Skip to main content

SMAD6 Antibody - BSA Free

Novus Biologicals, part of Bio-Techne | Catalog # NBP2-88312

Novus Biologicals, part of Bio-Techne
Catalog #
Availability
Size / Price
Qty
Loading...
NBP2-88312

Key Product Details

Species Reactivity

Human

Applications

Immunohistochemistry, Immunohistochemistry-Paraffin, Western Blot

Label

Unconjugated

Antibody Source

Polyclonal Rabbit

Format

BSA Free

Concentration

1 mg/ml

Product Specifications

Immunogen

The immunogen is a synthetic peptide directed towards the N-terminal region of human SMAD6. Peptide sequence: APRDASDPLAGAALEPAGGGRSREARSRLLLLEQELKTVTYSLLKR The peptide sequence for this immunogen was taken from within the described region.

Clonality

Polyclonal

Host

Rabbit

Description

Novus Biologicals Rabbit SMAD6 Antibody - BSA Free (NBP2-88312) is a polyclonal antibody validated for use in IHC and WB. All Novus Biologicals antibodies are covered by our 100% guarantee.

Scientific Data Images for SMAD6 Antibody - BSA Free

Western Blot: SMAD6 Antibody [NBP2-88312]

Western Blot: SMAD6 Antibody [NBP2-88312]

Western Blot: SMAD6 Antibody [NBP2-88312] - WB Suggested Anti-SMAD6 Antibody Titration: 0.5-1.0ug/ml. Positive Control: Jurkat cell lysateThere is BioGPS gene expression data showing that SMAD6 is expressed in Jurkat
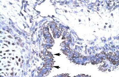
Immunohistochemistry: SMAD6 Antibody [NBP2-88312]

Immunohistochemistry: SMAD6 Antibody [NBP2-88312]

Immunohistochemistry: SMAD6 Antibody [NBP2-88312] - Human Lung
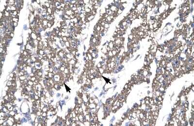
Immunohistochemistry: SMAD6 Antibody [NBP2-88312]

Immunohistochemistry: SMAD6 Antibody [NBP2-88312]

Immunohistochemistry: SMAD6 Antibody [NBP2-88312] - Human Heart

Applications for SMAD6 Antibody - BSA Free

Application
Recommended Usage

Western Blot

1.0 ug/ml

Formulation, Preparation, and Storage

Purification

Protein A purified

Formulation

PBS, 2% Sucrose

Format

BSA Free

Preservative

0.09% Sodium Azide

Concentration

1 mg/ml

Shipping

The product is shipped with polar packs. Upon receipt, store it immediately at the temperature recommended below.

Stability & Storage

Store at 4C short term. Aliquot and store at -20C long term. Avoid freeze-thaw cycles.

Background: SMAD6

SMADs are members of the MAD-related family of molecules. MAD-related proteins are a family of intracellular proteins that are essential components in the signaling pathways of the serine/threonine kinase receptors of the transforming growth factor beta superfamily (1). SMADs can be divided into receptor-regulated SMADs (R-SMADs: SMAD1, SMAD2, SMAD5, SMAD8 and SMAD9), common-mediator SMAD (co-SMAD: SMAD4), and inhibitory SMADs (I-SMADs: SMAD6 and SMAD7). SMAD1, SMAD5, SMAD8 and SMAD9 have high degrees of homology and antibodies are available that recognize sequences common to all of them. SMAD8 and SMAD9 are typically used as alternate names for one another in the literature. Human SMAD1 is a 465 amino acid protein; GenBank Accession No. AAP36050.1. Human SMAD2 is a 467 amino acid protein; GenBank Accession No. AAC51918.1 Human SMAD3 is a 425 amino acid protein; GenBank Accession No. NP_005893.1 Human SMAD4 is a 552 amino acid protein GenBank Accession No. NP_005350.1. Human SMAD5 is a 465 amino acid protein; GenBank Accession No. AAC50791.1. Human SMAD6 is a 496 amino acid protein; GenBank Accession No. AAH12986.1 Human SMAD7 is a 426 amino acid protein; GenBank Accession No. AAB81354.1 Mouse SMAD8 is a 430 amino acid protein; GenBank Accession No. AAN85445.1 Human SMAD9 is a 430 amino acid protein; GenBank Accession No. NP_005896.1

Alternate Names

hSMAD6, HsT17432, MAD homolog 6, MADH6SMAD, mothers against DPP homolog 6 (Drosophila), MADH7, mothers against decapentaplegic homolog 6, Mothers against decapentaplegic, drosophila, homolog of, 6, Mothers against DPP homolog 6, SMAD 6, SMAD family member 6MAD, mothers against decapentaplegic homolog 6 (Drosophila), SMAD, mothers against DPP homolog 6, Smad6

Gene Symbol

SMAD6

Additional SMAD6 Products

Product Documents for SMAD6 Antibody - BSA Free

Certificate of Analysis

To download a Certificate of Analysis, please enter a lot number in the search box below.

Product Specific Notices for SMAD6 Antibody - BSA Free

This product is for research use only and is not approved for use in humans or in clinical diagnosis. Primary Antibodies are guaranteed for 1 year from date of receipt.

Loading...
Loading...
Loading...
Loading...