Skip to main content

SNIP1 Antibody

Novus Biologicals, part of Bio-Techne | Catalog # NBP2-20437

Novus Biologicals, part of Bio-Techne
Catalog #
Availability
Size / Price
Qty
Loading...
NBP2-20437

Key Product Details

Species Reactivity

Human, Mouse, Rat

Applications

Immunohistochemistry, Immunohistochemistry-Paraffin, Western Blot

Label

Unconjugated

Antibody Source

Polyclonal Rabbit IgG

Concentration

Concentrations vary lot to lot. See vial label for concentration. If unlisted please contact technical services.

Product Specifications

Immunogen

Recombinant protein encompassing a sequence within the center region of human SNIP1. The exact sequence is proprietary.

Reactivity Notes

Immunogen displays the following percentage of sequence identity for non-tested species: Zebrafish (80%).

Localization

Nucleus

Clonality

Polyclonal

Host

Rabbit

Isotype

IgG

Theoretical MW

46 kDa.
Disclaimer note: The observed molecular weight of the protein may vary from the listed predicted molecular weight due to post translational modifications, post translation cleavages, relative charges, and other experimental factors.

Description

Novus Biologicals Rabbit SNIP1 Antibody (NBP2-20437) is a polyclonal antibody validated for use in IHC and WB. All Novus Biologicals antibodies are covered by our 100% guarantee.

Scientific Data Images for SNIP1 Antibody

Western Blot: SNIP1 Antibody [NBP2-20437]

Western Blot: SNIP1 Antibody [NBP2-20437]

Western Blot: SNIP1 Antibody [NBP2-20437] - Sample (30 ug of whole cell lysate) A: Jurkat 10% SDS PAGE gel, diluted at 1:5000.
Immunohistochemistry-Paraffin: SNIP1 Antibody [NBP2-20437]

Immunohistochemistry-Paraffin: SNIP1 Antibody [NBP2-20437]

Immunohistochemistry-Paraffin: SNIP1 Antibody [NBP2-20437] - Immunohistochemical analysis of paraffin-embedded RT2 xenograft, using antibody at 1:500 dilution.
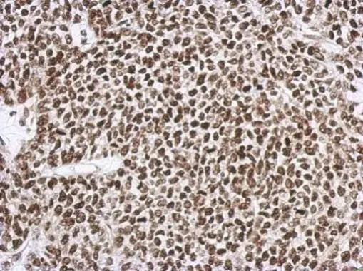
Immunohistochemistry-Paraffin: SNIP1 Antibody [NBP2-20437]

Immunohistochemistry-Paraffin: SNIP1 Antibody [NBP2-20437]

Immunohistochemistry-Paraffin: SNIP1 Antibody [NBP2-20437] - Immunohistochemical analysis of paraffin-embedded Muscle, using antibody at 1:500 dilution.

Applications for SNIP1 Antibody

Application
Recommended Usage

Immunohistochemistry

10 - 1:500

Immunohistochemistry-Paraffin

1:100-1:1000

Western Blot

1:1000-1:10000

Formulation, Preparation, and Storage

Purification

Antigen Affinity-purified

Formulation

PBS, 1% BSA, 20% Glycerol

Preservative

0.01% Thimerosal

Concentration

Concentrations vary lot to lot. See vial label for concentration. If unlisted please contact technical services.

Shipping

The product is shipped with polar packs. Upon receipt, store it immediately at the temperature recommended below.

Stability & Storage

Aliquot and store at -20C or -80C. Avoid freeze-thaw cycles.

Background: SNIP1

Members of the transforming growth factor-beta superfamily play critical roles in controlling cell growth and differentiation. Effects of TGF-beta family ligands are mediated by Smad proteins. A 396-amino acid nuclear protein termed SNIP1 was cloned and shown to harbor a nuclear localization signal (NLS) and a Forkhead-associated (FHA) domain. The carboxyl terminus of SNIP1 interacts with Smad1 and Smad2 in yeast two-hybrid as well as in mammalian overexpression systems. However, the amino terminus of SNIP1 harbors binding sites for both Smad4 and the coactivator CBP/p300. Overexpression of full-length SNIP1 or its amino terminus is sufficient to inhibit multiple gene responses to TGF-beta and CBP/p300, as well as the formation of a Smad4/p300 complex. Studies in Xenopus laevis further suggest that SNIP1 plays a role in regulating dorsomedial mesoderm formation by the TGF-beta family member nodal. Thus, SNIP1 is a nuclear inhibitor of CBP/p300 and its level of expression in specific cell types has important physiological consequences by setting a threshold for TGF-beta-induced transcriptional activation involving CBP/p300.

Alternate Names

dJ423B22.2, FHA domain-containing protein SNIP1, FLJ12553, RP3-423B22.3, Smad nuclear interacting protein (SNIP1), Smad nuclear interacting protein 1, smad nuclear-interacting protein 1

Gene Symbol

SNIP1

UniProt

Additional SNIP1 Products

Product Documents for SNIP1 Antibody

Certificate of Analysis

To download a Certificate of Analysis, please enter a lot number in the search box below.

Product Specific Notices for SNIP1 Antibody

This product is for research use only and is not approved for use in humans or in clinical diagnosis. Primary Antibodies are guaranteed for 1 year from date of receipt.

Loading...
Loading...
Loading...
Loading...

⚠ WARNING: This product can expose you to chemicals including mercury, which is known to the State of California to cause reproductive toxicity with developmental effects.  For more information go to www.P65Warnings.ca.gov.