Skip to main content

SLFNL1 Antibody - BSA Free

Novus Biologicals, part of Bio-Techne | Catalog # NBP2-20397

Novus Biologicals, part of Bio-Techne
Catalog #
Availability
Size / Price
Qty
Loading...
NBP2-20397

Key Product Details

Species Reactivity

Validated:

Human

Predicted:

Chimpanzee (100%). Backed by our 100% Guarantee.

Applications

Immunohistochemistry, Immunohistochemistry-Paraffin, Western Blot

Label

Unconjugated

Antibody Source

Polyclonal Rabbit IgG

Format

BSA Free

Concentration

Concentrations vary lot to lot. See vial label for concentration. If unlisted please contact technical services.

Product Specifications

Immunogen

Recombinant protein encompassing a sequence within the center region of human SLFNL1. The exact sequence is proprietary.

Clonality

Polyclonal

Host

Rabbit

Isotype

IgG

Theoretical MW

46 kDa.
Disclaimer note: The observed molecular weight of the protein may vary from the listed predicted molecular weight due to post translational modifications, post translation cleavages, relative charges, and other experimental factors.

Description

Novus Biologicals Rabbit SLFNL1 Antibody - BSA Free (NBP2-20397) is a polyclonal antibody validated for use in IHC and WB. All Novus Biologicals antibodies are covered by our 100% guarantee.

Scientific Data Images for SLFNL1 Antibody - BSA Free

Western Blot: SLFNL1 Antibody [NBP2-20397]

Western Blot: SLFNL1 Antibody [NBP2-20397]

Western Blot: SLFNL1 Antibody [NBP2-20397] - Sample (30 ug of whole cell lysate) A: A549 B: H1299 C: HCT116 D: MCF-7 10% SDS PAGE gel, diluted at 1:10000.
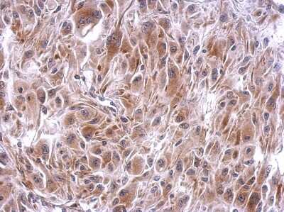
Immunohistochemistry-Paraffin: SLFNL1 Antibody [NBP2-20397]

Immunohistochemistry-Paraffin: SLFNL1 Antibody [NBP2-20397]

Immunohistochemistry-Paraffin: SLFNL1 Antibody [NBP2-20397] - U373 xenograft, using SLFNL1 antibody [N2C2], Internal antibody at 1:500 dilution. Antigen Retrieval: Trilogy™ (EDTA based, pH 8.0) buffer, 15min.

Applications for SLFNL1 Antibody - BSA Free

Application
Recommended Usage

Immunohistochemistry

1:100-1:1000

Immunohistochemistry-Paraffin

1:100-1:1000

Western Blot

1:5000-1:20000

Formulation, Preparation, and Storage

Purification

Antigen Affinity-purified

Formulation

PBS, 20% Glycerol

Format

BSA Free

Preservative

0.01% Thimerosal

Concentration

Concentrations vary lot to lot. See vial label for concentration. If unlisted please contact technical services.

Shipping

The product is shipped with polar packs. Upon receipt, store it immediately at the temperature recommended below.

Stability & Storage

Aliquot and store at -20C or -80C. Avoid freeze-thaw cycles.

Background: SLFNL1

Alternate Names

FLJ23878, MGC43873, schlafen-like 1, schlafen-like protein 1

Gene Symbol

SLFNL1

UniProt

Additional SLFNL1 Products

Product Documents for SLFNL1 Antibody - BSA Free

Certificate of Analysis

To download a Certificate of Analysis, please enter a lot number in the search box below.

Product Specific Notices for SLFNL1 Antibody - BSA Free

This product is for research use only and is not approved for use in humans or in clinical diagnosis. Primary Antibodies are guaranteed for 1 year from date of receipt.

Loading...
Loading...
Loading...
Loading...

⚠ WARNING: This product can expose you to chemicals including mercury, which is known to the State of California to cause reproductive toxicity with developmental effects.  For more information go to www.P65Warnings.ca.gov.