistochemistry, Immunohistochemistry-Paraffin, Western Blot

Label

Unconjugated

Antibody Source

Polyclonal Rabbit IgG

Format

BSA Free

Concentration

Concentrations vary lot to lot. See vial label for concentration. If unlisted please contact technical services.

Product Specifications

Immunogen

This antibody was developed against a recombinant protein corresponding to amino acids: WTGEDSAEPNSDSAEWIRDMYAKVTEIWQEVMQRRDDDGTLHAACQVQPSATLDAAQPRVTGVVLFRQLAPRAKLDAFFALEGFPTEPNSSSRAIHVHQFG

Clonality

Polyclonal

Host

Rabbit

Isotype

IgG

Scientific Data Images for SOD3/EC-SOD Antibody - BSA Free

Western Blot: SOD3/EC-SOD Antibody [NBP2-38493]

Western Blot: SOD3/EC-SOD Antibody [NBP2-38493]

Western Blot: SOD3/EC-SOD Antibody [NBP2-38493] - Lane 1: Marker [kDa] 250, 130, 95, 72, 55, 36, 28, 17, 10. Lane 2: Human cell line RT-4. Lane 3: Human cell line U-251MG. Lane 4: Human Plasma. Lane 5: Human liver tissue. Lane 6: Human tonsil tissue
Immunohistochemistry-Paraffin: SOD3/EC-SOD Antibody [NBP2-38493]

Immunohistochemistry-Paraffin: SOD3/EC-SOD Antibody [NBP2-38493]

Immunohistochemistry-Paraffin: SOD3/EC-SOD Antibody [NBP2-38493] - Staining of human skeletal muscle shows no positivity in myocytes as expected.
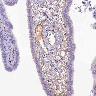
Immunohistochemistry-Paraffin: SOD3/EC-SOD Antibody [NBP2-38493]

Immunohistochemistry-Paraffin: SOD3/EC-SOD Antibody [NBP2-38493]

Immunohistochemistry-Paraffin: SOD3/EC-SOD Antibody [NBP2-38493] - Staining of human fallopian tube shows moderate to strong positivity in extracellular space.

Applications for SOD3/EC-SOD Antibody - BSA Free

Application
Recommended Usage

Immunohistochemistry

1:50 - 1:200

Immunohistochemistry-Paraffin

1:50 - 1:200

Western Blot

0.04-0.4 ug/ml
Application Notes
For IHC-Paraffin, HIER pH 6 retrieval is recommended.

Formulation, Preparation, and Storage

Purification

Affinity purified

Formulation

PBS (pH 7.2) and 40% Glycerol

Format

BSA Free

Preservative

0.02% Sodium Azide

Concentration

Concentrations vary lot to lot. See vial label for concentration. If unlisted please contact technical services.

Shipping

The product is shipped with polar packs. Upon receipt, store it immediately at the temperature recommended below.

Stability & Storage

Store at 4C short term. Aliquot and store at -20C long term. Avoid freeze-thaw cycles.

Background: SOD3/EC-SOD

FUNCTION: Destroys radicals which are normally produced within the cells and which are toxic to biological systems. CATALYTIC ACTIVITY: 2 superoxide + 2 H+ = O2 + H2O2. COFACTOR: Binds 1 copper ion per subunit. COFACTOR: Binds 1 zinc ion per subunit. SUBUNIT: Homotetramer. SUBCELLULAR LOCATION: Secreted protein; extracellular space. Note=99% of EC-SOD is anchored to heparan sulfate proteoglycans in the tissue interstitium, and 1% is located in the vasculature in quilibrium between the plasma and the endothelium. TISSUE SPECIFICITY: Major SOD isoenzyme in extracellular fluids such as plasma, lymph and synovial fluid. POLYMORPHISM: The variant Gly-231 which is found in about 2.2% of individual displays a 10-fold increased plasma EC-SOD content due to reduced heparin-binding affinity and thus the impairment of its binding ability to endothelial cell surface. SIMILARITY: Belongs to the Cu-Zn superoxide dismutase family.

Long Name

Superoxide Dismutase-3

Alternate Names

EC-SOD, ECSOD

Gene Symbol

SOD3

UniProt

Additional SOD3/EC-SOD Products

Product Documents for SOD3/EC-SOD Antibody - BSA Free

Certificate of Analysis

To download a Certificate of Analysis, please enter a lot number in the search box below.

Product Specific Notices for SOD3/EC-SOD Antibody - BSA Free

This product is for research use only and is not approved for use in humans or in clinical diagnosis. Primary Antibodies are guaranteed for 1 year from date of receipt.

Loading...
Loading...
Loading...
Loading...