Skip to main content

SMIM1 Antibody - BSA Free

Novus Biologicals, part of Bio-Techne | Catalog # NBP2-38120

Novus Biologicals, part of Bio-Techne
Catalog #
Availability
Size / Price
Qty
Loading...
NBP2-38120-25ul
NBP2-38120

Key Product Details

Validated by

Orthogonal Validation

Species Reactivity

Human

Applications

Immunohistochemistry, Immunohistochemistry-Paraffin

Label

Unconjugated

Antibody Source

Polyclonal Rabbit IgG

Format

BSA Free

Concentration

Concentrations vary lot to lot. See vial label for concentration. If unlisted please contact technical services.

Product Specifications

Immunogen

This antibody was developed against a recombinant protein corresponding to amino acids: QPQESHVHYSRWEDGSRDGVSLGAVSSTEEASRCRRISQRLCTGKL

Clonality

Polyclonal

Host

Rabbit

Isotype

IgG

Scientific Data Images for SMIM1 Antibody - BSA Free

SMIM1 Antibody

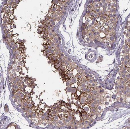
Immunohistochemistry-Paraffin: SMIM1 Antibody [NBP2-38120] -

Immunohistochemistry-Paraffin: SMIM1 Antibody [NBP2-38120] - Analysis in human testis and rectum tissues using NBP2-38120 antibody. Corresponding SMIM1 RNA-seq data are presented for the same tissues.
SMIM1 Antibody

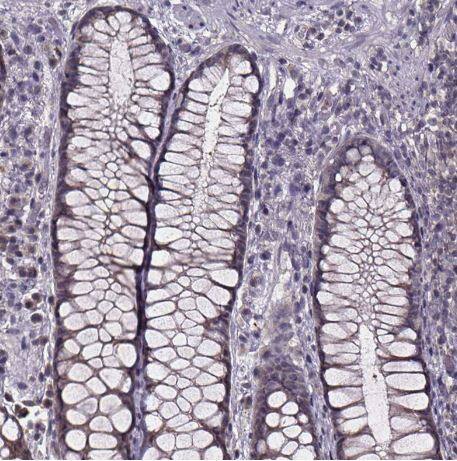
Immunohistochemistry-Paraffin: SMIM1 Antibody [NBP2-38120] -

Immunohistochemistry-Paraffin: SMIM1 Antibody [NBP2-38120] -Staining of human testis shows strong membranous positivity in cells in seminiferous ducts.
SMIM1 Antibody

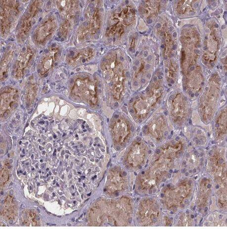
Immunohistochemistry-Paraffin: SMIM1 Antibody [NBP2-38120] -

Immunohistochemistry-Paraffin: SMIM1 Antibody [NBP2-38120] -Staining of human kidney shows moderate granular cytoplasmic positivity in cells in tubules.

Applications for SMIM1 Antibody - BSA Free

Application
Recommended Usage

Immunohistochemistry

1:200 - 1:500

Immunohistochemistry-Paraffin

1:200 - 1:500
Application Notes
For IHC-Paraffin, HIER pH 6 retrieval is recommended.

Formulation, Preparation, and Storage

Purification

Affinity purified

Formulation

PBS (pH 7.2) and 40% Glycerol

Format

BSA Free

Preservative

0.02% Sodium Azide

Concentration

Concentrations vary lot to lot. See vial label for concentration. If unlisted please contact technical services.

Shipping

The product is shipped with polar packs. Upon receipt, store it immediately at the temperature recommended below.

Stability & Storage

Store at 4C short term. Aliquot and store at -20C long term. Avoid freeze-thaw cycles.

Background: SMIM1

Alternate Names

Small Integral Membrane Protein 1, Small Integral Membrane Protein 1 (Vel Blood Group), Vel, Vel Blood Group Antigen

Gene Symbol

SMIM1

UniProt

Additional SMIM1 Products

Product Documents for SMIM1 Antibody - BSA Free

Certificate of Analysis

To download a Certificate of Analysis, please enter a lot number in the search box below.

Product Specific Notices for SMIM1 Antibody - BSA Free

This product is for research use only and is not approved for use in humans or in clinical diagnosis. Primary Antibodies are guaranteed for 1 year from date of receipt.

Loading...
Loading...
Loading...
Loading...
Loading...