Skip to main content

SLTM Antibody

Novus Biologicals, part of Bio-Techne | Catalog # NBP1-47299

Novus Biologicals, part of Bio-Techne
Catalog #
Availability
Size / Price
Qty
Loading...
NBP1-47299

Key Product Details

Validated by

Independent Antibodies, Biological Validation

Species Reactivity

Human

Applications

Immunohistochemistry, Immunohistochemistry-Paraffin, Immunoprecipitation, Western Blot

Label

Unconjugated

Antibody Source

Polyclonal Rabbit IgG

Concentration

0.2 mg/ml

Product Specifications

Immunogen

The immunogen for this product maps to a region between residue 300 and 350 of human SAFB-like Transcription Modulator using the numbering given in entry NP_079031.2 (GeneID 79811).

Clonality

Polyclonal

Host

Rabbit

Isotype

IgG

Description

Novus Biologicals Rabbit SLTM Antibody (NBP1-47299) is a polyclonal antibody validated for use in IHC, WB and IP. All Novus Biologicals antibodies are covered by our 100% guarantee.

Scientific Data Images for SLTM Antibody

Western Blot: SLTM Antibody [NBP1-47299]

Western Blot: SLTM Antibody [NBP1-47299]

Western Blot: SLTM Antibody [NBP1-47299] - Samples: Whole cell lysate from HeLa (5, 15 and 50 ug for WB; 1 mg for IP, 20% of IP loaded) and 293T (T; 50 ug) cells. Antibodies: Affinity purified rabbit anti-SLTM antibody NBP1-47299 used for WB at 0.04 ug/ml (A) and 0.4 ug/ml (B) and used for IP at 3 ug/mg lysate. SLTM was also immunoprecipitated by rabbit anti-SLTM antibody NBP1-47300, which recognizes a downstream epitope. Detection: Chemiluminescence with exposure times of 3 minutes (A) and 10 seconds (B).
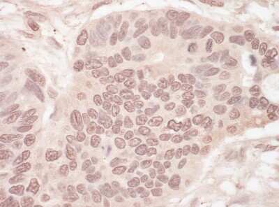
Immunohistochemistry: SLTM Antibody [NBP1-47299]

Immunohistochemistry: SLTM Antibody [NBP1-47299]

Immunohistochemistry: SLTM Antibody [NBP1-47299] - Sample: FFPE section of human ovarian carcinoma. Antibody: Affinity purified rabbit anti-SLTM used at a dilution of 1:200 (1ug/ml). Detection: Vector Laboratories ImmPACT NovaRED Peroxidase Substrate

Applications for SLTM Antibody

Application
Recommended Usage

Immunohistochemistry

1:200 - 1:1000

Immunohistochemistry-Paraffin

1:200 - 1:1000

Immunoprecipitation

2-5 ug/mg lysate

Western Blot

1:2000-1:10000
Application Notes
Epitope retrieval with citrate buffer pH6.0 is recommended for FFPE tissue sections.

Formulation, Preparation, and Storage

Purification

Immunogen affinity purified

Formulation

TBS and 0.1% BSA

Preservative

0.09% Sodium Azide

Concentration

0.2 mg/ml

Shipping

The product is shipped with polar packs. Upon receipt, store it immediately at the temperature recommended below.

Stability & Storage

Store at 4C. Do not freeze.

Background: SLTM

When overexpressed, acts as a general inhibitor of transcription that eventually leads to apoptosis (Bysimilarity)

Alternate Names

SAFB-like, transcription modulator

Entrez Gene IDs

79811 (Human)

Gene Symbol

SLTM

Additional SLTM Products

Product Documents for SLTM Antibody

Certificate of Analysis

To download a Certificate of Analysis, please enter a lot number in the search box below.

Product Specific Notices for SLTM Antibody

This product is for research use only and is not approved for use in humans or in clinical diagnosis. Primary Antibodies are guaranteed for 1 year from date of receipt.

Loading...
Loading...
Loading...
Loading...