SMG9 Antibody - BSA Free
Novus Biologicals, part of Bio-Techne | Catalog # NBP2-13355
Key Product Details
Species Reactivity
Validated:
Human
Predicted:
Mouse (99%), Rat (99%). Backed by our 100% Guarantee.
Applications
Immunohistochemistry, Immunohistochemistry-Paraffin, Western Blot
Label
Unconjugated
Antibody Source
Polyclonal Rabbit IgG
Format
BSA Free
Concentration
Concentrations vary lot to lot. See vial label for concentration. If unlisted please contact technical services.
Product Specifications
Immunogen
This antibody was developed against a recombinant protein corresponding to the amino acids: KHSIKLVDDQMNWCDSAIEYLLDQTDVLVVGVLGLQGTGKSMVMSLLSANTPEEDQRTYVFRAQSAEMKERGGNQTSGIDFFITQERIVFL
Clonality
Polyclonal
Host
Rabbit
Isotype
IgG
Description
Novus Biologicals Rabbit SMG9 Antibody - BSA Free (NBP2-13355) is a polyclonal antibody validated for use in IHC and WB. All Novus Biologicals antibodies are covered by our 100% guarantee.
Scientific Data Images for SMG9 Antibody - BSA Free
Western Blot: SMG9 Antibody [NBP2-13355]
Western Blot: SMG9 Antibody [NBP2-13355] - Lane 1: Marker [kDa] 250, 130, 100, 70, 55, 35, 25, 15, 10. Lane 2: U-2 OSImmunohistochemistry: SMG9 Antibody [NBP2-13355]
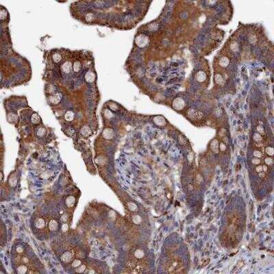
Immunohistochemistry: SMG9 Antibody [NBP2-13355] - Staining of human colon shows strong cytoplasmic positivity in glandular cells.Western Blot: SMG9 Antibody - BSA Free [NBP2-13355]
Analysis in human cell line HEK 293.Applications for SMG9 Antibody - BSA Free
Application
Recommended Usage
Immunohistochemistry
1:50 - 1:200
Immunohistochemistry-Paraffin
1:50 - 1:200
Western Blot
0.04-0.4 ug/ml
Application Notes
For IHC-Paraffin, HIER pH 6 retrieval is recommended.
Formulation, Preparation, and Storage
Purification
Affinity purified
Formulation
PBS (pH 7.2) and 40% Glycerol
Format
BSA Free
Preservative
0.02% Sodium Azide
Concentration
Concentrations vary lot to lot. See vial label for concentration. If unlisted please contact technical services.
Shipping
The product is shipped with polar packs. Upon receipt, store it immediately at the temperature recommended below.
Stability & Storage
Store at 4C short term. Aliquot and store at -20C long term. Avoid freeze-thaw cycles.
Background: SMG9
Alternate Names
chromosome 19 open reading frame 61, DKFZp564H1322, F17127_1, FLJ12886, protein SMG9, Protein smg-9 homolog, SMG9
Gene Symbol
SMG9
Additional SMG9 Products
Product Documents for SMG9 Antibody - BSA Free
Product Specific Notices for SMG9 Antibody - BSA Free
This product is for research use only and is not approved for use in humans or in clinical diagnosis. Primary Antibodies are guaranteed for 1 year from date of receipt.
Loading...
Loading...
Loading...
Loading...