Skip to main content

Snail Antibody (CL3700) - Azide and BSA Free

Novus Biologicals, part of Bio-Techne | Catalog # NBP3-43994

Novus Biologicals, part of Bio-Techne

Key Product Details

Validated by

Orthogonal Validation

Species Reactivity

Human

Applications

Immunohistochemistry-Paraffin, Immunocytochemistry/ Immunofluorescence

Label

Unconjugated

Antibody Source

Monoclonal Mouse IgG1 Clone # CL3700

Format

Azide and BSA Free

Concentration

LYOPH mg/ml

Product Specifications

Immunogen

This antibody was generated using a recombinant protein sequence of O95863, with the exact immunogen sequence remaining proprietary.

Clonality

Monoclonal

Host

Mouse

Isotype

IgG1

Description

Novus Biologicals Mouse Snail Antibody (CL3700) - Azide and BSA Free (NBP2-61631) is a monoclonal antibody validated for use in IHC and ICC/IF. All Novus Biologicals antibodies are covered by our 100% guarantee.

Scientific Data Images for Snail Antibody (CL3700) - Azide and BSA Free

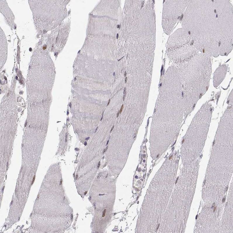
Snail Antibody (CL3700) - Azide and BSA Free Immunohistochemistry-Paraffin: Snail Antibody [NBP3-43994]

Immunohistochemistry-Paraffin: Snail Antibody [NBP3-43994]

Analysis in human placenta and skeletal muscle tissues using NBP3-43994 antibody. Corresponding Snail RNA-seq data are presented for the same tissues.
Snail Antibody (CL3700) - Azide and BSA Free Immunocytochemistry/ Immunofluorescence: Snail Antibody [NBP3-43994]

Immunocytochemistry/ Immunofluorescence: Snail Antibody [NBP3-43994]

Staining of BeWo cells using the Anti-Snail monoclonal antibody) .
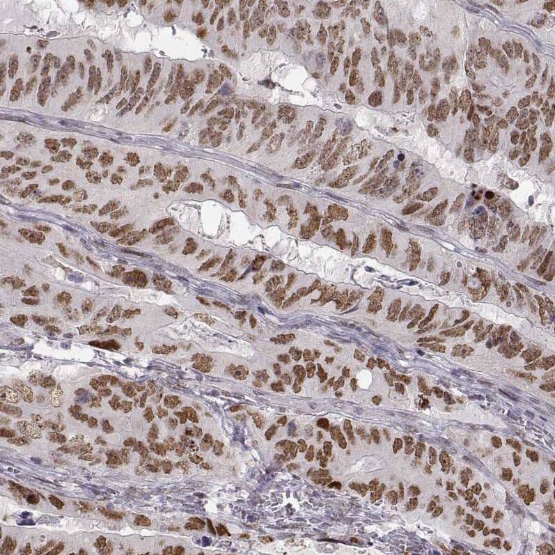
Snail Antibody (CL3700) - Azide and BSA Free Immunohistochemistry-Paraffin: Snail Antibody [NBP3-43994]

Immunohistochemistry-Paraffin: Snail Antibody [NBP3-43994]

Staining of human colorectal cancer shows moderate to strong nuclear positivity in tumor cells.

Applications for Snail Antibody (CL3700) - Azide and BSA Free

Application
Recommended Usage

Immunocytochemistry/ Immunofluorescence

2-10 ug/ml

Immunohistochemistry-Paraffin

1:5000 - 1:10000
Application Notes
IHC-Paraffin HIER pH6 retrieval is recommended. Immunocytochemistry/ Immunofluorescence/IF Fixation/Permeabilization: PFA/Triton X-100.

Formulation, Preparation, and Storage

Purification

Protein A purified

Reconstitution

Centrifuge the vial of lyophilized antibody at 12,000 x g for 20 seconds. Reconstitute by adding sterile, distilled water to achieve a final antibody concentration of 1mg/ml.

