Skip to main content

SMC3 Antibody - BSA Free

Novus Biologicals, part of Bio-Techne | Catalog # NB100-207

Novus Biologicals, part of Bio-Techne

Key Product Details

Species Reactivity

Validated:

Human, Mouse, C. elegans

Cited:

Human, Nematode - Caenorhabditis elegans

Predicted:

Bovine (100%), Primate (100%). Backed by our 100% Guarantee.

Applications

Validated:

Immunohistochemistry, Immunohistochemistry-Paraffin, Western Blot, Immunoprecipitation

Cited:

Chemotaxis, IF/IHC

Label

Unconjugated

Antibody Source

Polyclonal Rabbit IgG

Format

BSA Free

Concentration

1.0 mg/ml

Product Specifications

Immunogen

The immunogen recognized by this antibody maps to a region between residue 1175 and the C-terminus (residue 1217) of human Structural Maintenance of Chromosomes 3 using the numbering given in entry NP_005436.1 (GeneID 9126).

Reactivity Notes

Orangutan (100%). C. elegans reactivity reported in scientific literature (PMID: 30563860).

Clonality

Polyclonal

Host

Rabbit

Isotype

IgG

Description

Novus Biologicals Rabbit SMC3 Antibody - BSA Free (NB100-207) is a polyclonal antibody validated for use in IHC, WB and IP. Anti-SMC3 Antibody: Cited in 9 publications. All Novus Biologicals antibodies are covered by our 100% guarantee.

Scientific Data Images for SMC3 Antibody - BSA Free

Western Blot: SMC3 Antibody [NB100-207]

Western Blot: SMC3 Antibody [NB100-207]

Western Blot: SMC3 Antibody [NB100-207] - Whole cell lysate (10 ug) from HEK293T, HeLa, Jurkat, LNCaP, U2OS, A-549, TCMK-1, and NIH 3T3 cells prepared using NETN lysis buffer. Antibody: Affinitypurified rabbit anti-SMC3 antibody used for WB at 0.04 ug/ml. Detection:Chemiluminescence with an exposure time of 3 seconds.
Immunohistochemistry-Paraffin: SMC3 Antibody [NB100-207]

Immunohistochemistry-Paraffin: SMC3 Antibody [NB100-207]

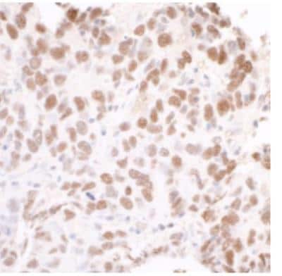
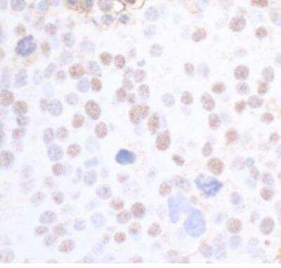
Immunohistochemistry-Paraffin: SMC3 Antibody [NB100-207] - Section of mouse renal cell carcinoma. Antibody: Affinity purified rabbit anti-SMC3 used at 1:5,000 (0.2ug/ml). Detection: DAB
Immunohistochemistry-Paraffin: SMC3 Antibody [NB100-207]

Immunohistochemistry-Paraffin: SMC3 Antibody [NB100-207]

Immunohistochemistry-Paraffin: SMC3 Antibody [NB100-207] - Section of human breast carcinoma. Antibody: Affinity purified rabbit anti-SMC3 used at 1:5,000 (0.2ug/ml). Detection: DAB

Applications for SMC3 Antibody - BSA Free

Application
Recommended Usage

Immunohistochemistry-Paraffin

1:100-1:500

Immunoprecipitation

2-10 ul/mg

Western Blot

1:10000 - 1:25000
Application Notes
Epitope retrieval with citrate buffer pH6.0 is recommended for FFPE tissue sections.

Formulation, Preparation, and Storage

Purification

Immunogen affinity purified

Formulation

Tris-Citrate/Phosphate (pH 7.0 - 8.0)

Format

BSA Free

Preservative

0.09% Sodium Azide

Concentration

1.0 mg/ml

Shipping

The product is shipped with polar packs. Upon receipt, store it immediately at the temperature recommended below.

Stability & Storage

Store at 4C. Do not freeze.

Background: SMC3

Involved in chromosome cohesion during cell cycle and in DNA repair. Central component of cohesin complex. The cohesin complex is required for the cohesion of sister chromatids after DNA replication. The cohesin complex apparently forms a large proteinaceous ring within which sister chromatids can be trapped. At anaphase, the complex is cleaved and dissociates from chromatin, allowing sister chromatids to segregate. The cohesin complex may also play a role in spindle pole assembly during mitosis and in chromosome movement.

Alternate Names

Bamacan, BAMSMC protein 3, Basement membrane-associated chondroitin proteoglycan, BMH, Chondroitin sulfate proteoglycan 6, chondroitin sulfate proteoglycan 6 (bamacan), Chromosome-associated polypeptide, CSPG6structural maintenance of chromosomes protein 3, hCAP, HCAPbamacan, SMC-3, SMC3L1CDLS3, structural maintenance of chromosomes 3

Entrez Gene IDs

9126 (Human)

Gene Symbol

SMC3

Additional SMC3 Products

Product Documents for SMC3 Antibody - BSA Free

Certificate of Analysis

To download a Certificate of Analysis, please enter a lot number in the search box below.

Product Specific Notices for SMC3 Antibody - BSA Free

This product is for research use only and is not approved for use in humans or in clinical diagnosis. Primary Antibodies are guaranteed for 1 year from date of receipt.

Loading...
Loading...
Loading...
Loading...