Skip to main content

SMCHD1 Antibody

Novus Biologicals, part of Bio-Techne | Catalog # NBP1-49968

Novus Biologicals, part of Bio-Techne
Catalog #
Availability
Size / Price
Qty
Loading...
NBP1-49968

Key Product Details

Validated by

Independent Antibodies, Biological Validation

Species Reactivity

Human

Applications

Immunohistochemistry, Immunohistochemistry-Paraffin, Western Blot, Immunoprecipitation

Label

Unconjugated

Antibody Source

Polyclonal Rabbit IgG

Concentration

0.2 mg/ml

Product Specifications

Immunogen

The immunogen for this product maps to a region between residue 250 and 300 of human Structural Maintenance of Chromosomes Flexible Hinge Domain containing 1, using the numbering given in entry NP_056110.2 (GeneID 23347).

Clonality

Polyclonal

Host

Rabbit

Isotype

IgG

Scientific Data Images for SMCHD1 Antibody

Western Blot: SMCHD1 Antibody [NBP1-49968]

Western Blot: SMCHD1 Antibody [NBP1-49968]

Western Blot: SMCHD1 Antibody [NBP1-49968] - Detection of Human SmcHD1 by Western Blot and Immunoprecipitation. Samples: Whole cell lysate from HeLa (5, 15 and 50 mcg for WB; 1 mg for IP, 20% of IP loaded) and 293T (T; 50 mcg) cells. Antibodies: Affinity purified rabbit anti-SmcHD1 antibody used for WB at 0.04 mcg/ml (A) and 0.4 mcg/ml (B) and used for IP at 3 mcg/mg lysate. SmcHD1 was also immunoprecipitated by rabbit anti-SmcHD1 antibody which recognizes a downstream epitope. For blotting immunoprecipitated SmcHD1 was used. Detection: Chemiluminescence with exposure times of 3 minutes (A) and 10 seconds (B).
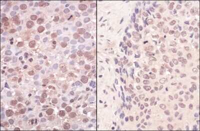
Immunohistochemistry-Paraffin: SMCHD1 Antibody [NBP1-49968]

Immunohistochemistry-Paraffin: SMCHD1 Antibody [NBP1-49968]

Immunohistochemistry-Paraffin: SMCHD1 Antibody [NBP1-49968] - Sample: FFPE section of human testicular seminoma (left) and non-small cell lung cancer (right). Antibody: Affinity purified rabbit anti- SmcHD1 used at a dilution of 1:200 (1ug/ml). Detection: Vector Laboratories ImmPACT NovaRED Peroxidase Substrate

Applications for SMCHD1 Antibody

Application
Recommended Usage

Immunohistochemistry

1:100 - 1:500

Immunohistochemistry-Paraffin

1:100 - 1:500

Immunoprecipitation

2-5 ug/mg lysate

Western Blot

1:2000-1:10000
Application Notes
Epitope retrieval with citrate buffer pH6.0 is recommended for FFPE tissue sections.

Formulation, Preparation, and Storage

Purification

Immunogen affinity purified

Formulation

TBS and 0.1% BSA

Preservative

0.09% Sodium Azide

Concentration

0.2 mg/ml

Shipping

The product is shipped with polar packs. Upon receipt, store it immediately at the temperature recommended below.

Stability & Storage

Store at 4C. Do not freeze.

Background: SMCHD1

Alternate Names

DKFZp686O0631, KIAA0650, structural maintenance of chromosomes flexible hinge domain containing 1, structural maintenance of chromosomes flexible hinge domain-containing protein 1

Gene Symbol

SMCHD1

Additional SMCHD1 Products

Product Documents for SMCHD1 Antibody

Certificate of Analysis

To download a Certificate of Analysis, please enter a lot number in the search box below.

Product Specific Notices for SMCHD1 Antibody

This product is for research use only and is not approved for use in humans or in clinical diagnosis. Primary Antibodies are guaranteed for 1 year from date of receipt.

Loading...
Loading...
Loading...
Loading...