SOD1/Cu-Zn SOD Antibody - BSA Free
Novus Biologicals, part of Bio-Techne | Catalog # NBP2-24915
![Western Blot: SOD1/Cu-Zn SOD Antibody [NBP2-24915] Western Blot: SOD1/Cu-Zn SOD Antibody [NBP2-24915]](https://resources.bio-techne.com/images/products/SOD1-Cu-Zn-SOD-Antibody-Western-Blot-NBP2-24915-img0006.jpg) 
      Conjugate
              Catalog #
              
            Key Product Details
Species Reactivity
Validated:
                  Human, Mouse, Rat, Bovine
                
                                                        Cited:
                  Human, Mouse, Rat
                
                                                              Applications
Validated:
                  Immunohistochemistry, Immunohistochemistry-Paraffin, Western Blot
                
                                                                                          Cited:
                  Immunohistochemistry-Paraffin, Western Blot
                
                                    Label
            Unconjugated
          
        Antibody Source
            Polyclonal Rabbit IgG
          
        Format
            BSA Free
          
        Concentration
            1.0 mg/ml
          
        Product Specifications
Immunogen
                          The superoxide dismutase enzyme from bovine erythrocytes (CAS # 9054-89-1) was used as the immunogen.
                      
        Clonality
                          Polyclonal
                      
        Host
                          Rabbit
                      
        Isotype
                          IgG
                      
        Description
                          Novus Biologicals Rabbit SOD1/Cu-Zn SOD Antibody - BSA Free (NBP2-24915) is a polyclonal antibody validated for use in IHC and WB. Anti-SOD1/Cu-Zn SOD Antibody: Cited in 20 publications. All Novus Biologicals antibodies are covered by our 100% guarantee.
                      
        Scientific Data Images for SOD1/Cu-Zn SOD Antibody - BSA Free
Western Blot: SOD1/Cu-Zn SOD Antibody [NBP2-24915]
Western Blot: SOD1/Cu-Zn SOD Antibody [NBP2-24915] - Bovine ocular fluid. Antibody at 1:1000. Western blot image submitted by a verified customer review.Immunohistochemistry-Paraffin: SOD1/Cu-Zn SOD Antibody [NBP2-24915]
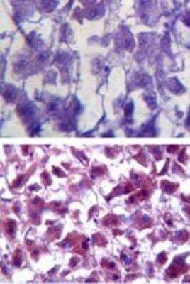
Immunohistochemistry-Paraffin: SOD1/Cu-Zn SOD Antibody [NBP2-24915] - Analysis of Superoxide Dismutase 1 in FFPE human liver tissue using an isotype control (top) and NBP2-24915 (bottom) at 5 ug/ml.Western Blot: SOD1/Cu-Zn SOD Antibody [NBP2-24915]
Western Blot: SOD1/Cu-Zn SOD Antibody [NBP2-24915] - Analysis of SOD in liver lysate of 1) human, 2) mouse, and 3) rat using this antibody. 025 ug/ml.Applications for SOD1/Cu-Zn SOD Antibody - BSA Free
          Application
        
        
          Recommended Usage
        
      Immunohistochemistry
                                                1:200
                                                            
                  Immunohistochemistry-Paraffin
                                                1:200
                                                            
                  Western Blot
                                                1 - 2 ug/ml
                                                            
                  Reviewed Applications
Read 3 reviews rated 5 using NBP2-24915 in the following applications:
Formulation, Preparation, and Storage
Purification
                          Immunogen affinity purified
                      
        Formulation
                          PBS
                      
        Format
                          BSA Free
                      
        Preservative
                          0.02% Sodium Azide
                      
        Concentration
                          1.0 mg/ml
                      
        Shipping
                          The product is shipped with polar packs. Upon receipt, store it immediately at the temperature recommended below.
                      
        Stability & Storage
                          Store at 4C short term. Aliquot and store at -20C long term. Avoid freeze-thaw cycles.
                      
        Background: SOD1/Cu-Zn SOD
Long Name
            Superoxide Dismutase-1
          
        Alternate Names
            Cu-Zn SOD, CuZn SOD, Ipo1, IPOA, SOD, cytosolic, SOD, Soluble
          
        Gene Symbol
            SOD1
          
        UniProt
Additional SOD1/Cu-Zn SOD Products
Product Documents for SOD1/Cu-Zn SOD Antibody - BSA Free
Product Specific Notices for SOD1/Cu-Zn SOD Antibody - BSA Free
This product is for research use only and is not approved for use in humans or in clinical diagnosis. Primary Antibodies are guaranteed for 1 year from date of receipt.
    Loading...
  
    Loading...
  
    Loading...
  
Loading...
![Immunohistochemistry-Paraffin: SOD1/Cu-Zn SOD Antibody [NBP2-24915] Immunohistochemistry-Paraffin: SOD1/Cu-Zn SOD Antibody [NBP2-24915]](https://resources.bio-techne.com/images/products/SOD1-Cu-Zn-SOD-Antibody-Immunohistochemistry-Paraffin-NBP2-24915-img0003.jpg) 
              ![Western Blot: SOD1/Cu-Zn SOD Antibody [NBP2-24915] Western Blot: SOD1/Cu-Zn SOD Antibody [NBP2-24915]](https://resources.bio-techne.com/images/products/SOD1-Cu-Zn-SOD-Antibody-Western-Blot-NBP2-24915-img0004.jpg) 
              ![Western Blot: SOD1/Cu-Zn SOD Antibody [NBP2-24915] Western Blot: SOD1/Cu-Zn SOD Antibody [NBP2-24915]](https://resources.bio-techne.com/images/products/SOD1-Cu-Zn-SOD-Antibody-Western-Blot-NBP2-24915-img0005.jpg)