Skip to main content

Snx6 Antibody - BSA Free

Novus Biologicals, part of Bio-Techne | Catalog # NBP3-45864

Novus Biologicals, part of Bio-Techne
Catalog #
Availability
Size / Price
Qty
Loading...
NBP3-45864

Key Product Details

Species Reactivity

Human, Mouse, Rat

Applications

Immunohistochemistry, Western Blot, ELISA

Label

Unconjugated

Antibody Source

Polyclonal Rabbit IgG

Format

BSA Free

Concentration

Please see the vial label for concentration. If unlisted please contact technical services.

Product Specifications

Immunogen

sorting nexin 6. (Uniprot# Q9UNH7)

Clonality

Polyclonal

Host

Rabbit

Isotype

IgG

Theoretical MW

47 kDa.
Disclaimer note: The observed molecular weight of the protein may vary from the listed predicted molecular weight due to post translational modifications, post translation cleavages, relative charges, and other experimental factors.

Description

Novus Biologicals Rabbit Snx6 Antibody - BSA Free (NBP3-45864) is a polyclonal antibody validated for use in IHC, WB and ELISA. All Novus Biologicals antibodies are covered by our 100% guarantee.

Scientific Data Images for Snx6 Antibody - BSA Free

Snx6 Antibody - BSA Free

Western Blot: Snx6 Antibody - BSA Free [NBP3-45864] -

Western Blot: Snx6 Antibody - BSA Free [NBP3-45864] - RAW 264.7 cells were subjected to SDS PAGE followed by western blot with (Snx6 Antibody) at dilution of 1:600
Snx6 Antibody - BSA Free

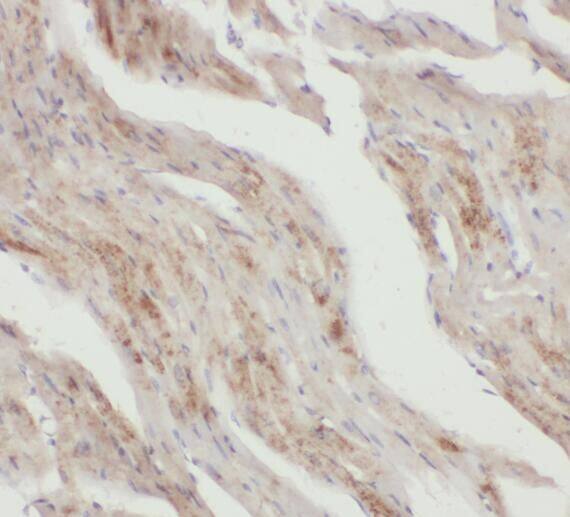
Immunohistochemistry: Snx6 Antibody - BSA Free [NBP3-45864] -

Immunohistochemistry: Snx6 Antibody - BSA Free [NBP3-45864] - Immunohistochemistry of paraffin-embedded human heart slide using (Snx6 Antibody) at dilution of 1:50

Applications for Snx6 Antibody - BSA Free

Application
Recommended Usage

Immunohistochemistry

1:20-1:200

Western Blot

1:500-1:2000

Formulation, Preparation, and Storage

Purification

Immunogen affinity purified

Formulation

PBS, 50% Glycerol, pH (7.3)

Format

BSA Free

Preservative

0.02% Sodium Azide

Concentration

Please see the vial label for concentration. If unlisted please contact technical services.

Shipping

The product is shipped with polar packs. Upon receipt, store it immediately at the temperature recommended below.

Stability & Storage

Store at -20C. Avoid freeze-thaw cycles.

Background: Snx6

The Snx6 gene encodes a member of the sorting nexin family. Members of this family contain a phox (PX) domain, which is a phosphoinositide binding domain, and are involved in intracellular trafficking. This protein associates with the long isoform of the lept

Alternate Names

MGC3157, MSTP010, sorting nexin 6, sorting nexin-6, TFAF2, TRAF4-associated factor 2, tumor necrosis factor receptor-associated factor 4(TRAF4)-associated factor 2

Gene Symbol

SNX6

Additional Snx6 Products

Product Documents for Snx6 Antibody - BSA Free

Certificate of Analysis

To download a Certificate of Analysis, please enter a lot number in the search box below.

Product Specific Notices for Snx6 Antibody - BSA Free

This product is for research use only and is not approved for use in humans or in clinical diagnosis. Primary Antibodies are guaranteed for 1 year from date of receipt.

Loading...
Loading...
Loading...
Loading...