SmyD1 Antibody - BSA Free
Novus Biologicals, part of Bio-Techne | Catalog # NBP2-93805
Key Product Details
Species Reactivity
Human, Mouse, Rat
Applications
Immunohistochemistry, Immunohistochemistry-Paraffin, Western Blot, Immunocytochemistry/ Immunofluorescence
Label
Unconjugated
Antibody Source
Polyclonal Rabbit IgG
Format
BSA Free
Concentration
Please see the vial label for concentration. If unlisted please contact technical services.
Product Specifications
Immunogen
Recombinant fusion protein containing a sequence corresponding to amino acids 1-350 of human SMYD1 (NP_938015.1). MTIGRMENVEVFTAEGKGRGLKATKEFWAADIIFAERAYSAVVFDSLVNFVCHTCFKRQEKLHRCGQCKFAHYCDRTCQKDAWLNHKNECSAIKRYGKVPNENIRLAARIMWRVEREGTGLTEGCLVSVDDLQNHVEHFGEEEQKDLRVDVDTFLQYWPPQSQQFSMQYISHIFGVINCNGFTLSDQRGLQAVGVGIFPNLGLVNHDCWPNCTVIFNNGNHEAVKSMFHTQMRIELRALGKISEGEELTVSYIDFLNVSEERKRQLKKQYYFDCTCEHCQKKLKDDLFLGVKDNPKPSQEVVKEMIQFSKDTLEKIDKARSEGLYHEVVKLCRECLEKQEPVFADTNIYM
Clonality
Polyclonal
Host
Rabbit
Isotype
IgG
Theoretical MW
56 kDa.
Disclaimer note: The observed molecular weight of the protein may vary from the listed predicted molecular weight due to post translational modifications, post translation cleavages, relative charges, and other experimental factors.
Disclaimer note: The observed molecular weight of the protein may vary from the listed predicted molecular weight due to post translational modifications, post translation cleavages, relative charges, and other experimental factors.
Description
Novus Biologicals Rabbit SmyD1 Antibody - BSA Free (NBP2-93805) is a polyclonal antibody validated for use in IHC, WB and ICC/IF. All Novus Biologicals antibodies are covered by our 100% guarantee.
Scientific Data Images for SmyD1 Antibody - BSA Free
Western Blot: SmyD1 AntibodyBSA Free [NBP2-93805]
Western Blot: SmyD1 Antibody [NBP2-93805] - Analysis of extracts of various cell lines, using SmyD1 at 1:1000 dilution. Secondary antibody: HRP Goat Anti-Rabbit IgG (H+L) at 1:10000 dilution. Lysates/proteins: 25ug per lane. Blocking buffer: 3% nonfat dry milk in TBST. Detection: ECL Basic Kit . Exposure time: 60s.Immunocytochemistry/ Immunofluorescence: SmyD1 Antibody - BSA Free [NBP2-93805]
Immunocytochemistry/Immunofluorescence: SmyD1 Antibody [NBP2-93805] - Analysis of MCF-7 cells using SmyD1 . Blue: DAPI for nuclear staining.Immunohistochemistry-Paraffin: SmyD1 Antibody - BSA Free [NBP2-93805]
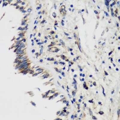
Immunohistochemistry-Paraffin: SmyD1 Antibody [NBP2-93805] - Paraffin-embedded rat kidney using SmyD1 .Applications for SmyD1 Antibody - BSA Free
Application
Recommended Usage
Immunocytochemistry/ Immunofluorescence
1:20-1:100
Immunohistochemistry
1:20-1:200
Western Blot
1:200-1:2000
Formulation, Preparation, and Storage
Purification
Affinity purified
Formulation
PBS (pH 7.3), 50% glycerol
Format
BSA Free
Preservative
0.02% Sodium Azide
Concentration
Please see the vial label for concentration. If unlisted please contact technical services.
Shipping
The product is shipped with polar packs. Upon receipt, store it immediately at the temperature recommended below.
Stability & Storage
Store at -20C. Avoid freeze-thaw cycles.
Background: SmyD1
Alternate Names
CD8 beta opposite, KMT3D, MYND domain containing 18, SET and MYND domain containing 1, SET and MYND domain-containing protein 1, ZMYND22
Gene Symbol
SMYD1
Additional SmyD1 Products
Product Documents for SmyD1 Antibody - BSA Free
Product Specific Notices for SmyD1 Antibody - BSA Free
This product is for research use only and is not approved for use in humans or in clinical diagnosis. Primary Antibodies are guaranteed for 1 year from date of receipt.
Loading...
Loading...
Loading...
Loading...