SLX4 Antibody - BSA Free
Novus Biologicals, part of Bio-Techne | Catalog # NBP1-28680
Conjugate
Catalog #
Key Product Details
Species Reactivity
Validated:
Human
Cited:
Human
Applications
Validated:
Immunohistochemistry, Immunohistochemistry-Paraffin, Western Blot, Immunocytochemistry/ Immunofluorescence, Immunoprecipitation, Chromatin Immunoprecipitation, Chromatin Immunoprecipitation (ChIP)
Cited:
Western Blot, Immunocytochemistry/ Immunofluorescence, Chemotaxis
Label
Unconjugated
Antibody Source
Polyclonal Rabbit IgG
Format
BSA Free
Concentration
1.0 mg/ml
Product Specifications
Immunogen
The immunogen recognized by this antibody maps to a region between residue 1784 to 1834 of human SLX4 using the numbering given in entry NP_115820.2 (GeneID 84464).
Clonality
Polyclonal
Host
Rabbit
Isotype
IgG
Scientific Data Images for SLX4 Antibody - BSA Free
Immunocytochemistry/ Immunofluorescence: SLX4 Antibody - BSA Free [NBP1-28680]
Immunocytochemistry/Immunofluorescence: BTBD12 Antibody [NBP1-28680] - HeLa cells were fixed for 10 minutes using 10% formalin and then permeabilized for 5 minutes using 1X TBS + 0.5% Triton-X100. The cells were incubated with anti-BTBD12 at 5 ug/ml overnight at 4C and detected with an anti-rabbit Dylight 488 (Green) at a 1:500 dilution. Alpha tubulin (DM1A) NB100-690 was used as a co-stain at a 1:1000 dilution and detected with an anti-mouse Dylight 550 (Red) at a 1:500 dilution. Nuclei were counterstained with DAPI (Blue). Cells were imaged using a 40X objective.Immunohistochemistry-Paraffin: SLX4 Antibody - BSA Free [NBP1-28680]
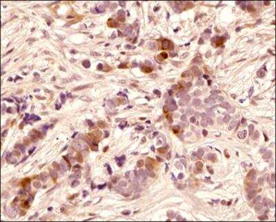
Immunohistochemistry-Paraffin: BTBD12 Antibody [NBP1-28680] - IHC analysis of a formalin fixed and paraffin embedded tissue section of human breast infiltrating duct carcinoma using BTBD12 antibody at 1:250 dilution. The signal was developed using HRP-conjugated secondary antibody and DAB reagent which followed counter-staining of the cellular nuclei with hematoxylin. This BTBD12 antibody generated a strong and very specific nuclear staining in a subset of cancerous cells in the tested section.Applications for SLX4 Antibody - BSA Free
Application
Recommended Usage
Chromatin Immunoprecipitation
reported in scientific literature (PMID 24012755)
Immunocytochemistry/ Immunofluorescence
5 - 10 ug/ml. Use reported in scientific literature (PMID 24012755)
Immunohistochemistry
1:250 - 1:500
Immunohistochemistry-Paraffin
1:250 - 1:500
Immunoprecipitation
10 ug/mg lysate
Western Blot
reported in scientific literature (PMID 24012755)
Application Notes
Antibody has not performed satisfactorily when used for WB of BTBD12 in crude preparations (e.g. whole cell lysate). This antibody can be used for WB of enriched (e.g. immunoprecipitated) sources of BTBD12. For IHC: Epitope retrieval with citrate buffer pH 6.0 is recommended.
Formulation, Preparation, and Storage
Purification
Immunogen affinity purified
Formulation
PBS
Format
BSA Free
Preservative
0.02% Sodium Azide
Concentration
1.0 mg/ml
Shipping
The product is shipped with polar packs. Upon receipt, store it immediately at the temperature recommended below.
Stability & Storage
Store at 4C short term. Aliquot and store at -20C long term. Avoid freeze-thaw cycles.
Background: SLX4
Long Name
SLX4 Structure-Specific Endonuclease Subunit
Alternate Names
BTBD12, FANCP, KIAA1784, KIAA1987
Entrez Gene IDs
84464 (Human)
Gene Symbol
SLX4
UniProt
Additional SLX4 Products
Product Documents for SLX4 Antibody - BSA Free
Product Specific Notices for SLX4 Antibody - BSA Free
This product is for research use only and is not approved for use in humans or in clinical diagnosis. Primary Antibodies are guaranteed for 1 year from date of receipt.
Loading...
Loading...
Loading...
Loading...