Skip to main content

SNF8 Antibody - BSA Free

Novus Biologicals, part of Bio-Techne | Catalog # NBP2-15125

Novus Biologicals, part of Bio-Techne
Catalog #
Availability
Size / Price
Qty
Loading...
NBP2-15125

Key Product Details

Species Reactivity

Validated:

Human, Zebrafish

Predicted:

Bovine (98%), Mouse (98%), Rat (99%). Backed by our 100% Guarantee.

Applications

Validated:

Immunohistochemistry, Immunohistochemistry-Paraffin, Immunohistochemistry Whole-Mount, Western Blot

Cited:

Immunoblotting

Label

Unconjugated

Antibody Source

Polyclonal Rabbit IgG

Format

BSA Free

Concentration

Concentrations vary lot to lot. See vial label for concentration. If unlisted please contact technical services.

Product Specifications

Immunogen

Recombinant protein encompassing a sequence within the center region of human SNF8. The exact sequence is proprietary.

Reactivity Notes

Xenopus laevis (84%).

Clonality

Polyclonal

Host

Rabbit

Isotype

IgG

Theoretical MW

29 kDa.
Disclaimer note: The observed molecular weight of the protein may vary from the listed predicted molecular weight due to post translational modifications, post translation cleavages, relative charges, and other experimental factors.

Description

Novus Biologicals Rabbit SNF8 Antibody - BSA Free (NBP2-15125) is a polyclonal antibody validated for use in IHC and WB. Anti-SNF8 Antibody: Cited in 1 publication. All Novus Biologicals antibodies are covered by our 100% guarantee.

Scientific Data Images for SNF8 Antibody - BSA Free

Western Blot: SNF8 Antibody [NBP2-15125]

Western Blot: SNF8 Antibody [NBP2-15125]

Western Blot: SNF8 Antibody [NBP2-15125] - Sample (30 ug of whole cell lysate) A: Hela 12% SDS PAGE; antibody diluted at 1:1000.
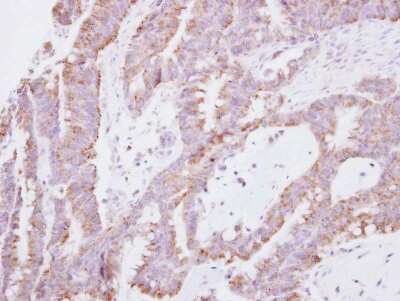
Immunohistochemistry-Paraffin: SNF8 Antibody [NBP2-15125]

Immunohistochemistry-Paraffin: SNF8 Antibody [NBP2-15125]

Immunohistochemistry-Paraffin: SNF8 Antibody [NBP2-15125] - Human colon carcinoma, using SNF8 antibody at 1:250 dilution. Antigen Retrieval: Trilogy™ (EDTA based, pH 8.0) buffer, 15min.
SNF8 Antibody

Immunohistochemistry-Whole-Mount: SNF8 Antibody [NBP2-15125] -

Immunohistochemistry-Whole-Mount: SNF8 Antibody [NBP2-15125] - SNF8 antibody detects Snf8 protein on blood cells by immunohistochemical analysis Sample: Whole-mount zebrafish embryo SNF8 antibody dilution: 1:200.

Applications for SNF8 Antibody - BSA Free

Application
Recommended Usage

Immunohistochemistry

1:100-1:1000

Immunohistochemistry Whole-Mount

Assay dependent

Immunohistochemistry-Paraffin

1:100-1:1000

Western Blot

1:500-1:3000

Formulation, Preparation, and Storage

Purification

Antigen Affinity-purified

Formulation

0.1M Tris, 0.1M Glycine, 20% Glycerol

Format

BSA Free

Preservative

0.01% Thimerosal

Concentration

Concentrations vary lot to lot. See vial label for concentration. If unlisted please contact technical services.

Shipping

The product is shipped with polar packs. Upon receipt, store it immediately at the temperature recommended below.

Stability & Storage

Aliquot and store at -20C or -80C. Avoid freeze-thaw cycles.

Background: SNF8

SNF8, VPS25 (MIM 610907), and VPS36 (MIM 610903) form ESCRT-II (endosomal sorting complex required for transport II), a complex involved in endocytosis of ubiquitinated membrane proteins. SNF8, VPS25, and VPS36 are also associated in a multiprotein complex with RNA polymerase II elongation factor (ELL; MIM 600284) (Slagsvold et al., 2005 [PubMed 15755741]; Kamura et al., 2001 [PubMed 11278625]).[supplied by OMIM]

Alternate Names

EAP30 subunit of ELL complex, EAP30hVps22, ELL-associated protein of 30 kDa, ESCRT-II complex subunit VPS22, SNF8, ESCRT-II complex subunit, homolog (S. cerevisiae), vacuolar-sorting protein SNF8, VPS22Dot3

Gene Symbol

SNF8

UniProt

Additional SNF8 Products

Product Documents for SNF8 Antibody - BSA Free

Certificate of Analysis

To download a Certificate of Analysis, please enter a lot number in the search box below.

Product Specific Notices for SNF8 Antibody - BSA Free

This product is for research use only and is not approved for use in humans or in clinical diagnosis. Primary Antibodies are guaranteed for 1 year from date of receipt.

Loading...
Loading...
Loading...
Loading...

⚠ WARNING: This product can expose you to chemicals including mercury, which is known to the State of California to cause reproductive toxicity with developmental effects.  For more information go to www.P65Warnings.ca.gov.