Skip to main content

SOD2/Mn-SOD Antibody - BSA Free

Novus Biologicals, part of Bio-Techne | Catalog # NB100-1992

Novus Biologicals, part of Bio-Techne
Catalog #
Availability
Size / Price
Qty
Loading...
NB100-1992
NB100-1992SS

Key Product Details

Validated by

Biological Validation

Species Reactivity

Validated:

Human, Mouse, Rat, Porcine, Bovine, Canine, Chicken, Drosophila, Goat, Guinea Pig, Hamster, Monkey, Rabbit, Sheep, Squirrel, Xenopus

Cited:

Human, Mouse, Rat, Avian - Chicken, Goat, Hamster, Insect - Drosophila, Ovine, Rabbit

Applications

Validated:

Immunohistochemistry, Immunohistochemistry-Paraffin, Western Blot, ELISA, Immunocytochemistry/ Immunofluorescence, Simple Western, Immunoprecipitation

Cited:

Immunohistochemistry-Paraffin, Western Blot, Immunocytochemistry/ Immunofluorescence, IF/IHC

Label

Unconjugated

Antibody Source

Polyclonal Rabbit IgG

Format

BSA Free

Concentration

1.0 mg/ml

Product Specifications

Immunogen

Recombinant Rat Mn SOD Protein

Reactivity Notes

Goat reactivity reported in scientific literature (PMID: 28797922). Reacts with Ciona intestinalis (Sea squirt).

Localization

Mitochondrial matrix

Specificity

Detects 25 kDa protein, corresponding to the molecular mass of Mn superoxide dismutase (SOD) on SDS-PAGE immunoblots.

Clonality

Polyclonal

Host

Rabbit

Isotype

IgG

Description

Novus Biologicals Rabbit SOD2/Mn-SOD Antibody - BSA Free (NB100-1992) is a polyclonal antibody validated for use in IHC, WB, ELISA, ICC/IF, Simple Western and IP. Anti-SOD2/Mn-SOD Antibody: Cited in 42 publications. All Novus Biologicals antibodies are covered by our 100% guarantee.

Scientific Data Images for SOD2/Mn-SOD Antibody - BSA Free

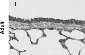
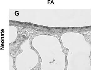
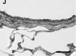
Immunohistochemistry: SOD2/Mn-SOD Antibody [NB100-1992]

Immunohistochemistry: SOD2/Mn-SOD Antibody [NB100-1992]

SOD2-Mn-SOD-Antibody-Immunohistochemistry-NB100-1992-img0013.jpg
Immunocytochemistry/ Immunofluorescence: SOD2/Mn-SOD Antibody [NB100-1992]

Immunocytochemistry/ Immunofluorescence: SOD2/Mn-SOD Antibody [NB100-1992]

Immunocytochemistry/Immunofluorescence: SOD2/Mn-SOD Antibody [NB100-1992] - Analysis using Rabbit Anti-SOD (Mn) Polyclonal Antibody. Tissue: HeLa Cells. Species: Human. Fixation: 2% Formaldehyde for 20 min at RT. Primary Antibody: Rabbit Anti-SOD (Mn) Polyclonal Antibody at 1:120 for 12 hours at 4 degrees C. Secondary Antibody: R-PE Goat Anti-Rabbit (yellow) at 1:200 for 120 min at RT. Counterstain: DAPI (blue) nuclear stain at 1:40000 for 120 min at RT. Localization: Mitochondrion matrix. Magnification: 100x. (A) DAPI (blue) nuclear stain. (B) Anti-SOD (Mn) Antibody. (C) Composite.
Western Blot: SOD2/Mn-SOD Antibody [NB100-1992]

Western Blot: SOD2/Mn-SOD Antibody [NB100-1992]

Western Blot: SOD2/Mn-SOD Antibody [NB100-1992] - Western blot analysis of Rat Tissue lysates showing detection of SOD2/Mn-SOD protein using Rabbit Anti-SOD2/Mn-SOD Polyclonal Antibody (NB100-1992). Load: 15 ugprotein. Block: 1.5% BSA for 30 minutes at RT. Primary Antibody: Rabbit Anti-SOD2/Mn-SOD Polyclonal Antibody (NB100-1992) at 1:1000 for 2 hours at RT. Secondary Antibody: Donkey Anti-Rabbit IgG: HRP for 1 hour at RT.

Applications for SOD2/Mn-SOD Antibody - BSA Free

Application
Recommended Usage

ELISA

1:100-1:2000

Immunocytochemistry/ Immunofluorescence

1:120

Immunohistochemistry

1:100

Immunohistochemistry-Paraffin

1:10-1:500

Immunoprecipitation

1:10-1:500

Simple Western

Validated for Simple Western from a verified customer review.

Western Blot

1:5000

Reviewed Applications

Read 2 reviews rated 5 using NB100-1992 in the following applications:

Formulation, Preparation, and Storage

Purification

Immunogen affinity purified

Formulation

PBS (pH 7.4), 50% Glycerol

Format

BSA Free

Preservative

0.09% Sodium Azide

Concentration

1.0 mg/ml

Shipping

The product is shipped with polar packs. Upon receipt, store it immediately at the temperature recommended below.

Stability & Storage

Store at -20C. Avoid freeze-thaw cycles.

Background: SOD2/Mn-SOD

Superoxide dismutase (SOD) is responsible for the elimination of cytotoxic active oxygen by catalyzing the dismutation of the superoxide radical to oxygen and hydrogen peroxide (1, 2, 3). There are three SOD isoenzymes in mammalian cells. They are: extracellular SOD (EC SOD), copper and zinc-containing SOD (CuZn SOD) and manganese-containing SOD (Mn SOD, SOD-2). The CuZn form contains Cu and Zn ions and exists as a 32 kDa dimer in the cytosol. Mn SOD is an 80 kDa tetramer that contains Mn ion and resides in the mitochondrial matrix. Mn SOD is a tumor necrosis factor (TNF)-inducible enzyme that protects cells from NFmediated apoptosis (4) via superoxide anion detoxification and the subsequent regulation of apoptosis through cytochrome c release and the modulation of the redox state of the mitochondria (6). Mn SOD has also been shown to be a tumor suppressor in human breast cancer (7). Overexpression of this enzyme protects neurons from NMDAand nitric oxide-induced neurotoxicity.

Long Name

Superoxide Dismutase-2

Alternate Names

IPO-B, Mn SOD, MnSOD, SOD, Mitochodrial

Entrez Gene IDs

6648 (Human); 20656 (Mouse); 24787 (Rat)

Gene Symbol

SOD2

UniProt

Additional SOD2/Mn-SOD Products

Product Documents for SOD2/Mn-SOD Antibody - BSA Free

Certificate of Analysis

To download a Certificate of Analysis, please enter a lot number in the search box below.

Product Specific Notices for SOD2/Mn-SOD Antibody - BSA Free

This product is for research use only and is not approved for use in humans or in clinical diagnosis. Primary Antibodies are guaranteed for 1 year from date of receipt.

Loading...
Loading...
Loading...
Loading...
Loading...