Formulation

Lyophilized from a 0.2 um filtered solution in PBS with Trehalose

Format

Azide and BSA Free

Preservative

No Preservative

Concentration

LYOPH mg/ml

Shipping

The product is shipped at ambient temperature. Upon receipt, store it immediately at the temperature recommended below.

Stability & Storage

Store at 4C short term. Aliquot and store at -20C long term. Avoid freeze-thaw cycles.

Background: Snail

Snail, also called SNAIL1 or SNAI1, is a zinc-finger transcription factor belonging to the Snail superfamily and encoded by the SNAI1 gene (1,2). Snail was first discovered in Drosophila and has homologs in many species including vertebrates and humans (1,2). The Snail family members includes Snail (Snail1), Slug (Snail2), and Smuc (Snail3) (1,2). In humans, Snail is expressed in a number of tissues including placenta, brain, and skeletal muscle, but is most highly expressed by the kidneys (1). Snail functions in repression of E-cadherin transcription which is associated with epithelial-mesenchymal transition (EMT) that is especially prominent during embryonic development (1-5). Along with Snail, other related EMT-inducing transcription factors (EMT-TFs) include the Twist and ZEB protein families (3). Snail is synthesized as a protein of 264 amino acids (aa) with an N-terminal SNAG domain, a serine-rich domain (SRD), nuclear export sequences (NES), and four C-terminal zinc-finger binding domains, with a theoretical molecular weight of 29 kDa (1,3). Snail activity is largely regulated through post-translational modifications such as phosphorylation, ubiquitination, and glycosylation, which impacts Snail's localization and stability, amongst other things (1-3, 5).

In addition to its role in embryonic development, Snail-induced EMT is also associated with cancer metastasis (1-5). Snail is expressed in a variety of cancer lines including breast cancer, cervical carcinoma, and colorectal carcinoma, and typically results in increased migration, invasion, and metastasis (1). Accordingly, Snail expression is also correlated with drug resistance and tumor recurrence (1-5). Chemical inhibitors that target Snail have shown some promise in reducing or eliminating Snail-induced EMT, increasing E-cadherin expression, and increasing tumor regression (1).

1. Kaufhold, S., & Bonavida, B. (2014). Central role of Snail1 in the regulation of EMT and resistance in cancer: a target for therapeutic intervention. Journal of Experimental & Clinical Cancer Research. https://doi.org/10.1186/s13046-014-0062-0

2. Wang, Y., Shi, J., Chai, K., Ying, X., & Zhou, B. P. (2013). The Role of Snail in EMT and Tumorigenesis. Current Cancer Drug Targets. https://doi.org/10.2174/15680096113136660102

3. Kang, E., Seo, J., Yoon, H., & Cho, S. (2021). The Post-Translational Regulation of Epithelial-Mesenchymal Transition-Inducing Transcription Factors in Cancer Metastasis. International Journal of Molecular Sciences. https://doi.org/10.3390/ijms22073591

4. Seo, J., Ha, J., Kang, E., & Cho, S. (2021). The role of epithelial-mesenchymal transition-regulating transcription factors in anti-cancer drug resistance. Archives of Pharmacal Research. https://doi.org/10.1007/s12272-021-01321-x

5. Baulida, J., Diaz, V. M., & Herreros, A. G. (2019). Snail1: A Transcriptional Factor Controlled at Multiple Levels. Journal of Clinical Medicine. https://doi.org/10.3390/jcm8060757

Alternate Names

SLUGH2, SNAH, SNAI1

Gene Symbol

SNAI1

Additional Snail Products

Product Documents for Snail Antibody (CL3700) - Azide and BSA Free

Certificate of Analysis

To download a Certificate of Analysis, please enter a lot number in the search box below.

Product Specific Notices for Snail Antibody (CL3700) - Azide and BSA Free

This product is for research use only and is not approved for use in humans or in clinical diagnosis. Primary Antibodies are guaranteed for 1 year from date of receipt.

Loading...
Loading...
Loading...
Loading...
Loading...
Loading...