Skip to main content

SNW1 Antibody

Novus Biologicals, part of Bio-Techne | Catalog # NB100-2368

Novus Biologicals, part of Bio-Techne
Catalog #
Availability
Size / Price
Qty
Loading...
NB100-2368

Key Product Details

Validated by

Independent Antibodies, Biological Validation

Species Reactivity

Validated:

Human, Mouse

Predicted:

Bovine (100%), Primate (100%). Backed by our 100% Guarantee.

Applications

Immunohistochemistry, Immunohistochemistry-Paraffin, Immunoprecipitation, Western Blot

Label

Unconjugated

Antibody Source

Polyclonal Rabbit IgG

Concentration

0.2 mg/ml

Product Specifications

Immunogen

The immunogen recognized by this antibody maps to a region between residue 500 and the C-terminus (residue 536) of human Nuclear Receptor Coactivator, 62 kD (SKIIP, SKI Interacting Protein) using the numbering given in entry NP_036377.1 (GeneID 22938).

Reactivity Notes

Based on 100% sequence identity, this antibody is predicted to react Orangutan.

Clonality

Polyclonal

Host

Rabbit

Isotype

IgG

Theoretical MW

61 kDa.
Disclaimer note: The observed molecular weight of the protein may vary from the listed predicted molecular weight due to post translational modifications, post translation cleavages, relative charges, and other experimental factors.

Description

Novus Biologicals Rabbit SNW1 Antibody (NB100-2368) is a polyclonal antibody validated for use in IHC, WB and IP. All Novus Biologicals antibodies are covered by our 100% guarantee.

Scientific Data Images for SNW1 Antibody

Western Blot: SNW1 Antibody [NB100-2368]

Western Blot: SNW1 Antibody [NB100-2368]

Western Blot: SNW1 Antibody [NB100-2368] - Detection of Human and Mouse NCOA62 on HeLa whole cell lysate using NB100-2368. NCOA62 was also immunoprecipitated by rabbit anti-NCOA62 antibody NB100-2367.
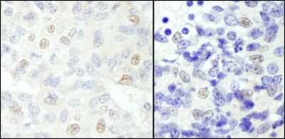
Immunohistochemistry-Paraffin: SNW1 Antibody [NB100-2368]

Immunohistochemistry-Paraffin: SNW1 Antibody [NB100-2368]

Immunohistochemistry-Paraffin: SNW1 Antibody [NB100-2368] - Section of human breast carcinoma (left) and mouse teratoma (right). Antibody: Affinity purified rabbit anti- NCOA62 used at a dilution of 1:200 (1ug/ml). Detection: DAB

Applications for SNW1 Antibody

Application
Recommended Usage

Immunohistochemistry

1:100 - 1:500

Immunohistochemistry-Paraffin

1:100 - 1:500

Immunoprecipitation

2-5 ug/mg lysate

Western Blot

1:2000-1:10000
Application Notes
Epitope retrieval with citrate buffer pH6.0 is recommended for FFPE tissue sections.

Formulation, Preparation, and Storage

Purification

Immunogen affinity purified

Formulation

TBS and 0.1% BSA

Preservative

0.09% Sodium Azide

Concentration

0.2 mg/ml

Shipping

The product is shipped with polar packs. Upon receipt, store it immediately at the temperature recommended below.

Stability & Storage

Store at 4C. Do not freeze.

Background: SNW1

This gene, a member of the SNW gene family, encodes a coactivator that enhances transcription from some Pol II promoters. This coactivator can bind to the ligand-binding domain of the vitamin D receptor and to retinoid receptors to enhance vitamin D-, retinoic acid-, estrogen-, and glucocorticoid-mediated gene expression. It can also function as a splicing factor by interacting with poly(A)-binding protein 2 to directly control the expression of muscle-specific genes at the transcriptional level. Finally, the protein may be involved in oncogenesis since it interacts with a region of SKI oncoproteins that is required for transforming activity.

Alternate Names

Bx42, homolog of Drosophila BX42, MGC119379, NCoA-62, Nuclear protein SkiP, Nuclear receptor coactivator NCoA-62, nuclear receptor coactivator, 62-kD, Prp45, PRPF45, SKI interacting protein, Ski-interacting protein, SKIPSKIIP, SNW domain containing 1, SNW domain-containing protein 1

Entrez Gene IDs

22938 (Human); 66354 (Mouse)

Gene Symbol

SNW1

UniProt

Additional SNW1 Products

Product Documents for SNW1 Antibody

Certificate of Analysis

To download a Certificate of Analysis, please enter a lot number in the search box below.

Product Specific Notices for SNW1 Antibody

This product is for research use only and is not approved for use in humans or in clinical diagnosis. Primary Antibodies are guaranteed for 1 year from date of receipt.

Loading...
Loading...
Loading...
Loading...