Skip to main content

Slug Antibody (OTI1A6) - Azide and BSA Free

Novus Biologicals, part of Bio-Techne | Catalog # NBP2-74229

Novus Biologicals, part of Bio-Techne
Catalog #
Availability
Size / Price
Qty
Loading...
NBP2-74229

Key Product Details

Species Reactivity

Human, Mouse, Rat

Applications

Immunohistochemistry, Immunohistochemistry-Paraffin, Western Blot, Flow Cytometry, CyTOF-ready

Label

Unconjugated

Antibody Source

Monoclonal Mouse IgG1 Clone # OTI1A6

Format

Azide and BSA Free

Concentration

LYOPH mg/ml

Product Specifications

Immunogen

Full length human recombinant protein of human SNAI2 (NP_003059) produced in E.coli.

Reactivity Notes

Please note that this antibody is reactive to Mouse and derived from the same host, Mouse. Mouse-On-Mouse blocking reagent may be needed for IHC and ICC experiments to reduce high background signal. You can find these reagents under catalog numbers PK-2200-NB and MP-2400-NB. Please contact Technical Support if you have any questions.

Clonality

Monoclonal

Host

Mouse

Isotype

IgG1

Theoretical MW

29.8 kDa.
Disclaimer note: The observed molecular weight of the protein may vary from the listed predicted molecular weight due to post translational modifications, post translation cleavages, relative charges, and other experimental factors.

Description

Novus Biologicals Mouse Slug Antibody (OTI1A6) - Azide and BSA Free (NBP2-03886) is a monoclonal antibody validated for use in IHC, WB and Flow. All Novus Biologicals antibodies are covered by our 100% guarantee.

Scientific Data Images for Slug Antibody (OTI1A6) - Azide and BSA Free

Western Blot: Slug Antibody (OTI1A6)Azide and BSA Free [NBP2-74229]

Western Blot: Slug Antibody (OTI1A6)Azide and BSA Free [NBP2-74229]

Western Blot: Slug Antibody (OTI1A6) - Azide and BSA Free [NBP2-74229] - HEK293T cells were transfected with the pCMV6-ENTRY control (Left lane) or pCMV6-ENTRY SLUG (Right lane) cDNA for 48 hrs and lysed. Equivalent amounts of cell lysates (5 ug per lane) were separated by SDS-PAGE and immunoblotted with anti-SLUG.
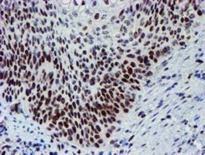
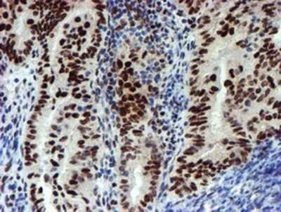
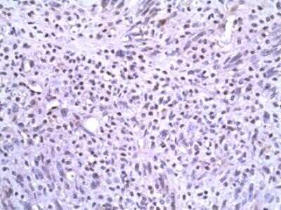
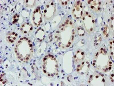
Immunohistochemistry: Slug Antibody (OTI1A6) - Azide and BSA Free [NBP2-74229]

Immunohistochemistry: Slug Antibody (OTI1A6) - Azide and BSA Free [NBP2-74229]

Immunohistochemistry: Slug Antibody (OTI1A6) - Azide and BSA Free [NBP2-74229] - Staining of paraffin-embedded Human Kidney tissue using anti-SLUG mouse monoclonal antibody.
Flow Cytometry: Slug Antibody (OTI1A6) - Azide and BSA Free [NBP2-74229]

Flow Cytometry: Slug Antibody (OTI1A6) - Azide and BSA Free [NBP2-74229]

Flow Cytometry: Slug Antibody (OTI1A6) - Azide and BSA Free [NBP2-74229] - HEK293T cells transfected with either overexpression plasmid (Red) or empty vector control plasmid (Blue) were immunostaining by anti-SLUG antibody, and then analyzed by flow cytometry.

Applications for Slug Antibody (OTI1A6) - Azide and BSA Free

Application
Recommended Usage

Flow Cytometry

1:100

Immunohistochemistry

1:150

Immunohistochemistry-Paraffin

1:150

Western Blot

1:1000

Formulation, Preparation, and Storage

Purification

Immunogen affinity purified

Reconstitution

we recommend adding 100uL distilled water to a final antibody concentration of about 1 mg/mL. To use this carrier-free antibody for conjugation experiment, we strongly recommend performing another round of desalting process.

Formulation

Lyophilized from PBS (pH 7.3) with 8% Trehalose

Format

Azide and BSA Free

Preservative

No Preservative

Concentration

LYOPH mg/ml

Shipping

The product is shipped with polar packs. Upon receipt, store it immediately at the temperature recommended below.

Stability & Storage

Store at -20C. Avoid freeze-thaw cycles.

Background: Slug

SLUG encodes a member of the Snail family of C2H2-type zinc finger transcription factors. The encoded protein acts as a transcriptional repressor that binds to E-box motifs and is also likely to repress E-cadherin transcription in breast carcinoma. This protein is involved in epithelial-mesenchymal transitions and has antiapoptotic activity. Mutations in this gene may be associated with sporatic cases of neural tube defects.

Alternate Names

SLUGH1, SNAI2, SNAIL2, WS2D

Gene Symbol

SNAI2

Additional Slug Products

Product Documents for Slug Antibody (OTI1A6) - Azide and BSA Free

Certificate of Analysis

To download a Certificate of Analysis, please enter a lot number in the search box below.

Product Specific Notices for Slug Antibody (OTI1A6) - Azide and BSA Free

This product is for research use only and is not approved for use in humans or in clinical diagnosis. Primary Antibodies are guaranteed for 1 year from date of receipt.

Loading...
Loading...
Loading...
Loading...
Loading...
Loading...