Skip to main content

SLFNL1 Antibody (OTI1G2)

Novus Biologicals, part of Bio-Techne | Catalog # NBP2-03192

Novus Biologicals, part of Bio-Techne

Key Product Details

Species Reactivity

Human

Applications

Immunohistochemistry, Immunohistochemistry-Paraffin, Western Blot

Label

Unconjugated

Antibody Source

Monoclonal Mouse IgG1 Clone # OTI1G2

Concentration

0.55 mg/ml

Product Specifications

Immunogen

Full length human recombinant protein of human SLFNL1(NP_659427) produced in HEK293T cell.

Clonality

Monoclonal

Host

Mouse

Isotype

IgG1

Theoretical MW

45.4 kDa.
Disclaimer note: The observed molecular weight of the protein may vary from the listed predicted molecular weight due to post translational modifications, post translation cleavages, relative charges, and other experimental factors.

Description

Novus Biologicals Mouse SLFNL1 Antibody (OTI1G2) (NBP2-03192) is a monoclonal antibody validated for use in IHC and WB. All Novus Biologicals antibodies are covered by our 100% guarantee.

Scientific Data Images for SLFNL1 Antibody (OTI1G2)

Western Blot: SLFNL1 Antibody (OTI1G2) [NBP2-03192]

Western Blot: SLFNL1 Antibody (OTI1G2) [NBP2-03192]

Western Blot: SLFNL1 Antibody (1G2) [NBP2-03192] - HEK293T cells were transfected with the pCMV6-ENTRY control (Left lane) or pCMV6-ENTRY SLFNL1 (Right lane) cDNA for 48 hrs and lysed. Equivalent amounts of cell lysates (5 ug per lane) were separated by SDS-PAGE and immunoblotted with anti-SLFNL1.
Immunohistochemistry-Paraffin: SLFNL1 Antibody (1G2) [NBP2-03192] Staining of paraffin-embedded Human tonsil using anti-SLFNL1 mouse monoclonal antibody.
Immunohistochemistry-Paraffin: SLFNL1 Antibody (OTI1G2) [NBP2-03192]

Immunohistochemistry-Paraffin: SLFNL1 Antibody (OTI1G2) [NBP2-03192]

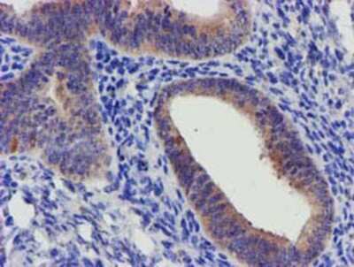
Immunohistochemistry-Paraffin: SLFNL1 Antibody (1G2) [NBP2-03192] - Staining of paraffin-embedded Adenocarcinoma of Human endometrium tissue using anti-SLFNL1 mouse monoclonal antibody.

Applications for SLFNL1 Antibody (OTI1G2)

Application
Recommended Usage

Immunohistochemistry

1:150

Immunohistochemistry-Paraffin

1:150

Western Blot

1:2000

Formulation, Preparation, and Storage

Purification

Immunogen affinity purified

Formulation

PBS (pH 7.3), 1.0% BSA and 50% Glycerol

Preservative

0.02% Sodium Azide

Concentration

0.55 mg/ml

Shipping

The product is shipped with polar packs. Upon receipt, store it immediately at the temperature recommended below.

Stability & Storage

Store at -20C. Avoid freeze-thaw cycles.

Background: SLFNL1

Alternate Names

FLJ23878, MGC43873, schlafen-like 1, schlafen-like protein 1

Entrez Gene IDs

200172 (Human)

Gene Symbol

SLFNL1

Additional SLFNL1 Products

Product Documents for SLFNL1 Antibody (OTI1G2)

Certificate of Analysis

To download a Certificate of Analysis, please enter a lot number in the search box below.

Product Specific Notices for SLFNL1 Antibody (OTI1G2)

This product is for research use only and is not approved for use in humans or in clinical diagnosis. Primary Antibodies are guaranteed for 1 year from date of receipt.

Loading...
Loading...
Loading...
Loading...