Skip to main content

SLTM Antibody - BSA Free

Novus Biologicals, part of Bio-Techne | Catalog # NBP1-83701

Novus Biologicals, part of Bio-Techne
Catalog #
Availability
Size / Price
Qty
Loading...
NBP1-83701
NBP1-83701-25ul

Key Product Details

Species Reactivity

Validated:

Human

Predicted:

Mouse (96%), Rat (96%). Backed by our 100% Guarantee.

Applications

Immunohistochemistry, Immunohistochemistry-Paraffin, Immunocytochemistry/ Immunofluorescence

Label

Unconjugated

Antibody Source

Polyclonal Rabbit IgG

Format

BSA Free

Concentration

Concentrations vary lot to lot. See vial label for concentration. If unlisted please contact technical services.

Product Specifications

Immunogen

This antibody was developed against Recombinant Protein corresponding to amino acids: GEEEENEKDIAGSGDGTQEVSKPLPSEGSLAEADHTAHEEMEAHTTVKEAEDDNISVTIQAEDAITLDFDGDDLLETGKNVKITDSEASKPKDGQ

Clonality

Polyclonal

Host

Rabbit

Isotype

IgG

Description

Novus Biologicals Rabbit SLTM Antibody - BSA Free (NBP1-83701) is a polyclonal antibody validated for use in IHC and ICC/IF. All Novus Biologicals antibodies are covered by our 100% guarantee.

Scientific Data Images for SLTM Antibody - BSA Free

Immunocytochemistry/ Immunofluorescence: SLTM Antibody [NBP1-83701]

Immunocytochemistry/ Immunofluorescence: SLTM Antibody [NBP1-83701]

Immunocytochemistry/Immunofluorescence: SLTM Antibody [NBP1-83701] - Staining of human cell line U-2 OS shows localization to nucleoplasm & nuclear bodies.
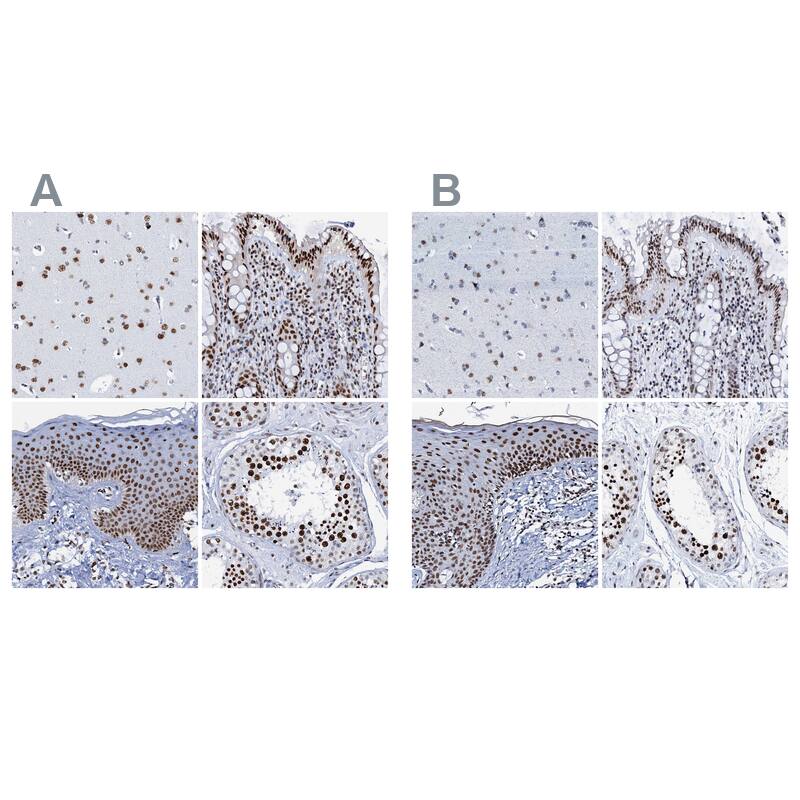
SLTM Antibody - BSA Free Immunohistochemistry-Paraffin: SLTM Antibody - BSA Free [NBP1-83701]

Immunohistochemistry-Paraffin: SLTM Antibody - BSA Free [NBP1-83701]

Staining of human rectum shows strong nuclear positivity in glandular cells.

Applications for SLTM Antibody - BSA Free

Application
Recommended Usage

Immunocytochemistry/ Immunofluorescence

0.25-2 ug/ml

Immunohistochemistry

1:1000 - 1:2500

Immunohistochemistry-Paraffin

1:1000 - 1:2500
Application Notes
For IHC-Paraffin, HIER pH 6 retrieval is recommended. Immunocytochemistry/Immunofluorescence Fixation Permeabilization: Use PFA/Triton X-100.

Formulation, Preparation, and Storage

Purification

Affinity purified

Formulation

PBS (pH 7.2) and 40% Glycerol

Format

BSA Free

Preservative

0.02% Sodium Azide

Concentration

Concentrations vary lot to lot. See vial label for concentration. If unlisted please contact technical services.

Shipping

The product is shipped with polar packs. Upon receipt, store it immediately at the temperature recommended below.

Stability & Storage

Store at 4C short term. Aliquot and store at -20C long term. Avoid freeze-thaw cycles.

Background: SLTM

When overexpressed, acts as a general inhibitor of transcription that eventually leads to apoptosis (Bysimilarity)

Alternate Names

SAFB-like, transcription modulator

Gene Symbol

SLTM

Additional SLTM Products

Product Documents for SLTM Antibody - BSA Free

Certificate of Analysis

To download a Certificate of Analysis, please enter a lot number in the search box below.

Product Specific Notices for SLTM Antibody - BSA Free

This product is for research use only and is not approved for use in humans or in clinical diagnosis. Primary Antibodies are guaranteed for 1 year from date of receipt.

Loading...
Loading...
Loading...
Loading...