Skip to main content

Snapin Antibody - BSA Free

Novus Biologicals, part of Bio-Techne | Catalog # NBP1-92414

Novus Biologicals, part of Bio-Techne
Catalog #
Availability
Size / Price
Qty
Loading...
NBP1-92414
NBP1-92414-25ul

Key Product Details

Species Reactivity

Validated:

Human

Predicted:

Mouse (99%), Rat (99%). Backed by our 100% Guarantee.

Applications

Immunohistochemistry, Immunohistochemistry-Paraffin, Immunocytochemistry/ Immunofluorescence

Label

Unconjugated

Antibody Source

Polyclonal Rabbit IgG

Format

BSA Free

Concentration

Concentrations vary lot to lot. See vial label for concentration. If unlisted please contact technical services.

Product Specifications

Immunogen

This antibody was developed against Recombinant Protein corresponding to amino acids: LDSHVHAVRESQVELREQIDNLATELCRINEDQKVALDLDPYVKKLLNARRRVVLVNNILQNAQERLRRLNHSVAKETARRRAMLDSGIYP

Clonality

Polyclonal

Host

Rabbit

Isotype

IgG

Scientific Data Images for Snapin Antibody - BSA Free

Immunocytochemistry/ Immunofluorescence: Snapin Antibody [NBP1-92414]

Immunocytochemistry/ Immunofluorescence: Snapin Antibody [NBP1-92414]

Immunocytochemistry/Immunofluorescence: Snapin Antibody [NBP1-92414] - Staining of human cell line A-431 shows localization to nucleoli & the Golgi apparatus.
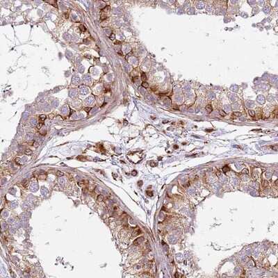
Immunohistochemistry-Paraffin: Snapin Antibody [NBP1-92414]

Immunohistochemistry-Paraffin: Snapin Antibody [NBP1-92414]

Immunohistochemistry-Paraffin: Snapin Antibody [NBP1-92414] - Staining of human testis shows strong cytoplasmic positivity in a subset of cells in seminiferus ducts.

Applications for Snapin Antibody - BSA Free

Application
Recommended Usage

Immunocytochemistry/ Immunofluorescence

0.25-2 ug/ml

Immunohistochemistry

1:50 - 1:200

Immunohistochemistry-Paraffin

1:50 - 1:200
Application Notes
For IHC-Paraffin, HIER pH 6 retrieval is recommended. ICC/IF Fixation Permeabilization: Use PFA/Triton X-100.

Formulation, Preparation, and Storage

Purification

Affinity purified

Formulation

PBS (pH 7.2) and 40% Glycerol

Format

BSA Free

Preservative

0.02% Sodium Azide

Concentration

Concentrations vary lot to lot. See vial label for concentration. If unlisted please contact technical services.

Shipping

The product is shipped with polar packs. Upon receipt, store it immediately at the temperature recommended below.

Stability & Storage

Store at 4C short term. Aliquot and store at -20C long term. Avoid freeze-thaw cycles.

Background: Snapin

SNAPIN is a component of the SNARE complex of proteins that is required for synaptic vesicle docking and fusion. It may modulate a step between vesicle priming, fusion and calcium dependent neurotransmitter release by potentiating the interaction of synaptotagmins with the SNAREs and the plasma membrane associated protein SNAP25. Its phosphorylation state influences exocytotic protein interactions and may regulate synaptic vesicle exocytosis. It may also have a role in the mechanisms of SNARE mediated membrane fusion in non neuronal cells.

Long Name

SNAP-associated Protein

Alternate Names

SNAP25BP, SNAPAP

Gene Symbol

SNAPIN

Additional Snapin Products

Product Documents for Snapin Antibody - BSA Free

Certificate of Analysis

To download a Certificate of Analysis, please enter a lot number in the search box below.

Product Specific Notices for Snapin Antibody - BSA Free

This product is for research use only and is not approved for use in humans or in clinical diagnosis. Primary Antibodies are guaranteed for 1 year from date of receipt.

Loading...
Loading...
Loading...
Loading...