Skip to main content

Snx6 Antibody - BSA Free

Novus Biologicals, part of Bio-Techne | Catalog # NBP2-13361

Novus Biologicals, part of Bio-Techne
Catalog #
Availability
Size / Price
Qty
Loading...
NBP2-13361
NBP2-13361-25ul

Key Product Details

Species Reactivity

Human

Applications

Immunohistochemistry, Immunohistochemistry-Paraffin, Western Blot, Immunocytochemistry/ Immunofluorescence

Label

Unconjugated

Antibody Source

Polyclonal Rabbit IgG

Format

BSA Free

Concentration

Concentrations vary lot to lot. See vial label for concentration. If unlisted please contact technical services.

Product Specifications

Immunogen

This antibody was developed against Recombinant Protein corresponding to amino acids: RLGAAMMEGLDDGPDFLSEEDRGLKAINVDLQSDAALQVDISDALSE

Reactivity Notes

Immunogen displays the following percentage of sequence identity for non-tested species: Mouse (89%), Rat (87%)

Clonality

Polyclonal

Host

Rabbit

Isotype

IgG

Description

Novus Biologicals Rabbit Snx6 Antibody - BSA Free (NBP2-13361) is a polyclonal antibody validated for use in IHC, WB and ICC/IF. All Novus Biologicals antibodies are covered by our 100% guarantee.

Scientific Data Images for Snx6 Antibody - BSA Free

Immunocytochemistry/ Immunofluorescence: Snx6 Antibody [NBP2-13361]

Immunocytochemistry/ Immunofluorescence: Snx6 Antibody [NBP2-13361]

Immunocytochemistry/Immunofluorescence: Snx6 Antibody [NBP2-13361] - Staining of human cell line U-2 OS shows localization to endosomes & lysosomes. Antibody staining is shown in green.
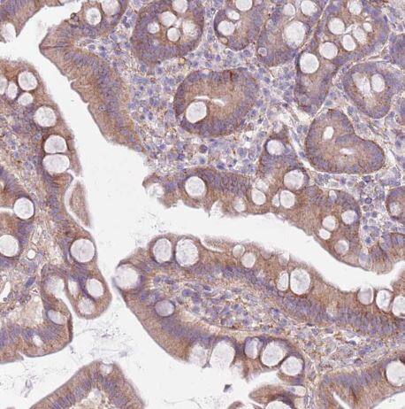
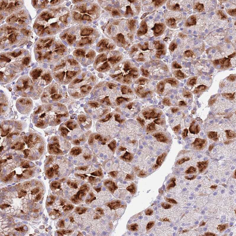
Immunohistochemistry-Paraffin: Snx6 Antibody [NBP2-13361]

Immunohistochemistry-Paraffin: Snx6 Antibody [NBP2-13361]

Immunohistochemistry-Paraffin: Snx6 Antibody [NBP2-13361] - Staining of human stomach, lower shows strong cytoplasmic positivity in glandular cells.
Snx6 Antibody

Western Blot: Snx6 Antibody [NBP2-13361] -

Western Blot: Snx6 Antibody [NBP2-13361] -Analysis in human cell line HepG2.

Applications for Snx6 Antibody - BSA Free

Application
Recommended Usage

Immunocytochemistry/ Immunofluorescence

0.25-2 ug/ml

Immunohistochemistry

1:50 - 1:200

Immunohistochemistry-Paraffin

1:50 - 1:200

Western Blot

0.04-0.4 ug/ml
Application Notes
For IHC-Paraffin, HIER pH 6 retrieval is recommended. For ICC/IF Fixation/Permeabilization: PFA/Triton X-100.

Formulation, Preparation, and Storage

Purification

Immunogen affinity purified

Formulation

PBS (pH 7.2) and 40% Glycerol

Format

BSA Free

Preservative

0.02% Sodium Azide

Concentration

Concentrations vary lot to lot. See vial label for concentration. If unlisted please contact technical services.

Shipping

The product is shipped with polar packs. Upon receipt, store it immediately at the temperature recommended below.

Stability & Storage

Store at 4C short term. Aliquot and store at -20C long term. Avoid freeze-thaw cycles.

Background: Snx6

The Snx6 gene encodes a member of the sorting nexin family. Members of this family contain a phox (PX) domain, which is a phosphoinositide binding domain, and are involved in intracellular trafficking. This protein associates with the long isoform of the lept

Alternate Names

MGC3157, MSTP010, sorting nexin 6, sorting nexin-6, TFAF2, TRAF4-associated factor 2, tumor necrosis factor receptor-associated factor 4(TRAF4)-associated factor 2

Gene Symbol

SNX6

Additional Snx6 Products

Product Documents for Snx6 Antibody - BSA Free

Certificate of Analysis

To download a Certificate of Analysis, please enter a lot number in the search box below.

Product Specific Notices for Snx6 Antibody - BSA Free

This product is for research use only and is not approved for use in humans or in clinical diagnosis. Primary Antibodies are guaranteed for 1 year from date of receipt.

Loading...
Loading...
Loading...
Loading...