Skip to main content

smu1 Antibody - BSA Free

Novus Biologicals, part of Bio-Techne | Catalog # NBP1-88521

Novus Biologicals, part of Bio-Techne
Catalog #
Availability
Size / Price
Qty
Loading...
NBP1-88521
NBP1-88521-25ul

Key Product Details

Validated by

Independent Antibodies

Species Reactivity

Validated:

Human

Predicted:

Mouse (100%), Rat (100%). Backed by our 100% Guarantee.

Applications

Immunohistochemistry, Immunohistochemistry-Paraffin, Western Blot

Label

Unconjugated

Antibody Source

Polyclonal Rabbit IgG

Format

BSA Free

Concentration

Concentrations vary lot to lot. See vial label for concentration. If unlisted please contact technical services.

Product Specifications

Immunogen

This antibody was developed against Recombinant Protein corresponding to amino acids: IHLENLLARSYFDPREAYPDGSSKEKRRAAIAQALAGEVSVVPPSRLMALLGQALKWQQHQGLLPPGMTIDLFRGKAAVKDVEEEK

Clonality

Polyclonal

Host

Rabbit

Isotype

IgG

Description

Novus Biologicals Rabbit smu1 Antibody - BSA Free (NBP1-88521) is a polyclonal antibody validated for use in IHC and WB. All Novus Biologicals antibodies are covered by our 100% guarantee.

Scientific Data Images for smu1 Antibody - BSA Free

Western Blot: smu1 Antibody [NBP1-88521]

Western Blot: smu1 Antibody [NBP1-88521]

Western Blot: smu1 Antibody [NBP1-88521] - Analysis using Anti-SMU1 antibody NBP1-88521 (A) shows similar pattern to independent antibody NBP1-88522 (B).
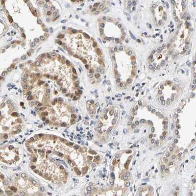
Immunohistochemistry-Paraffin: smu1 Antibody [NBP1-88521]

Immunohistochemistry-Paraffin: smu1 Antibody [NBP1-88521]

Immunohistochemistry-Paraffin: smu1 Antibody [NBP1-88521] - Staining of human kidney shows moderate cytoplasmic positivity in cells in tubules.

Applications for smu1 Antibody - BSA Free

Application
Recommended Usage

Immunohistochemistry

1:200 - 1:500

Immunohistochemistry-Paraffin

1:200 - 1:500

Western Blot

0.04-0.4 ug/ml
Application Notes
For IHC-Paraffin, HIER pH 6 retrieval is recommended.

Formulation, Preparation, and Storage

Purification

Affinity purified

Formulation

PBS (pH 7.2) and 40% Glycerol

Format

BSA Free

Preservative

0.02% Sodium Azide

Concentration

Concentrations vary lot to lot. See vial label for concentration. If unlisted please contact technical services.

Shipping

The product is shipped with polar packs. Upon receipt, store it immediately at the temperature recommended below.

Stability & Storage

Store at 4C short term. Aliquot and store at -20C long term. Avoid freeze-thaw cycles.

Background: smu1

Alternate Names

brain-enriched WD-repeat protein, BWD, DKFZp761L0916, FLJ10805, FLJ10870, FLJ11970, fSAP57, functional spliceosome-associated protein 57, MGC117363, RP11-54K16.3, SMU-1, smu-1 suppressor of mec-8 and unc-52 homolog (C. elegans), Smu-1 suppressor of mec-8 and unc-52 protein homolog, WD40 repeat-containing protein SMU1

Gene Symbol

SMU1

Additional smu1 Products

Product Documents for smu1 Antibody - BSA Free

Certificate of Analysis

To download a Certificate of Analysis, please enter a lot number in the search box below.

Product Specific Notices for smu1 Antibody - BSA Free

This product is for research use only and is not approved for use in humans or in clinical diagnosis. Primary Antibodies are guaranteed for 1 year from date of receipt.

Loading...
Loading...
Loading...
Loading...